Skip to main content

Emerin Antibody - BSA Free

Novus Biologicals, part of Bio-Techne | Catalog # NBP1-87692

Novus Biologicals, part of Bio-Techne
Catalog #
Availability
Size / Price
Qty
Loading...
NBP1-87692
NBP1-87692-25ul

Key Product Details

Validated by

Knockout/Knockdown

Species Reactivity

Validated:

Human, Mouse, Rat, Hamster

Cited:

Human, Hamster

Applications

Validated:

Immunohistochemistry, Immunohistochemistry-Paraffin, Western Blot, Immunocytochemistry/ Immunofluorescence, Knockdown Validated

Cited:

Western Blot

Label

Unconjugated

Antibody Source

Polyclonal Rabbit IgG

Format

BSA Free

Concentration

Concentrations vary lot to lot. See vial label for concentration. If unlisted please contact technical services.

Product Specifications

Immunogen

This antibody was developed against Recombinant Protein corresponding to amino acids: ASSYSFSDLNSTRGDADMYDLPKKEDALLYQSKGYNDDYYEESYFTTRTYGEPESAGPSRAVRQSVTSFPDADAFHHQVHDDDLLSSSEEECKDRERPMYGRDSACQSITHY

Reactivity Notes

Hamster reactivity reported in scientific literature (PMID: 27548707).

Clonality

Polyclonal

Host

Rabbit

Isotype

IgG

Description

Novus Biologicals Rabbit Emerin Antibody - BSA Free (NBP1-87692) is a polyclonal antibody validated for use in IHC, WB and ICC/IF. Anti-Emerin Antibody: Cited in 5 publications. All Novus Biologicals antibodies are covered by our 100% guarantee.

Scientific Data Images for Emerin Antibody - BSA Free

Western Blot: Emerin Antibody [NBP1-87692]

Western Blot: Emerin Antibody [NBP1-87692]

Western Blot: Emerin Antibody [NBP1-87692] - Analysis in RT-4 cells transfected with control siRNA, target specific siRNA probe #1 and #2. Remaining relative intensity is presented. Loading control: Anti-GAPDH.
Immunocytochemistry/ Immunofluorescence: Emerin Antibody [NBP1-87692]

Immunocytochemistry/ Immunofluorescence: Emerin Antibody [NBP1-87692]

Immunocytochemistry/Immunofluorescence: Emerin Antibody [NBP1-87692] - Staining of human cell line U-251 MG shows localization to nuclear membrane & endoplasmic reticulum. Antibody staining is shown in green.
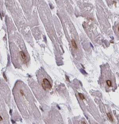
Immunohistochemistry-Paraffin: Emerin Antibody [NBP1-87692]

Immunohistochemistry-Paraffin: Emerin Antibody [NBP1-87692]

Immunohistochemistry-Paraffin: Emerin Antibody [NBP1-87692] - Staining of human skeletal muscle shows moderate nuclear membrane positivity in myocytes.

Applications for Emerin Antibody - BSA Free

Application
Recommended Usage

Immunocytochemistry/ Immunofluorescence

0.25-2 ug/ml

Immunohistochemistry

1:500 - 1:1000

Immunohistochemistry-Paraffin

1:500-1:1000

Western Blot

0.04-0.4 ug/ml
Application Notes
For IHC-Paraffin, HIER pH 6 retrieval is recommended. ICC/IF IFixation Permeabilization: Use PFA/Triton X-100.

Formulation, Preparation, and Storage

Purification

Affinity purified

Formulation

PBS (pH 7.2) and 40% Glycerol

Format

BSA Free

Preservative

0.02% Sodium Azide

Concentration

Concentrations vary lot to lot. See vial label for concentration. If unlisted please contact technical services.

Shipping

The product is shipped with polar packs. Upon receipt, store it immediately at the temperature recommended below.

Stability & Storage

Store at 4C short term. Aliquot and store at -20C long term. Avoid freeze-thaw cycles.

Background: Emerin

Emerin is a serine-rich nuclear membrane protein and a member of the nuclear lamina-associated protein family. It mediates membrane anchorage to the cytoskeleton. Dreifuss-Emery muscular dystrophy is an X-linked inherited degenerative myopathy resulting from mutation in the emerin gene.

Alternate Names

emerin, Emery-Dreifuss muscular dystrophy, LEM domain containing 5, STAEDMDLEMD5

Entrez Gene IDs

2010 (Human)

Gene Symbol

EMD

UniProt

Additional Emerin Products

Product Documents for Emerin Antibody - BSA Free

Certificate of Analysis

To download a Certificate of Analysis, please enter a lot number in the search box below.

Product Specific Notices for Emerin Antibody - BSA Free

This product is for research use only and is not approved for use in humans or in clinical diagnosis. Primary Antibodies are guaranteed for 1 year from date of receipt.

Loading...
Loading...
Loading...
Loading...