Skip to main content

Ephrin-A1 Antibody - Azide and BSA Free

Novus Biologicals, part of Bio-Techne | Catalog # NBP2-99655

Novus Biologicals, part of Bio-Techne

Key Product Details

Species Reactivity

Human

Applications

ELISA, Immunohistochemistry-Paraffin

Label

Unconjugated

Antibody Source

Polyclonal Rabbit IgG

Format

Azide and BSA Free

Concentration

Please see the vial label for concentration. If unlisted please contact technical services.

Product Specifications

Immunogen

Produced in rabbits immunized with purified, recombinant Human Ephrin-A1 (Accession#: NP_004419.2; Met 1-Ser182)

Clonality

Polyclonal

Host

Rabbit

Isotype

IgG

Description

This antibody can be stored at 2C to 8C for one month without detectable loss of activity. Antibody products are stable for twelve months from date of receipt when stored at -20C to -80C. Avoid repeated freeze-thaw cycles.

Scientific Data Images for Ephrin-A1 Antibody - Azide and BSA Free

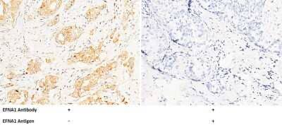
Immunohistochemistry-Paraffin: Ephrin-A1 Antibody [NBP2-99655]

Immunohistochemistry-Paraffin: Ephrin-A1 Antibody [NBP2-99655]

Immunohistochemistry-Paraffin: Ephrin-A1 Antibody [NBP2-99655] - Immunochemical staining of human Ephrin-A1 in human gallbladder with rabbit polyclonal antibody (1:1000, formalin-fixed paraffin embedded sections). Positive staining was localized to epithelium. The left panel: tissue incubated with primary antibody; The
Immunohistochemistry-Paraffin: Ephrin-A1 Antibody [NBP2-99655]

Immunohistochemistry-Paraffin: Ephrin-A1 Antibody [NBP2-99655]

Immunohistochemistry-Paraffin: Ephrin-A1 Antibody [NBP2-99655] - Immunochemical staining of human Ephrin-A1 in human breast carcinoma with rabbit polyclonal antibody (1:1000, formalin-fixed paraffin embedded sections). Positive staining was localized to epithelium. The left panel: tissue incubated with primary antibody

Applications for Ephrin-A1 Antibody - Azide and BSA Free

Application
Recommended Usage

ELISA

1:1000-1:2000

Immunohistochemistry-Paraffin

1:500-1:2000

Formulation, Preparation, and Storage

Purification

Antigen and protein A Affinity-purified

Formulation

0.2 um filtered solution in PBS

Format

Azide and BSA Free

Preservative

No Preservative

Concentration

Please see the vial label for concentration. If unlisted please contact technical services.

Shipping

The product is shipped with polar packs. Upon receipt, store it immediately at the temperature recommended below.

Stability & Storage

Store at 4C short term. Aliquot and store at -20C long term. Avoid freeze-thaw cycles.

Background: Ephrin-A1

The Eph subfamily represents the largest group of receptor protein kinases identified to date. There is increasing evidence that Eph family members are involved in central nervous system function and in development. Ligands for Eph receptors include ephrin-A1 (LERK-1/B61), identified as a ligand for the EphA2 (Eck) receptor; ephrin-A2 (ELF-1), identified as a ligand for the EphA3 and EphA4 (Sek) receptors; ephrin-A3 (LERK-3), identified as a ligand for EphA5 (Ehk1) and EphA3 (Hek) receptors; ephrin-A4 (LERK-4), identified as a ligand for the EphA3 receptor; ephrin-A5 (AL-1), identified as a ligand for EphA5 (REK7); ephrin-B1 (LERK-2), identified as a ligand for the EphB1 (Elk) and EphB2 (Cek5) receptors; ephrin-B2 (LERK-5), identified as a ligand for the EphB1, EphB3 (Cek10) and EphB2 receptors; and ephrin-B3 (LERK-8), identified as a ligand for EphB1.

Alternate Names

B61, EFL-1, EFNA1, EphrinA1, LERK1

Gene Symbol

EFNA1

Additional Ephrin-A1 Products

Product Documents for Ephrin-A1 Antibody - Azide and BSA Free

Certificate of Analysis

To download a Certificate of Analysis, please enter a lot number in the search box below.

Product Specific Notices for Ephrin-A1 Antibody - Azide and BSA Free

This product is for research use only and is not approved for use in humans or in clinical diagnosis. Primary Antibodies are guaranteed for 1 year from date of receipt.

Loading...
Loading...
Loading...
Loading...