Skip to main content

ENO3 Antibody - BSA Free

Novus Biologicals, part of Bio-Techne | Catalog # NBP1-31764

Novus Biologicals, part of Bio-Techne
Catalog #
Availability
Size / Price
Qty
Loading...
NBP1-31764

Key Product Details

Species Reactivity

Validated:

Human, Mouse, Rat, Zebrafish

Cited:

Human

Predicted:

Bovine (98%), Porcine (98%), Rabbit (98%), Xenopus (91%). Backed by our 100% Guarantee.

Applications

Validated:

Immunohistochemistry, Immunohistochemistry-Paraffin, Western Blot

Cited:

Western Blot

Label

Unconjugated

Antibody Source

Polyclonal Rabbit IgG

Format

BSA Free

Concentration

Concentrations vary lot to lot. See vial label for concentration. If unlisted please contact technical services.

Product Specifications

Immunogen

Recombinant protein encompassing a sequence within the center region of human ENO3. The exact sequence is proprietary.

Reactivity Notes

Xenopus laevis (91%), Zebrafish (89%), Chicken (82%).

Localization

Cytoplasm

Clonality

Polyclonal

Host

Rabbit

Isotype

IgG

Theoretical MW

47 kDa.
Disclaimer note: The observed molecular weight of the protein may vary from the listed predicted molecular weight due to post translational modifications, post translation cleavages, relative charges, and other experimental factors.

Scientific Data Images for ENO3 Antibody - BSA Free

Western Blot: ENO3 Antibody [NBP1-31764]

Western Blot: ENO3 Antibody [NBP1-31764]

Western Blot: ENO3 Antibody [NBP1-31764] - Sample (30 ug of whole cell lysate) A: Hep G2 B: Molt-4 C: Raji 10% SDS PAGE; antibody diluted at 1:1000.
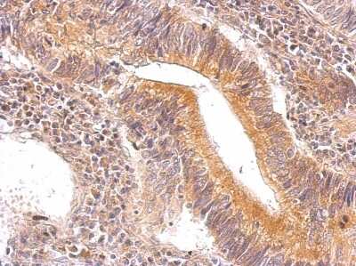
Immunohistochemistry-Paraffin: ENO3 Antibody [NBP1-31764]

Immunohistochemistry-Paraffin: ENO3 Antibody [NBP1-31764]

Immunohistochemistry-Paraffin: ENO3 Antibody [NBP1-31764] - Paraffin-embedded gastric carcinoma; antibody dilution 1:500.
Western Blot: ENO3 Antibody [NBP1-31764]

Western Blot: ENO3 Antibody [NBP1-31764]

Western Blot: ENO3 Antibody [NBP1-31764] - Sample (50 ug of whole cell lysate) A: mouse brain 10% SDS PAGE; antibody diluted at 1:10000.

Applications for ENO3 Antibody - BSA Free

Application
Recommended Usage

Immunohistochemistry

1:100-1:1000

Immunohistochemistry-Paraffin

1:100-1:1000

Western Blot

1:1000-1:10000

Formulation, Preparation, and Storage

Purification

Antigen Affinity-purified

Formulation

0.1M Tris, 0.1M Glycine, 10% Glycerol

Format

BSA Free

Preservative

0.01% Thimerosal

Concentration

Concentrations vary lot to lot. See vial label for concentration. If unlisted please contact technical services.

Shipping

The product is shipped with polar packs. Upon receipt, store it immediately at the temperature recommended below.

Stability & Storage

Aliquot and store at -20C or -80C. Avoid freeze-thaw cycles.

Background: ENO3

This gene encodes one of the three enolase isoenzymes found in mammals. This isoenzyme, a homodimer, is found in skeletal muscle cells in the adult. A switch from alpha enolase to beta enolase occurs in muscle tissue during development in rodents. Mutations in this gene can be associated with metabolic myopathies that may result from decreased stability of the enzyme. Two transcripts have been identified for this gene that differ only in their 5' UTR.

Alternate Names

2-phospho-D-glycerate hydrolyase, 2-phospho-D-glycerate hydro-lyase, beta-enolase, EC 4.2.1, EC 4.2.1.11, Enolase 3, enolase 3 (beta, muscle), enolase 3, (beta, muscle), GSD13, MSE, Muscle-specific enolase, Skeletal muscle enolase

Gene Symbol

ENO3

Additional ENO3 Products

Product Documents for ENO3 Antibody - BSA Free

Certificate of Analysis

To download a Certificate of Analysis, please enter a lot number in the search box below.

Product Specific Notices for ENO3 Antibody - BSA Free

This product is for research use only and is not approved for use in humans or in clinical diagnosis. Primary Antibodies are guaranteed for 1 year from date of receipt.

Loading...
Loading...
Loading...
Loading...

⚠ WARNING: This product can expose you to chemicals including mercury, which is known to the State of California to cause reproductive toxicity with developmental effects.  For more information go to www.P65Warnings.ca.gov.