Skip to main content

ELSPBP1 Antibody - BSA Free

Novus Biologicals, part of Bio-Techne | Catalog # NBP2-13958

Novus Biologicals, part of Bio-Techne
Catalog #
Availability
Size / Price
Qty
Loading...
NBP2-13958
NBP2-13958-25ul

Key Product Details

Validated by

Orthogonal Validation, Independent Antibodies

Species Reactivity

Human

Applications

Immunohistochemistry, Immunohistochemistry-Paraffin

Label

Unconjugated

Antibody Source

Polyclonal Rabbit IgG

Format

BSA Free

Concentration

Concentrations vary lot to lot. See vial label for concentration. If unlisted please contact technical services.

Product Specifications

Immunogen

This antibody was developed against a recombinant protein corresponding to the amino acids: TTENMDKDGKWSFCADTRISALVPGFPCHFPFNYKNKNYFNCTNKGSKENLVWCATSYNYDQDHTWVYC

Clonality

Polyclonal

Host

Rabbit

Isotype

IgG

Description

Novus Biologicals Rabbit ELSPBP1 Antibody - BSA Free (NBP2-13958) is a polyclonal antibody validated for use in IHC. All Novus Biologicals antibodies are covered by our 100% guarantee.

Scientific Data Images for ELSPBP1 Antibody - BSA Free

Immunohistochemistry-Paraffin: ELSPBP1 Antibody [NBP2-13958]

Immunohistochemistry-Paraffin: ELSPBP1 Antibody [NBP2-13958]

Immunohistochemistry-Paraffin: ELSPBP1 Antibody [NBP2-13958] - Staining of human testis shows moderate cytoplasmic positivity in Leydig cells.
Immunohistochemistry-Paraffin: ELSPBP1 Antibody [NBP2-13958]

Immunohistochemistry-Paraffin: ELSPBP1 Antibody [NBP2-13958]

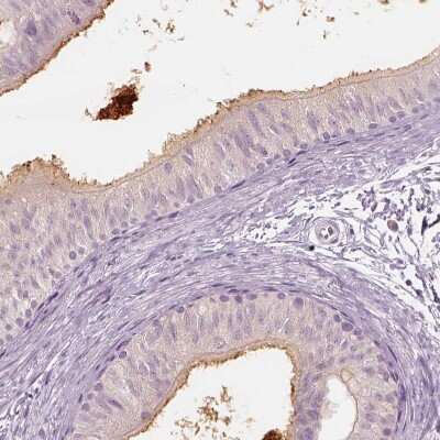
Immunohistochemistry-Paraffin: ELSPBP1 Antibody [NBP2-13958] - Staining of human epididymis shows membranous positivity in glandular cells.
Immunohistochemistry-Paraffin: ELSPBP1 Antibody [NBP2-13958]

Immunohistochemistry-Paraffin: ELSPBP1 Antibody [NBP2-13958]

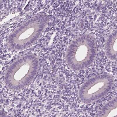
Immunohistochemistry-Paraffin: ELSPBP1 Antibody [NBP2-13958] - Staining of human endometrium shows low expression as expected.

Applications for ELSPBP1 Antibody - BSA Free

Application
Recommended Usage

Immunohistochemistry

1:200 - 1:500

Immunohistochemistry-Paraffin

1:20-1:50
Application Notes
For IHC-Paraffin, HIER pH 6 retrieval is recommended.

Formulation, Preparation, and Storage

Purification

Immunogen affinity purified

Formulation

PBS (pH 7.2) and 40% Glycerol

Format

BSA Free

Preservative

0.02% Sodium Azide

Concentration

Concentrations vary lot to lot. See vial label for concentration. If unlisted please contact technical services.

Shipping

The product is shipped with polar packs. Upon receipt, store it immediately at the temperature recommended below.

Stability & Storage

Store at 4C short term. Aliquot and store at -20C long term. Avoid freeze-thaw cycles.

Background: ELSPBP1

The protein encoded by the ELSPBP1 gene belongs to the sperm-coating protein family of epididymal origin. This protein and itscanine homolog are the first known examples of proteins with four tandemly arranged fibronectin type 2 (Fn2) domainsin the Fn2-module protein family. (provided by RefSeq)

Alternate Names

E12epididymal protein 12, EDDM12, Epididymal secretory protein 12, epididymal sperm binding protein 1, epididymal sperm-binding protein 1, HE12

Gene Symbol

ELSPBP1

Additional ELSPBP1 Products

Product Documents for ELSPBP1 Antibody - BSA Free

Certificate of Analysis

To download a Certificate of Analysis, please enter a lot number in the search box below.

Product Specific Notices for ELSPBP1 Antibody - BSA Free

This product is for research use only and is not approved for use in humans or in clinical diagnosis. Primary Antibodies are guaranteed for 1 year from date of receipt.

Loading...
Loading...
Loading...
Loading...