Skip to main content

epithelial Sodium Channel alpha Antibody - BSA Free

Novus Biologicals, part of Bio-Techne | Catalog # NBP3-45424

Novus Biologicals, part of Bio-Techne
Catalog #
Availability
Size / Price
Qty
Loading...
NBP3-45424

Key Product Details

Species Reactivity

Human, Mouse, Rat

Applications

ELISA, Immunohistochemistry, Western Blot

Label

Unconjugated

Antibody Source

Polyclonal Rabbit IgG

Format

BSA Free

Concentration

Please see the vial label for concentration. If unlisted please contact technical services.

Product Specifications

Immunogen

sodium channel, nonvoltage-gated 1 alpha. (Uniprot# P37088)

Clonality

Polyclonal

Host

Rabbit

Isotype

IgG

Theoretical MW

65 kDa.
Disclaimer note: The observed molecular weight of the protein may vary from the listed predicted molecular weight due to post translational modifications, post translation cleavages, relative charges, and other experimental factors.

Description

Novus Biologicals Rabbit epithelial Sodium Channel alpha Antibody - BSA Free (NBP3-45424) is a polyclonal antibody validated for use in IHC, WB and ELISA. All Novus Biologicals antibodies are covered by our 100% guarantee.

Scientific Data Images for epithelial Sodium Channel alpha Antibody - BSA Free

epithelial Sodium Channel alpha Antibody - BSA Free

Western Blot: epithelial Sodium Channel alpha Antibody - BSA Free [NBP3-45424] -

Western Blot: epithelial Sodium Channel alpha Antibody - BSA Free [NBP3-45424] - PC-13 cells were subjected to SDS PAGE followed by western blot with (epithelial Sodium Channel alpha Antibody) at dilution of 1:600
epithelial Sodium Channel alpha Antibody - BSA Free

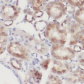
Immunohistochemistry: epithelial Sodium Channel alpha Antibody - BSA Free [NBP3-45424] -

Immunohistochemistry: epithelial Sodium Channel alpha Antibody - BSA Free [NBP3-45424] - Immunohistochemistry of paraffin-embedded human kidney tissue slide using (epithelial Sodium Channel alpha Antibody) at dilution of 1:50

Applications for epithelial Sodium Channel alpha Antibody - BSA Free

Application
Recommended Usage

Immunohistochemistry

1:20-1:200

Western Blot

1:500-1:1000

Formulation, Preparation, and Storage

Purification

Immunogen affinity purified

Formulation

PBS, 50% Glycerol, pH (7.3)

Format

BSA Free

Preservative

0.02% Sodium Azide

Concentration

Please see the vial label for concentration. If unlisted please contact technical services.

Shipping

The product is shipped with polar packs. Upon receipt, store it immediately at the temperature recommended below.

Stability & Storage

Store at -20C. Avoid freeze-thaw cycles.

Background: epithelial Sodium Channel alpha

Epithelial Sodium Channel alpha (SCNN1A) is a subunit of the epithelial sodium channel (ENaC). ENac has high sodium selectivity, low conductance, and amiloride sensitivity. The functional channel of ENaC is composed of at least 3 subunits, alpha (SCNN1A), beta (SCNN1B), and gamma (SCNN1G). The 3 subunits show sequence similarities to one another, indicating descent from a common ancestral gene. Each encodes a protein containing 2 transmembrane domains, with intracellular amino and carboxyl termini. The alpha subunit supports sodium conductance when expressed alone; the beta and gamma subunits do not support sodium conductance by themselves, but greatly augment the channel activity when expressed in conjunction with the alpha subunit. ENaC in the kidney, lung and colon plays an essential role in trans- epithelial sodium and fluid balance. ENaC also mediates aldosterone-dependent sodium re-uptake in the distal nephron of the kidney, thus regulating blood pressure. Gain-of-function mutations in beta- or gamma-ENaC can cause severe arterial hypertension (Liddel's syndrome) and loss-of-function mutations in alpha- or beta-ENaC causes pseudohypoaldosteronism (PHA-1).

Long Name

Amiloride-sensitive sodium channel subunit alpha

Alternate Names

Alpha-ENaC, Alpha-NaCH, ENaCA, SCNEA, SCNN1, SCNN1A

Gene Symbol

SCNN1A

Additional epithelial Sodium Channel alpha Products

Product Documents for epithelial Sodium Channel alpha Antibody - BSA Free

Certificate of Analysis

To download a Certificate of Analysis, please enter a lot number in the search box below.

Product Specific Notices for epithelial Sodium Channel alpha Antibody - BSA Free

This product is for research use only and is not approved for use in humans or in clinical diagnosis. Primary Antibodies are guaranteed for 1 year from date of receipt.

Loading...
Loading...
Loading...
Loading...