Skip to main content

EMMPRIN/CD147 Antibody (OX-47) - BSA Free

Novus Biologicals, part of Bio-Techne | Catalog # NB100-64848

Novus Biologicals, part of Bio-Techne
Catalog #
Availability
Size / Price
Qty
Loading...
NB100-64848SS
NB100-64848

Key Product Details

Species Reactivity

Validated:

Rat

Cited:

Rat

Applications

Validated:

Immunohistochemistry, Immunohistochemistry-Paraffin, Immunohistochemistry-Frozen, Western Blot, Flow Cytometry, Immunocytochemistry/ Immunofluorescence, CyTOF-ready

Cited:

Western Blot, Flow Cytometry

Label

Unconjugated

Antibody Source

Monoclonal Mouse IgG1 Clone # OX-47

Format

BSA Free

Concentration

1.0 mg/ml

Product Specifications

Immunogen

T blasts from a mixed lymphocyte reaction.

Specificity

NB100-64848 recognizes a membrane glycoprotein of MW 42-48 kD expressed at high levels on activated lymphocytes but lower levels on resting cells. The antigen is also present on some endothelia. The antigen contains two Ig-like domains and an unusual transmembrane domain with a charged residue. It is abundant on activated lymphocytes: it is the homologue of the chicken blood brain barrier antigen HT7.

Clonality

Monoclonal

Host

Mouse

Isotype

IgG1

Description

Novus Biologicals Mouse EMMPRIN/CD147 Antibody (OX-47) - BSA Free (NB100-64848) is a monoclonal antibody validated for use in IHC, WB, Flow and ICC/IF. Anti-EMMPRIN/CD147 Antibody: Cited in 6 publications. All Novus Biologicals antibodies are covered by our 100% guarantee.

Scientific Data Images for EMMPRIN/CD147 Antibody (OX-47) - BSA Free

Flow Cytometry: EMMPRIN/CD147 Antibody (OX-47) - BSA Free [NB100-64848]

Flow Cytometry: EMMPRIN/CD147 Antibody (OX-47) - BSA Free [NB100-64848]

Flow Cytometry: EMMPRIN/CD147 Antibody (OX-47) [NB100-64848] - Rat Splenocytes were stained with EMMPRIN/CD147 (OX-47) antibody NB100-64848 (blue) and a matched isotype control NBP2-27287 (orange). Cells were incubated in an antibody dilution of 1 ug/mL for 20 minutes at room temperature. The antibodies were directly conjugated to Alexa Fluor 488.
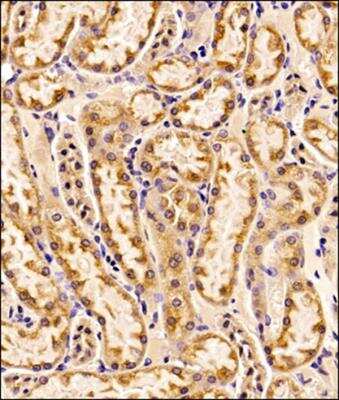
Immunohistochemistry-Paraffin: EMMPRIN/CD147 Antibody (OX-47) - BSA Free [NB100-64848]

Immunohistochemistry-Paraffin: EMMPRIN/CD147 Antibody (OX-47) - BSA Free [NB100-64848]

Immunohistochemistry-Paraffin: EMMPRIN/CD147 Antibody (OX-47) [NB100-64848] - Analysis of FFPE tissue section of rat kidney using 1:100 dilution of CD147 antibody (clone OX-47). The staining was detected using HRP-labelled secondary antibody and DAB reagent which followed counterstaining of sections with hematoxylin. This antibody generated primarily a membrane staining with some cytoplasmic signal in the cuboidal epithelial cells of various tubules.

Applications for EMMPRIN/CD147 Antibody (OX-47) - BSA Free

Application
Recommended Usage

Flow Cytometry

1 ug/mL

Immunocytochemistry/ Immunofluorescence

1:10 - 1:500

Immunohistochemistry

1:100 - 1:500

Immunohistochemistry-Frozen

1:100 - 1:500

Immunohistochemistry-Paraffin

1:100 - 1:500

Western Blot

1:100 - 1:2000

Formulation, Preparation, and Storage

Purification

Protein G purified

Formulation

PBS

Format

BSA Free

Preservative

0.02% Sodium Azide

Concentration

1.0 mg/ml

Shipping

The product is shipped with polar packs. Upon receipt, store it immediately at the temperature recommended below.

Stability & Storage

Store at 4C short term. Aliquot and store at -20C long term. Avoid freeze-thaw cycles.

Background: EMMPRIN/CD147

CD147 plays a pivotal role in spermatogenesis, embryo implantation, neural network formation and tumor progression. It stimulates adjacent fibroblasts to produce matrix metalloproteinases (MMPS). CD147 may target monocarboxylate transporters SLC16A1, SLC16A3 and SLC16A8 to plasma membranes of retinal pigment epithelium and neural retina. CD147 also seems to be a receptor for oligomannosidic glycans. In vitro, it promotes outgrowth of astrocytic processes. CD147 forms homooligomers in a cis-dependent manner on the plasma membrane. It forms a complex with MMP1 at the tumor cell surface. CD147 interacts with SLC16A1 and SLC1A3; probably a BSG dimer is associated with a monocarboxylate transporter dimer. CD147 also interacts with ATP1B2, MAG and L1CAM.

Long Name

Extracellular Matrix Metalloproteinase Inducer

Alternate Names

Basigin, BSG, CD147

Entrez Gene IDs

25246 (Rat)

Gene Symbol

BSG

UniProt

Additional EMMPRIN/CD147 Products

Product Documents for EMMPRIN/CD147 Antibody (OX-47) - BSA Free

Certificate of Analysis

To download a Certificate of Analysis, please enter a lot number in the search box below.

Product Specific Notices for EMMPRIN/CD147 Antibody (OX-47) - BSA Free

This product is for research use only and is not approved for use in humans or in clinical diagnosis. Primary Antibodies are guaranteed for 1 year from date of receipt.

Loading...
Loading...
Loading...
Loading...
Loading...