Skip to main content

Epimorphin/Syntaxin 2 Antibody - BSA Free

Novus Biologicals, part of Bio-Techne | Catalog # NBP1-19338

Novus Biologicals, part of Bio-Techne

Key Product Details

Species Reactivity

Human, Mouse, Rat, Porcine, Bovine, Canine, Chicken, Drosophila, Hamster, Monkey, Rabbit, Sheep, Xenopus

Applications

Immunohistochemistry, Immunohistochemistry-Paraffin, Western Blot, Immunoprecipitation

Label

Unconjugated

Antibody Source

Polyclonal Rabbit IgG

Format

BSA Free

Concentration

1.0 mg/ml

Product Specifications

Immunogen

Synthetic peptide derived from sequence near the amino-terminus of rat Syntaxin 2, conjugated to KLH

Specificity

Syntaxin 2

Clonality

Polyclonal

Host

Rabbit

Isotype

IgG

Theoretical MW

35 kDa.
Disclaimer note: The observed molecular weight of the protein may vary from the listed predicted molecular weight due to post translational modifications, post translation cleavages, relative charges, and other experimental factors.

Description

Novus Biologicals Rabbit Epimorphin/Syntaxin 2 Antibody - BSA Free (NBP1-19338) is a polyclonal antibody validated for use in IHC, WB and IP. All Novus Biologicals antibodies are covered by our 100% guarantee.

Scientific Data Images for Epimorphin/Syntaxin 2 Antibody - BSA Free

Western Blot: Epimorphin/Syntaxin 2 Antibody [NBP1-19338]

Western Blot: Epimorphin/Syntaxin 2 Antibody [NBP1-19338]

Western Blot: Epimorphin/Syntaxin 2 Antibody [NBP1-19338] - Analysis of human Jurkat cell lysate, probed with Syntaxin 2 pAb.
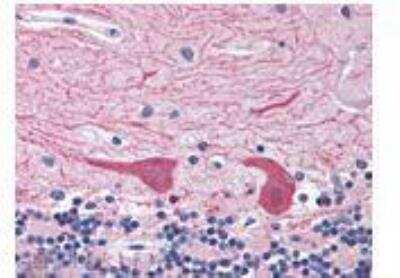
Immunohistochemistry-Paraffin: Epimorphin/Syntaxin 2 Antibody [NBP1-19338]

Immunohistochemistry-Paraffin: Epimorphin/Syntaxin 2 Antibody [NBP1-19338]

Immunohistochemistry-Paraffin: Epimorphin/Syntaxin 2 Antibody [NBP1-19338] - Analysis of human brain, cerebellum tissue stained with Syntaxin 2, pAb at 10 ug/ml.

Applications for Epimorphin/Syntaxin 2 Antibody - BSA Free

Application
Recommended Usage

Immunohistochemistry

1:10-1:500

Immunohistochemistry-Paraffin

1:10-1:500

Immunoprecipitation

10 ug/ml

Western Blot

1 ug/ml (colorimetric)

Formulation, Preparation, and Storage

Purification

Immunogen affinity purified

Formulation

PBS (pH 7.2) and 50% Glycerol

Format

BSA Free

Preservative

0.09% Sodium Azide

Concentration

1.0 mg/ml

Shipping

The product is shipped with polar packs. Upon receipt, store it immediately at the temperature recommended below.

Stability & Storage

Store at -20C. Avoid freeze-thaw cycles.

Background: Epimorphin/Syntaxin 2

Syntaxin 2, also known as epimorphin, is a 35 kDa type II integral membrane that belongs to the t SNARE family, a group of proteins involved in protein transport. Syntaxin 2 was first identified as a factor that promotes branching morphogenesis in mammary epithelial cells. Studies using pancreatic exocrine acinar cells, in which the exocytic pathways are well defined, show primary localization of syntaxin 2 to the apical plasma membrane. Homologs of syntaxin 2 have been identified in various eukaryotes ranging from yeast to human. Neuronal syntaxin is a component of a 20S complex implicated in vesicle docking and fusion, which involves its interaction with syntaxin through a ATP dependent reaction modulated by synaptotagmin, SNAP 25, alpha SNAP, and NSF.

Alternate Names

STX2, Syntaxin 2

Entrez Gene IDs

2054 (Human); 13852 (Mouse); 25130 (Rat)

Gene Symbol

STX2

Additional Epimorphin/Syntaxin 2 Products

Product Documents for Epimorphin/Syntaxin 2 Antibody - BSA Free

Certificate of Analysis

To download a Certificate of Analysis, please enter a lot number in the search box below.

Product Specific Notices for Epimorphin/Syntaxin 2 Antibody - BSA Free

This product is for research use only and is not approved for use in humans or in clinical diagnosis. Primary Antibodies are guaranteed for 1 year from date of receipt.

Loading...
Loading...
Loading...
Loading...