Skip to main content

EN-RAGE/S100A12 Antibody - BSA Free

Novus Biologicals, part of Bio-Techne | Catalog # NBP1-86694

Novus Biologicals, part of Bio-Techne
Catalog #
Availability
Size / Price
Qty
Loading...
NBP1-86694-25ul
NBP1-86694

Key Product Details

Validated by

Orthogonal Validation

Species Reactivity

Human

Applications

Immunohistochemistry, Immunohistochemistry-Paraffin, Western Blot, Simple Western

Label

Unconjugated

Antibody Source

Polyclonal Rabbit IgG

Format

BSA Free

Concentration

Concentrations vary lot to lot. See vial label for concentration. If unlisted please contact technical services.

Product Specifications

Immunogen

This antibody was developed against Recombinant Protein corresponding to amino acids: KLEEHLEGIVNIFHQYSVRKGHFDTLSKGELKQLLTKELANTIKNIKDKAVIDEIFQGLDANQDEQVDFQEFISLVAIALKAAHYHTHKE

Clonality

Polyclonal

Host

Rabbit

Isotype

IgG

Description

Novus Biologicals Rabbit EN-RAGE/S100A12 Antibody - BSA Free (NBP1-86694) is a polyclonal antibody validated for use in IHC, WB and Simple Western. Anti-EN-RAGE/S100A12 Antibody: Cited in 1 publication. All Novus Biologicals antibodies are covered by our 100% guarantee.

Scientific Data Images for EN-RAGE/S100A12 Antibody - BSA Free

Immunohistochemistry-Paraffin: EN-RAGE/S100A12 Antibody [NBP1-86694]

Immunohistochemistry-Paraffin: EN-RAGE/S100A12 Antibody [NBP1-86694]

Immunohistochemistry-Paraffin: EN-RAGE/S100A12 Antibody [NBP1-86694] - Analysis in human bone marrow and testis tissues using NBP1-86694 antibody. Corresponding S100A12 RNA-seq data are presented for the same tissues.
Immunohistochemistry-Paraffin: EN-RAGE/S100A12 Antibody [NBP1-86694]

Immunohistochemistry-Paraffin: EN-RAGE/S100A12 Antibody [NBP1-86694]

Immunohistochemistry-Paraffin: EN-RAGE/S100A12 Antibody [NBP1-86694] - Staining of human bone marrow shows strong cytoplasmic and nuclear positivity in hematopoietic cells.
Immunohistochemistry-Paraffin: EN-RAGE/S100A12 Antibody [NBP1-86694]

Immunohistochemistry-Paraffin: EN-RAGE/S100A12 Antibody [NBP1-86694]

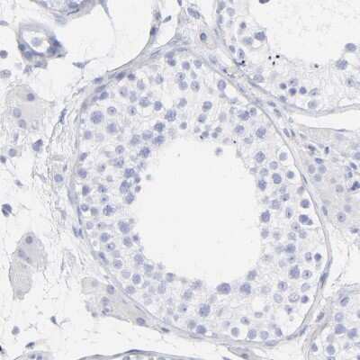
Immunohistochemistry-Paraffin: EN-RAGE/S100A12 Antibody [NBP1-86694] - Staining of human testis shows no positivity in cells in seminiferous ducts as expected.

Applications for EN-RAGE/S100A12 Antibody - BSA Free

Application
Recommended Usage

Immunohistochemistry

1:1000 - 1:2500

Immunohistochemistry-Paraffin

1:1000 - 1:2500

Simple Western

1:250

Western Blot

0.04-0.4 ug/ml
Application Notes
For IHC-Paraffin, HIER pH 6 retrieval is recommended.
See Simple Western Antibody Database for Simple Western validation: Tested in Tissue lysates, antibody dilution of 1:250

Formulation, Preparation, and Storage

Purification

Immunogen affinity purified

Formulation

PBS (pH 7.2) and 40% Glycerol

Format

BSA Free

Preservative

0.02% Sodium Azide

Concentration

Concentrations vary lot to lot. See vial label for concentration. If unlisted please contact technical services.

Shipping

The product is shipped with polar packs. Upon receipt, store it immediately at the temperature recommended below.

Stability & Storage

Store at 4C short term. Aliquot and store at -20C long term. Avoid freeze-thaw cycles.

Background: EN-RAGE/S100A12

S100A12 is a member of the S100 family of proteins containing 2 EF-hand calcium-binding motifs. S100 proteins are localized in the cytoplasm and/or nucleus of a wide range of cells, and involved in the regulation of a number of cellular processes such as cell cycle progression and differentiation. S100A12 is proposed to be involved in specific calcium-dependent signal transduction pathways and its regulatory effect on cytoskeletal components may modulate various neutrophil activities. S100A12 is also a ligand for RAGE. Interaction with RAGE on mononuclear phagocytes, lymphocytes and endothelium triggers cellular activation. Nuclear factor kappa B--a key transcription factor for inflammatory events--is activated by S100A12/RAGE. S100A12 has also been shown to have anti-microbial properties.

Long Name

Extracellular Newly Identified RAGE-binding Protein

Alternate Names

CAAF1, CAAFI, CAGC, CAGCS100, Calgranulin C, ENRAGE, MRP6, S100A12

Gene Symbol

S100A12

Additional EN-RAGE/S100A12 Products

Product Documents for EN-RAGE/S100A12 Antibody - BSA Free

Certificate of Analysis

To download a Certificate of Analysis, please enter a lot number in the search box below.

Product Specific Notices for EN-RAGE/S100A12 Antibody - BSA Free

This product is for research use only and is not approved for use in humans or in clinical diagnosis. Primary Antibodies are guaranteed for 1 year from date of receipt.

Loading...
Loading...
Loading...
Loading...