Skip to main content

eRF1 Antibody - BSA Free

Novus Biologicals, part of Bio-Techne | Catalog # NBP1-31113

Novus Biologicals, part of Bio-Techne
Catalog #
Availability
Size / Price
Qty
Loading...
NBP1-31113

Key Product Details

Species Reactivity

Validated:

Human, Mouse, Rat

Cited:

Human, Primate - Macaca mulatta (Rhesus Macaque)

Predicted:

Bovine (100%), Canine (100%), Rabbit (100%), Rhesus Macaque (100%). Backed by our 100% Guarantee.

Applications

Validated:

Immunohistochemistry, Immunohistochemistry-Paraffin, Western Blot, Immunocytochemistry/ Immunofluorescence

Cited:

Western Blot, Immunocytochemistry/ Immunofluorescence

Label

Unconjugated

Antibody Source

Polyclonal Rabbit IgG

Format

BSA Free

Concentration

Concentrations vary lot to lot. See vial label for concentration. If unlisted please contact technical services.

Product Specifications

Immunogen

Carrier-protein conjugated synthetic peptide encompassing a sequence within the C-terminus region of human eRF1. The exact sequence is proprietary.

Reactivity Notes

Monkey reactivity reported in scientific literature (PMID: 25227463).

Localization

Cytoplasm

Clonality

Polyclonal

Host

Rabbit

Isotype

IgG

Theoretical MW

49 kDa.
Disclaimer note: The observed molecular weight of the protein may vary from the listed predicted molecular weight due to post translational modifications, post translation cleavages, relative charges, and other experimental factors.

Description

Novus Biologicals Rabbit eRF1 Antibody - BSA Free (NBP1-31113) is a polyclonal antibody validated for use in IHC, WB and ICC/IF. Anti-eRF1 Antibody: Cited in 2 publications. All Novus Biologicals antibodies are covered by our 100% guarantee.

Scientific Data Images for eRF1 Antibody - BSA Free

Western Blot: eRF1 Antibody [NBP1-31113]

Western Blot: eRF1 Antibody [NBP1-31113]

Western Blot: eRF1 Antibody [NBP1-31113] - Various whole cell extracts (30 ug) were separated by 10% SDS-PAGE, and the membrane was blotted with eRF1 antibody diluted at 1:500.
Immunocytochemistry/ Immunofluorescence: eRF1 Antibody [NBP1-31113]

Immunocytochemistry/ Immunofluorescence: eRF1 Antibody [NBP1-31113]

Immunocytochemistry/Immunofluorescence: eRF1 Antibody [NBP1-31113] - A431 cells were fixed in 4% paraformaldehyde at RT for 15 min. Green: eRF1 protein stained by eRF1 antibody diluted at 1:500. Red: alpha Tubulin, a cytoskeleton marker, stained by alpha Tubulin antibody [114] diluted at 1:1000. Blue: Hoechst 33342 staining.
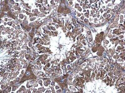
Immunohistochemistry-Paraffin: eRF1 Antibody [NBP1-31113]

Immunohistochemistry-Paraffin: eRF1 Antibody [NBP1-31113]

Immunohistochemistry-Paraffin: eRF1 Antibody [NBP1-31113] - Paraffin-embedded mouse testis. eRF1 antibody diluted at 1:500. Antigen Retrieval: TrilogyTM (EDTA based) buffer, 15min

Applications for eRF1 Antibody - BSA Free

Application
Recommended Usage

Immunocytochemistry/ Immunofluorescence

1:100-1:1000

Immunohistochemistry

1:100-1:1000

Immunohistochemistry-Paraffin

1:100-1:1000

Western Blot

1:500-1:3000

Formulation, Preparation, and Storage

Purification

Antigen Affinity-purified

Formulation

0.1M Tris, 0.1M Glycine, 10% Glycerol

Format

BSA Free

Preservative

0.01% Thimerosal

Concentration

Concentrations vary lot to lot. See vial label for concentration. If unlisted please contact technical services.

Shipping

The product is shipped with polar packs. Upon receipt, store it immediately at the temperature recommended below.

Stability & Storage

Store at 4C short term. Aliquot and store at -20C long term. Avoid freeze-thaw cycles.

Background: eRF1

Termination of protein biosynthesis and release of the nascent polypeptide chain are signaled by the presence of an in-frame stop codon at the aminoacyl site of the ribosome. The process of translation termination is universal and is mediated by protein release factors (RFs) and GTP. A class 1 RF recognizes the stop codon and promotes the hydrolysis of the ester bond linking the polypeptide chain with the peptidyl site tRNA, a reaction catalyzed at the peptidyl transferase center of the ribosome. Class 2 RFs, which are not codon specific and do not recognize codons, stimulate class 1 RF activity and confer GTP dependency upon the process. In prokaryotes, both class 1 RFs, RF1 and RF2, recognize UAA; however, UAG and UGA are decoded specifically by RF1 and RF2, respectively. In eukaryotes, eRF1, or ETF1, the functional counterpart of RF1 and RF2, functions as an omnipotent RF, decoding all 3 stop codons (Frolova et al., 1994 [PubMed 7990965]).[supplied by OMIM]

Alternate Names

D5S1995, ERF1eRF1, eukaryotic peptide chain release factor subunit 1, Eukaryotic release factor 1, eukaryotic translation termination factor 1, polypeptide chain release factor 1, Protein Cl1, RF1ERF, sup45 (yeast omnipotent suppressor 45) homolog-like 1, SUP45L1, TB3-1MGC111066

Entrez Gene IDs

2107 (Human)

Gene Symbol

ETF1

UniProt

Additional eRF1 Products

Product Documents for eRF1 Antibody - BSA Free

Certificate of Analysis

To download a Certificate of Analysis, please enter a lot number in the search box below.

Product Specific Notices for eRF1 Antibody - BSA Free

This product is for research use only and is not approved for use in humans or in clinical diagnosis. Primary Antibodies are guaranteed for 1 year from date of receipt.

Loading...
Loading...
Loading...
Loading...

⚠ WARNING: This product can expose you to chemicals including mercury, which is known to the State of California to cause reproductive toxicity with developmental effects.  For more information go to www.P65Warnings.ca.gov.