Skip to main content

Epsin-2 Antibody - Azide and BSA Free

Novus Biologicals, part of Bio-Techne | Catalog # NBP3-03347

Novus Biologicals, part of Bio-Techne
Catalog #
Availability
Size / Price
Qty
Loading...
NBP3-03347-100ul
NBP3-03347-20ul

Key Product Details

Species Reactivity

Human

Applications

Immunohistochemistry, Immunohistochemistry-Paraffin, Western Blot

Label

Unconjugated

Antibody Source

Polyclonal Rabbit IgG

Format

Azide and BSA Free

Concentration

Please see the vial label for concentration. If unlisted please contact technical services.

Product Specifications

Immunogen

Recombinant fusion protein containing a sequence corresponding to amino acids 120-300 of human Epsin-2 (NP_683723.2). GINVREKSKQLVALLKDEERLKAERAQALKTKERMAQVATGMGSNQITFGRGSSQPNLSTSHSEQEYGKAGGSPASYHGSTSPRVSSELEQARPQTSGEEELQLQLALAMSREVAEQEERLRRGDDLRLQMALEESRRDTVKIPKKKEHGSLPQQTTLLDLMDALPSSGPAAQKAEPWGPS

Clonality

Polyclonal

Host

Rabbit

Isotype

IgG

Description

Novus Biologicals Rabbit Epsin-2 Antibody - Azide and BSA Free (NBP3-03347) is a polyclonal antibody validated for use in IHC and WB. All Novus Biologicals antibodies are covered by our 100% guarantee.

Scientific Data Images for Epsin-2 Antibody - Azide and BSA Free

Western Blot: Epsin-2 AntibodyAzide and BSA Free [NBP3-03347]

Western Blot: Epsin-2 AntibodyAzide and BSA Free [NBP3-03347]

Western Blot: Epsin-2 Antibody [NBP3-03347] - Analysis of extracts of various cell lines, using Epsin-2 antibody at 1:1000 dilution. Secondary antibody: HRP Goat Anti-Rabbit IgG (H+L) at 1:10000 dilution. Lysates/proteins: 25ug per lane. Blocking buffer: 3% nonfat dry milk in TBST. Detection: ECL Basic Kit.
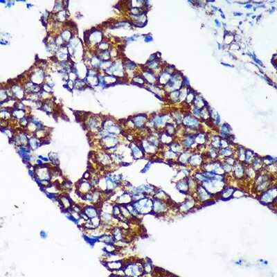
Immunohistochemistry-Paraffin: Epsin-2 Antibody - Azide and BSA Free [NBP3-03347]

Immunohistochemistry-Paraffin: Epsin-2 Antibody - Azide and BSA Free [NBP3-03347]

Immunohistochemistry-Paraffin: Epsin-2 Antibody [NBP3-03347] - Immunohistochemistry of paraffin-embedded Human colon carcinoma using Epsin-2 Rabbit pAb (NBP3-03347) at dilution of 1:100 (40x lens). Perform microwave antigen retrieval with 10 mM PBS buffer pH 7.2 before commencing with IHC staining protocol.

Applications for Epsin-2 Antibody - Azide and BSA Free

Application
Recommended Usage

Immunohistochemistry

1:50-1:200

Western Blot

1:500-1:2000

Formulation, Preparation, and Storage

Purification

Affinity purified

Formulation

PBS (pH 7.3), 50% glycerol

Format

Azide and BSA Free

Preservative

0.01% Thimerosal

Concentration

Please see the vial label for concentration. If unlisted please contact technical services.

Shipping

The product is shipped with polar packs. Upon receipt, store it immediately at the temperature recommended below.

Stability & Storage

Store at -20C. Avoid freeze-thaw cycles.

Background: Epsin-2

Elucidation of the mechanism by which receptor tyrosine kinases (RTKs) modulate cellular physiology in response to stimuli is critical to the understanding of growth regulation. Miscues in RTK signaling pathways can result in cellular transformation and ultimately in cancer. Two novel EGF receptor substrates designated EGF-receptor pathway substrates 8 and 15, or Eps8 and Eps15, have been described. Epsin is a 90 kDa binding partner to Eps15. Both epsin and Eps15 have an ubiquitous tissue distribution but are concentrated in presynaptic nerve terminals specialized for the Clathrin-mediated endocytosis of synaptic vesicles. Disruption of epsin function blocks Clathrinmediated endocytosis. Epsin along with its binding partner Eps15 is proposed to be involved in the assistance of Clathrin coat rearrangement during Clathrin coated pit invagination. Epsin 2 and epsin 2a are also associated with Clathrin-mediated endocytosis and are enriched in the brain in the peri-Golgi region.

Alternate Names

Eps15 binding protein, EPS-15-interacting protein 2, epsin 2, epsin-2, KIAA1065EHB21

Gene Symbol

EPN2

Additional Epsin-2 Products

Product Documents for Epsin-2 Antibody - Azide and BSA Free

Certificate of Analysis

To download a Certificate of Analysis, please enter a lot number in the search box below.

Product Specific Notices for Epsin-2 Antibody - Azide and BSA Free

This product is for research use only and is not approved for use in humans or in clinical diagnosis. Primary Antibodies are guaranteed for 1 year from date of receipt.

Loading...
Loading...
Loading...
Loading...

⚠ WARNING: This product can expose you to chemicals including Methotrexate, which is known to the State of California to cause reproductive toxicity with developmental effects. For more information, go to www.P65Warnings.ca.gov