Skip to main content

EPB41L1 Antibody - BSA Free

Novus Biologicals, part of Bio-Techne | Catalog # NBP2-31572

Novus Biologicals, part of Bio-Techne
Catalog #
Availability
Size / Price
Qty
Loading...
NBP2-31572
NBP2-31572-25ul

Key Product Details

Validated by

Orthogonal Validation, Independent Antibodies

Species Reactivity

Human

Applications

Immunocytochemistry/ Immunofluorescence, Immunohistochemistry, Immunohistochemistry-Paraffin, Western Blot

Label

Unconjugated

Antibody Source

Polyclonal Rabbit IgG

Format

BSA Free

Concentration

Concentrations vary lot to lot. See vial label for concentration. If unlisted please contact technical services.

Product Specifications

Immunogen

This antibody was developed against a recombinant protein corresponding to amino acids: EAEVDFTVIGDYHGSAFEDFSRSLPELDRDKSDSDTEGLLFSRDLNKGAPSQDDESGGIEDSPDRGACSTPDMPQFEPVKTETMTVSSLAIRKKIEPE

Reactivity Notes

Immunogen displays the following percentage of sequence identity for non-tested species: Mouse (88%), Rat (88%)

Clonality

Polyclonal

Host

Rabbit

Isotype

IgG

Description

Novus Biologicals Rabbit EPB41L1 Antibody - BSA Free (NBP2-31572) is a polyclonal antibody validated for use in IHC, WB and ICC/IF. All Novus Biologicals antibodies are covered by our 100% guarantee.

Scientific Data Images for EPB41L1 Antibody - BSA Free

Western Blot: EPB41L1 Antibody [NBP2-31572]

Western Blot: EPB41L1 Antibody [NBP2-31572]

Western Blot: EPB41L1 Antibody [NBP2-31572] - Analysis using Anti-EPB41L1 antibody NBP2-31572 (A) shows similar pattern to independent antibody NBP2-31650 (B).
Immunocytochemistry/ Immunofluorescence: EPB41L1 Antibody [NBP2-31572]

Immunocytochemistry/ Immunofluorescence: EPB41L1 Antibody [NBP2-31572]

Immunocytochemistry/Immunofluorescence: EPB41L1 Antibody [NBP2-31572] - Immunofluorescent staining of human cell line A549 shows localization to plasma membrane.
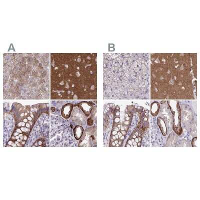
Immunohistochemistry-Paraffin: EPB41L1 Antibody [NBP2-31572]

Immunohistochemistry-Paraffin: EPB41L1 Antibody [NBP2-31572]

Immunohistochemistry-Paraffin: EPB41L1 Antibody [NBP2-31572] - Staining of human kidney.

Applications for EPB41L1 Antibody - BSA Free

Application
Recommended Usage

Immunocytochemistry/ Immunofluorescence

0.25-2 ug/ml

Immunohistochemistry

1:200 - 1:500

Immunohistochemistry-Paraffin

1:200 - 1:500

Western Blot

0.04-0.4 ug/ml
Application Notes
For IHC-Paraffin, HIER pH 6 retrieval is recommended. Immunocytochemistry/Immunofluorescence Fixation Permeabilization: Use PFA/Triton X-100.

Formulation, Preparation, and Storage

Purification

Immunogen affinity purified

Formulation

PBS (pH 7.2) and 40% Glycerol

Format

BSA Free

Preservative

0.02% Sodium Azide

Concentration

Concentrations vary lot to lot. See vial label for concentration. If unlisted please contact technical services.

Shipping

The product is shipped with polar packs. Upon receipt, store it immediately at the temperature recommended below.

Stability & Storage

Store at 4C short term. Aliquot and store at -20C long term. Avoid freeze-thaw cycles.

Background: EPB41L1

Erythrocyte membrane protein band 4.1 (EPB41) is a multifunctional protein that mediates interactions between the erythrocyte cytoskeleton and the overlying plasma membrane. The protein encoded by this gene is a neuronally-enriched protein that is structurally similar to EPB41. The encoded protein binds and stabilizes D2 and D3 dopamine receptors at the neuronal plasma membrane. Multiple transcript variants encoding different isoforms have been found for this gene, but the full-length nature of only two of them has been determined. [provided by RefSeq]

Alternate Names

band 4.1-like protein 1, DKFZp686H17242, erythrocyte membrane protein band 4.1-like 1, KIAA0338Neuronal protein 4.1,4.1N, MGC11072, neuron-type nonerythroid protein 4.1

Gene Symbol

EPB41L1

UniProt

Additional EPB41L1 Products

Product Documents for EPB41L1 Antibody - BSA Free

Certificate of Analysis

To download a Certificate of Analysis, please enter a lot number in the search box below.

Product Specific Notices for EPB41L1 Antibody - BSA Free

This product is for research use only and is not approved for use in humans or in clinical diagnosis. Primary Antibodies are guaranteed for 1 year from date of receipt.

Loading...
Loading...
Loading...
Loading...