Skip to main content

ER beta/NR3A2 Antibody (14C8) - Azide and BSA Free

Novus Biologicals, part of Bio-Techne | Catalog # NB200-305

Novus Biologicals, part of Bio-Techne
Catalog #
Availability
Size / Price
Qty
Loading...
NB200-305

Key Product Details

Species Reactivity

Validated:

Human, Mouse, Monkey

Cited:

Human, Mouse, Rabbit

Applications

Validated:

Immunohistochemistry, Immunohistochemistry-Paraffin, Immunohistochemistry-Frozen, Western Blot, Flow Cytometry, Immunocytochemistry/ Immunofluorescence, Simple Western, Immunoprecipitation, Chromatin Immunoprecipitation (ChIP), Dot Blot

Cited:

Immunohistochemistry-Paraffin, Western Blot, Immunocytochemistry/ Immunofluorescence, Immunoprecipitation, Chemotaxis, IF/IHC

Label

Unconjugated

Antibody Source

Monoclonal Mouse IgG2B Clone # 14C8

Format

Azide and BSA Free

Concentration

Concentrations vary lot to lot. See vial label for concentration. If unlisted please contact technical services.

Product Specifications

Immunogen

Amino acids 1-153 of human ER-beta expressed in E. coli.

Reactivity Notes

Rabbit reactivity reported in (PMID: 23664379 ). Mouse reactivity reported in scientific literature (PMID: 15750629). Please note that this antibody is reactive to Mouse and derived from the same host, Mouse. Mouse-On-Mouse blocking reagent may be needed for IHC and ICC experiments to reduce high background signal. You can find these reagents under catalog numbers PK-2200-NB and MP-2400-NB. Please contact Technical Support if you have any questions.

Specificity

Strong Erb staining in epithelial cell nuclei. Occasional weak to moderate staining is seen in surrounding stromal and endothelial cell nuclei. Sporadic light cytoplasmic staining is sometimes observed. We have also successfully detected ERb in colon and ovarian tumors using the same antibody.

Clonality

Monoclonal

Host

Mouse

Isotype

IgG2B

Theoretical MW

59 kDa.
Disclaimer note: The observed molecular weight of the protein may vary from the listed predicted molecular weight due to post translational modifications, post translation cleavages, relative charges, and other experimental factors.

Description

Novus Biologicals Mouse ER beta/NR3A2 Antibody (14C8) - Azide and BSA Free (NB200-305) is a monoclonal antibody validated for use in IHC, WB, Flow, ICC/IF, Simple Western, IP and ChIP. Anti-ER beta/NR3A2 Antibody: Cited in 78 publications. All Novus Biologicals antibodies are covered by our 100% guarantee.

Scientific Data Images for ER beta/NR3A2 Antibody (14C8) - Azide and BSA Free

Western Blot: ER beta/NR3A2 Antibody (14C8) [NB200-305]

Western Blot: ER beta/NR3A2 Antibody (14C8) [NB200-305]

Western Blot: ER beta/NR3A2 Antibody (14C8) [NB200-305] - Non-transfected (-) and transfected (+) 293T whole cell extracts (30 ug) were separated by 7.5% SDS-PAGE, and the membrane was blotted with Estrogen Receptor beta antibody [14C8] diluted at 1:5000. The HRP-conjugated anti-mouse IgG antibody (NBP2-19382) was used to detect the primary antibody
Immunohistochemistry-Paraffin: ER beta/NR3A2 Antibody (14C8) [NB200-305]

Immunohistochemistry-Paraffin: ER beta/NR3A2 Antibody (14C8) [NB200-305]

Immunohistochemistry-Paraffin: ER beta/NR3A2 Antibody (14C8) [NB200-305] - Human breast carcinoma. Estrogen Receptor beta stained by Estrogen Receptor beta antibody [14C8] diluted at 1:200. Antigen Retrieval: Citrate buffer, pH 6.0, 15 min
Immunohistochemistry-Paraffin: ER beta/NR3A2 Antibody (14C8) [NB200-305]

Immunohistochemistry-Paraffin: ER beta/NR3A2 Antibody (14C8) [NB200-305]

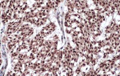
Immunohistochemistry-Paraffin: Estrogen Receptor beta Antibody (14C8) [NB200-305] - Infiltrating lobular carcinoma of the breast.

Applications for ER beta/NR3A2 Antibody (14C8) - Azide and BSA Free

Application
Recommended Usage

Flow Cytometry

1:10 - 1:1000

Immunocytochemistry/ Immunofluorescence

1:10 - 1:500

Immunohistochemistry

1:10 - 1:500

Immunohistochemistry-Paraffin

1:10 - 1:500

Simple Western

1:25

Western Blot

1-5 ug/ml
Application Notes
Strong ER beta staining in epithelial cell nuclei. Occassional weak to moderate staining is seen in surrounding stromal and endothelial cell nuclei. Sporadic light cytoplasmic staining is sometimes observed. We have also detected ER beta in colon and ovarian tumors. Chip, IP reactivity reported in (PMID: 22820289).
See Simple Western Antibody Database for Simple Western validation: Tested in Blood, separated by Size, antibody dilution of 1:25

Formulation, Preparation, and Storage

Purification

Protein G purified

Formulation

PBS

Format

Azide and BSA Free

Preservative

No Preservative

Concentration

Concentrations vary lot to lot. See vial label for concentration. If unlisted please contact technical services.

Shipping

The product is shipped with polar packs. Upon receipt, store it immediately at the temperature recommended below.

Stability & Storage

Store at 4C short term. Aliquot and store at -20C long term. Avoid freeze-thaw cycles.

Background: ER beta/NR3A2

The human ER-beta is a newly discovered estrogen receptor initially cloned and characterized from testis. The size and structure of ER-beta is very similar to ER-alpha with the ligand and DNA binding domains being highly conserved, while the amino terminus which serves as their transactivation domains have diverged significantly. Similar in function to ER-alpha, ER-beta binds to estrogen with a high affinity and regulates estrogen specific gene activation through direct interaction with estrogen response elements (ERE's).

Long Name

Estrogen Receptor beta

Alternate Names

ESR2, NR3A2

Entrez Gene IDs

2100 (Human)

Gene Symbol

ESR2

UniProt

Additional ER beta/NR3A2 Products

Product Documents for ER beta/NR3A2 Antibody (14C8) - Azide and BSA Free

Certificate of Analysis

To download a Certificate of Analysis, please enter a lot number in the search box below.

Product Specific Notices for ER beta/NR3A2 Antibody (14C8) - Azide and BSA Free

This product is for research use only and is not approved for use in humans or in clinical diagnosis. Primary Antibodies are guaranteed for 1 year from date of receipt.

Loading...
Loading...
Loading...
Loading...
Loading...