Skip to main content

ELOVL6 Antibody - BSA Free

Novus Biologicals, part of Bio-Techne | Catalog # NBP2-81714

Novus Biologicals, part of Bio-Techne

Key Product Details

Species Reactivity

Validated:

Human, Mouse, Rat

Predicted:

Chicken (93%). Backed by our 100% Guarantee.

Applications

Immunohistochemistry, Immunohistochemistry-Paraffin, Western Blot, ELISA, Immunocytochemistry/ Immunofluorescence

Label

Unconjugated

Antibody Source

Polyclonal Rabbit IgG

Format

BSA Free

Concentration

1 mg/ml

Product Specifications

Immunogen

ELOVL6 antibody was raised against a 15 amino acid synthetic peptide near the amino terminus of the human ELOVL6. The immunogen is located within the first 50 amino acids of ELOVL6. Amino Acid Squence: ENEAIQWMQENWKKS

Clonality

Polyclonal

Host

Rabbit

Isotype

IgG

Theoretical MW

28 kDa.
Disclaimer note: The observed molecular weight of the protein may vary from the listed predicted molecular weight due to post translational modifications, post translation cleavages, relative charges, and other experimental factors.

Description

Novus Biologicals Rabbit ELOVL6 Antibody - BSA Free (NBP2-81714) is a polyclonal antibody validated for use in IHC, WB, ELISA and ICC/IF. Anti-ELOVL6 Antibody: Cited in 1 publication. All Novus Biologicals antibodies are covered by our 100% guarantee.

Scientific Data Images for ELOVL6 Antibody - BSA Free

Western Blot: ELOVL6 AntibodyBSA Free [NBP2-81714]

Western Blot: ELOVL6 AntibodyBSA Free [NBP2-81714]

Western Blot: ELOVL6 Antibody [NBP2-81714] - Analysis of ELOVL6 in Human brain tissue lysate with ELOVL6 antibody at (A) 1 and (B) 2 ug/mL.
ELOVL6 Antibody - BSA Free

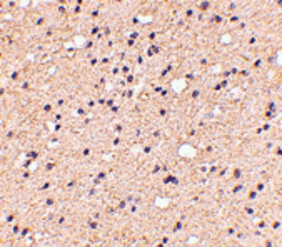
Immunohistochemistry: ELOVL6 Antibody - BSA Free [NBP2-81714] -

Immunohistochemistry: ELOVL6 Antibody - BSA Free [NBP2-81714] - Immunohistochemistry of ELOVL6 in human brain tissue with ELOVL6 antibody at 5 u/mL.
ELOVL6 Antibody - BSA Free

Immunocytochemistry/ Immunofluorescence: ELOVL6 Antibody - BSA Free [NBP2-81714] -

Immunocytochemistry/ Immunofluorescence: ELOVL6 Antibody - BSA Free [NBP2-81714] - Immunofluorescence of ELOVL6 in Human Brain tissue with ELOVL6 antibody at 20 ug/mL.

Applications for ELOVL6 Antibody - BSA Free

Application
Recommended Usage

Immunocytochemistry/ Immunofluorescence

20 ug/ml

Immunohistochemistry

5 ug/ml

Immunohistochemistry-Paraffin

5 ug/ml

Western Blot

1-2 ug/ml

Formulation, Preparation, and Storage

Purification

Peptide affinity purified

Formulation

PBS

Format

BSA Free

Preservative

0.02% Sodium Azide

Concentration

1 mg/ml

Shipping

The product is shipped with polar packs. Upon receipt, store it immediately at the temperature recommended below.

Stability & Storage

Store at 4C short term. Aliquot and store at -20C long term. Avoid freeze-thaw cycles.

Background: ELOVL6

Alternate Names

elongation of long chain fatty acids (FEN1/Elo2, SUR4/Elo3-like, yeast), ELOVL fatty acid elongase 6,3-keto acyl-CoA synthase ELOVL6, FAE, fatty acid elongase 2, long-chain fatty-acyl elongase

Gene Symbol

ELOVL6

Additional ELOVL6 Products

Product Documents for ELOVL6 Antibody - BSA Free

Certificate of Analysis

To download a Certificate of Analysis, please enter a lot number in the search box below.

Product Specific Notices for ELOVL6 Antibody - BSA Free

This product is for research use only and is not approved for use in humans or in clinical diagnosis. Primary Antibodies are guaranteed for 1 year from date of receipt.

Loading...
Loading...
Loading...
Loading...