Skip to main content

ENPP-2/Autotaxin Antibody (A4) - BSA Free

Novus Biologicals, part of Bio-Techne | Catalog # NBP3-41753

Novus Biologicals, part of Bio-Techne
Catalog #
Availability
Size / Price
Qty
Loading...
NBP3-41753

Key Product Details

Species Reactivity

Human

Applications

Western Blot

Label

Unconjugated

Antibody Source

Monoclonal Mouse IgG1 kappa Clone # A4

Format

BSA Free

Concentration

1 mg/ml

Product Specifications

Immunogen

Immunized with recombinant Human ENPP-2/Autotaxin (Uniprot#: Q13822-2; Arg637-Lys905 (Uniprot#: Q13822-2)

Clonality

Monoclonal

Host

Mouse

Isotype

IgG1 kappa

Description

Novus Biologicals Mouse ENPP-2/Autotaxin Antibody (A4) - BSA Free (NBP3-41753) is a monoclonal antibody validated for use in WB. All Novus Biologicals antibodies are covered by our 100% guarantee.

Scientific Data Images for ENPP-2/Autotaxin Antibody (A4) - BSA Free

ENPP-2/Autotaxin Antibody (A4)

Immunohistochemistry-Paraffin: ENPP-2/Autotaxin Antibody (A4) [NBP3-41753] -

Immunohistochemistry-Paraffin: ENPP-2/Autotaxin Antibody (A4) [NBP3-41753] - DAB staining on IHC-P; Samples: Human Stomach Tissue; Primary Ab: 30ug/ml NBP3-41753; Second Ab: 2ug/mL HRP-Linked Caprine Anti-Mouse IgG Polyclonal Antibody
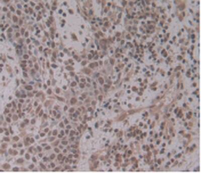
ENPP-2/Autotaxin Antibody (A4)

Immunohistochemistry-Paraffin: ENPP-2/Autotaxin Antibody (A4) [NBP3-41753] -

Immunohistochemistry-Paraffin: ENPP-2/Autotaxin Antibody (A4) [NBP3-41753] - DAB staining on IHC-P; Samples:Human Skin Cancer Tissue
ENPP-2/Autotaxin Antibody (A4)

Western Blot: ENPP-2/Autotaxin Antibody (A4) [NBP3-41753] -

Western Blot: ENPP-2/Autotaxin Antibody (A4) [NBP3-41753] - Sample: Recombinant ENPP-2/Autotaxin, Human.

Applications for ENPP-2/Autotaxin Antibody (A4) - BSA Free

Application
Recommended Usage

Western Blot

0.5-2ug/mL

Formulation, Preparation, and Storage

Purification

Protein A or G purified

Formulation

0.01M PBS, pH7.4, 50% glycerol

Format

BSA Free

Preservative

0.05% Proclin 300

Concentration

1 mg/ml

Shipping

The product is shipped with polar packs. Upon receipt, store it immediately at the temperature recommended below.

Stability & Storage

Store at 4C short term. Aliquot and store at -20C long term. Avoid freeze-thaw cycles.

Background: ENPP-2/Autotaxin

The protein encoded by the ENPP2 gene functions as both a phosphodiesterase, which cleaves phosphodiester bonds at the 5' end of oligonucleotides, and a phospholipase, which catalyzes production of lysophosphatidic acid (LPA) in extracellular fluids. LPA evokes growth factor-like responses including stimulation of cell proliferation and chemotaxis. This gene product stimulates the motility of tumor cells and has angiogenic properties, and its expression is upregulated in several kinds of carcinomas. The gene product is secreted and further processed to make the biologically active form. Several alternatively spliced transcript variants encoding different isoforms have been identified. (provided by RefSeq)

Long Name

Ectonucleotide Pyrophosphatase/Phosphodiesterase 2

Alternate Names

ATX, Autotaxin, ENPP2, Lysophosphatidic Acid, NPP2, PDNP2

Gene Symbol

ENPP2

Additional ENPP-2/Autotaxin Products

Product Documents for ENPP-2/Autotaxin Antibody (A4) - BSA Free

Certificate of Analysis

To download a Certificate of Analysis, please enter a lot number in the search box below.

Product Specific Notices for ENPP-2/Autotaxin Antibody (A4) - BSA Free

This product is for research use only and is not approved for use in humans or in clinical diagnosis. Primary Antibodies are guaranteed for 1 year from date of receipt.

Loading...
Loading...
Loading...
Loading...