Skip to main content

EphB1 Antibody (5F10A4)

Novus Biologicals, part of Bio-Techne | Catalog # NBP1-28887

Novus Biologicals, part of Bio-Techne
Catalog #
Availability
Size / Price
Qty
Loading...
NBP1-28887
NBP1-28887-0.025ml

Key Product Details

Species Reactivity

Human

Applications

ELISA, Immunohistochemistry, Immunohistochemistry-Paraffin, Western Blot

Label

Unconjugated

Antibody Source

Monoclonal Mouse IgG1 Clone # 5F10A4

Concentration

This product is unpurified. The exact concentration of antibody is not quantifiable.

Product Specifications

Immunogen

Purified recombinant fragment of EphB1 (aa19-133) expressed in E. Coli.

Specificity

Specific for EPH Receptor B1.

Clonality

Monoclonal

Host

Mouse

Isotype

IgG1

Theoretical MW

110 kDa.
Disclaimer note: The observed molecular weight of the protein may vary from the listed predicted molecular weight due to post translational modifications, post translation cleavages, relative charges, and other experimental factors.

Description

Novus Biologicals Mouse EphB1 Antibody (5F10A4) (NBP1-28887) is a monoclonal antibody validated for use in IHC, WB and ELISA. All Novus Biologicals antibodies are covered by our 100% guarantee.

Scientific Data Images for EphB1 Antibody (5F10A4)

Western Blot: EphB1 Antibody (5F10A4)BSA Free [NBP1-28887]

Western Blot: EphB1 Antibody (5F10A4)BSA Free [NBP1-28887]

Western Blot: EphB1 Antibody (5F10A4) [NBP1-28887] - Analysis using EhpB1 mouse mAb against MDA-MB-468 (1), MDA-MB-453 (2), MCF-7 (3), T47D (4) and SKBR-3 (5) cell lysate.
Immunohistochemistry-Paraffin: EphB1 Antibody (5F10A4) - BSA Free [NBP1-28887]

Immunohistochemistry-Paraffin: EphB1 Antibody (5F10A4) - BSA Free [NBP1-28887]

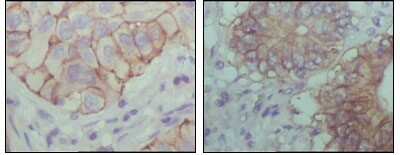
Immunohistochemistry-Paraffin: EphB1 Antibody (5F10A4) [NBP1-28887] - Analysis of human lung cancer (left) and colon cancer (right) showing cytoplasmic localization with DAB staining using EphB1 mouse mAb.

Applications for EphB1 Antibody (5F10A4)

Application
Recommended Usage

ELISA

1:10000

Immunohistochemistry

1:10 - 1:500

Immunohistochemistry-Paraffin

1:200 - 1:1000

Western Blot

1:500 - 1:2000

Formulation, Preparation, and Storage

Purification

Unpurified

Formulation

Ascites

Preservative

0.03% Sodium Azide

Concentration

This product is unpurified. The exact concentration of antibody is not quantifiable.

Shipping

The product is shipped with polar packs. Upon receipt, store it immediately at the temperature recommended below.

Stability & Storage

Store at 4C short term. Aliquot and store at -20C long term. Avoid freeze-thaw cycles.

Background: EphB1

EPH receptor B1. It is a receptor for ephrin-B family members. Ephrin receptors and their ligands, the ephrins, medate numerous developmental processes, particularly in the nervous system. Based on their structures and sequence relationships, ephrins are divided into the ephrin-A (EFNA) class, which are anchored to the membrane by a glycosylphosphatidylinositol linkage, and the ephrin-B (EFNB) class, which are transmembrane proteins. The Eph family of receptors are divided into 2 groups based on the similarity of their extracellular domain sequences and their affinities for binding ephrin-A and ephrin-B ligands. Ephrin receptors make up the largest subgroup of the receptor tyrosine kinase (RTK) family.

Long Name

Eph Receptor B1

Alternate Names

Cek6, Elk, Hek6, Net

Gene Symbol

EPHB1

UniProt

Additional EphB1 Products

Product Documents for EphB1 Antibody (5F10A4)

Certificate of Analysis

To download a Certificate of Analysis, please enter a lot number in the search box below.

Product Specific Notices for EphB1 Antibody (5F10A4)

This product is for research use only and is not approved for use in humans or in clinical diagnosis. Primary Antibodies are guaranteed for 1 year from date of receipt.

Loading...
Loading...
Loading...
Loading...