Skip to main content

ENKD1 Antibody - BSA Free

Novus Biologicals, part of Bio-Techne | Catalog # NBP1-85147

Novus Biologicals, part of Bio-Techne
Catalog #
Availability
Size / Price
Qty
Loading...
NBP1-85147-25ul
NBP1-85147

Key Product Details

Species Reactivity

Validated:

Human

Predicted:

Rat (92%). Backed by our 100% Guarantee.

Applications

Immunohistochemistry, Immunohistochemistry-Paraffin, Western Blot, Immunocytochemistry/ Immunofluorescence

Label

Unconjugated

Antibody Source

Polyclonal Rabbit IgG

Format

BSA Free

Concentration

Concentrations vary lot to lot. See vial label for concentration. If unlisted please contact technical services.

Product Specifications

Immunogen

This antibody was developed against Recombinant Protein corresponding to amino acids: QVLAQVLEQQRQAQEHYNATQKGHVPHYLLERRDLWRREAEARKQSQPDPAMPPGHTRMPENQRLETLTKL

Reactivity Notes

Immunogen displays the following percentage of sequence identity for non-tested species: Mouse (87%). Reactivity reported in scientific literature (PMID: 23435261)

Clonality

Polyclonal

Host

Rabbit

Isotype

IgG

Description

Novus Biologicals Rabbit ENKD1 Antibody - BSA Free (NBP1-85147) is a polyclonal antibody validated for use in IHC, WB and ICC/IF. Anti-ENKD1 Antibody: Cited in 1 publication. All Novus Biologicals antibodies are covered by our 100% guarantee.

Scientific Data Images for ENKD1 Antibody - BSA Free

Western Blot: ENKD1 Antibody [NBP1-85147]

Western Blot: ENKD1 Antibody [NBP1-85147]

Western Blot: ENKD1 Antibody [NBP1-85147] - Analysis in control (vector only transfected HEK293T lysate) and ENKD1 over-expression lysate (Co-expressed with a C-terminal myc-DDK tag (3.1 kDa) in mammalian HEK293T cells).
Immunocytochemistry/ Immunofluorescence: ENKD1 Antibody [NBP1-85147]

Immunocytochemistry/ Immunofluorescence: ENKD1 Antibody [NBP1-85147]

Immunocytochemistry/Immunofluorescence: ENKD1 Antibody [NBP1-85147] - Immunofluorescent staining of human cell line A-431 shows localization to plasma membrane & cytosol.
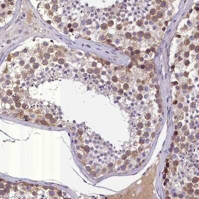
Immunohistochemistry-Paraffin: ENKD1 Antibody [NBP1-85147]

Immunohistochemistry-Paraffin: ENKD1 Antibody [NBP1-85147]

Immunohistochemistry-Paraffin: ENKD1 Antibody [NBP1-85147] - Staining of human testis shows moderate cytoplasmic positivity in cells in seminiferus ducts.

Applications for ENKD1 Antibody - BSA Free

Application
Recommended Usage

Immunocytochemistry/ Immunofluorescence

0.25-2 ug/ml

Immunohistochemistry

1:200 - 1:500

Immunohistochemistry-Paraffin

1:200 - 1:500

Western Blot

0.04-0.4 ug/ml
Application Notes
For IHC-Paraffin, HIER pH 6 retrieval is recommended. Immunocytochemistry/Immunofluorescence Fixation Permeabilization: Use PFA/Triton X-100.

Formulation, Preparation, and Storage

Purification

Immunogen affinity purified

Formulation

PBS (pH 7.2) and 40% Glycerol

Format

BSA Free

Preservative

0.02% Sodium Azide

Concentration

Concentrations vary lot to lot. See vial label for concentration. If unlisted please contact technical services.

Shipping

The product is shipped with polar packs. Upon receipt, store it immediately at the temperature recommended below.

Stability & Storage

Store at 4C short term. Aliquot and store at -20C long term. Avoid freeze-thaw cycles.

Background: ENKD1

Alternate Names

C16orf48, chromosome 16 open reading frame 48, DAKV6410, DKFZp434A1319, hypothetical protein LOC84080

Gene Symbol

ENKD1

Additional ENKD1 Products

Product Documents for ENKD1 Antibody - BSA Free

Certificate of Analysis

To download a Certificate of Analysis, please enter a lot number in the search box below.

Product Specific Notices for ENKD1 Antibody - BSA Free

This product is for research use only and is not approved for use in humans or in clinical diagnosis. Primary Antibodies are guaranteed for 1 year from date of receipt.

Loading...
Loading...
Loading...
Loading...