Skip to main content

EPS8L2 Antibody - BSA Free

Novus Biologicals, part of Bio-Techne | Catalog # NBP1-83613

Novus Biologicals, part of Bio-Techne
Catalog #
Availability
Size / Price
Qty
Loading...
NBP1-83613
NBP1-83613-25ul

Key Product Details

Validated by

Orthogonal Validation

Species Reactivity

Validated:

Human, Rat

Cited:

Human

Applications

Validated:

Immunocytochemistry/ Immunofluorescence, Immunohistochemistry, Immunohistochemistry-Paraffin, Western Blot

Cited:

Immunohistochemistry-Paraffin

Label

Unconjugated

Antibody Source

Polyclonal Rabbit IgG

Format

BSA Free

Concentration

Concentrations vary lot to lot. See vial label for concentration. If unlisted please contact technical services.

Product Specifications

Immunogen

This antibody was developed against Recombinant Protein corresponding to amino acids: SVSCPLLSRDAVDFLRGHLVPKEMSLWESLGESWMRPRSEWPREPQVPLYVPKFHSGWEPPVDVLQEAPWEVEGLASAPIEEVSPVSR

Reactivity Notes

Immunogen displays the following percentage of sequence identity for non-tested species: Mouse (83%).

Clonality

Polyclonal

Host

Rabbit

Isotype

IgG

Description

Novus Biologicals Rabbit EPS8L2 Antibody - BSA Free (NBP1-83613) is a polyclonal antibody validated for use in IHC, WB and ICC/IF. All Novus Biologicals antibodies are covered by our 100% guarantee.

Scientific Data Images for EPS8L2 Antibody - BSA Free

Immunocytochemistry/ Immunofluorescence: EPS8L2 Antibody [NBP1-83613]

Immunocytochemistry/ Immunofluorescence: EPS8L2 Antibody [NBP1-83613]

Immunocytochemistry/Immunofluorescence: EPS8L2 Antibody [NBP1-83613] - Immunofluorescent staining of human cell line U-2 OS shows localization to plasma membrane & cytosol.
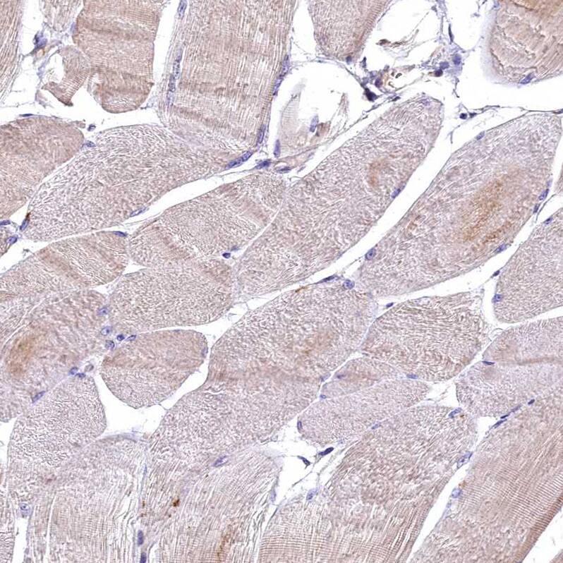
Immunohistochemistry-Paraffin: EPS8L2 Antibody [NBP1-83613]

Immunohistochemistry-Paraffin: EPS8L2 Antibody [NBP1-83613]

Immunohistochemistry-Paraffin: EPS8L2 Antibody [NBP1-83613] - Staining in human small intestine and skeletal muscle tissues.. Corresponding EPS8L2 RNA-seq data are presented for the same tissues.
Immunohistochemistry-Paraffin: EPS8L2 Antibody [NBP1-83613]

Immunohistochemistry-Paraffin: EPS8L2 Antibody [NBP1-83613]

Immunohistochemistry-Paraffin: EPS8L2 Antibody [NBP1-83613] - Staining of human skin shows strong cytoplasmic positivity in epidermal cells.

Applications for EPS8L2 Antibody - BSA Free

Application
Recommended Usage

Immunocytochemistry/ Immunofluorescence

0.25-2 ug/ml

Immunohistochemistry

1:200 - 1:500

Immunohistochemistry-Paraffin

1:200 - 1:500

Western Blot

0.04-0.4 ug/ml
Application Notes
For IHC-Paraffin, HIER pH 6 retrieval is recommended. Immunocytochemistry/Immunofluorescence Fixation Permeabilization: Use PFA/Triton X-100.

Formulation, Preparation, and Storage

Purification

Immunogen affinity purified

Formulation

PBS (pH 7.2) and 40% Glycerol

Format

BSA Free

Preservative

0.02% Sodium Azide

Concentration

Concentrations vary lot to lot. See vial label for concentration. If unlisted please contact technical services.

Shipping

The product is shipped with polar packs. Upon receipt, store it immediately at the temperature recommended below.

Stability & Storage

Store at 4C short term. Aliquot and store at -20C long term. Avoid freeze-thaw cycles.

Background: EPS8L2

EPS8L2 encodes a member of the EPS8 gene family. The encoded protein, like other members of the family, is thought to link growth factor stimulation to actin organization, generating functional redundancy in the pathways that regulate actin cytoskeletal remodeling. [provided by RefSeq]

Alternate Names

epidermal growth factor receptor kinase substrate 8-like protein 2, Epidermal growth factor receptor pathway substrate 8-related protein 2, EPS8-like 2, EPS8-like protein 2, EPS8R2, EPS8-related protein 2, FLJ16738, FLJ21935, FLJ22171, MGC126530, MGC3088

Gene Symbol

EPS8L2

Additional EPS8L2 Products

Product Documents for EPS8L2 Antibody - BSA Free

Certificate of Analysis

To download a Certificate of Analysis, please enter a lot number in the search box below.

Product Specific Notices for EPS8L2 Antibody - BSA Free

This product is for research use only and is not approved for use in humans or in clinical diagnosis. Primary Antibodies are guaranteed for 1 year from date of receipt.

Loading...
Loading...
Loading...
Loading...