Skip to main content

Elk-1 [p Ser389] Antibody - BSA Free

Novus Biologicals, part of Bio-Techne | Catalog # NBP2-54759

Novus Biologicals, part of Bio-Techne

Key Product Details

Validated by

Biological Validation

Species Reactivity

Human

Applications

Immunohistochemistry, Immunohistochemistry-Paraffin, Western Blot

Label

Unconjugated

Antibody Source

Polyclonal Rabbit IgG

Format

BSA Free

Concentration

1 mg/ml

Product Specifications

Immunogen

Elk1 (Phospho-Ser389) antibody was raised against a peptide sequence around phosphorylation site of serine 389 (P-R-S (p) -P-A) derived from Human Elk-1.

Modification

p Ser389

Specificity

This antibody detects endogenous level of Elk-1 only when phosphorylated at serine 389.

Clonality

Polyclonal

Host

Rabbit

Isotype

IgG

Theoretical MW

62 kDa.
Disclaimer note: The observed molecular weight of the protein may vary from the listed predicted molecular weight due to post translational modifications, post translation cleavages, relative charges, and other experimental factors.

Description

Novus Biologicals Rabbit Elk-1 [p Ser389] Antibody - BSA Free (NBP2-54759) is a polyclonal antibody validated for use in IHC and WB. All Novus Biologicals antibodies are covered by our 100% guarantee.

Scientific Data Images for Elk-1 [p Ser389] Antibody - BSA Free

Western Blot: Elk1 [p Ser389] Antibody [NBP2-54759] - Western blot analysis of lysed extracts from HT29 cells untreated or treated with Anisomycin using Elk1 [p-Ser389]
Elk-1 [p Ser389] Antibody - BSA Free

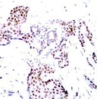
Immunohistochemistry: Elk-1 [p Ser389] Antibody - BSA Free [NBP2-54759] -

Immunohistochemistry: Elk-1 [p Ser389] Antibody - BSA Free [NBP2-54759] - Immunohistochemical analysis of paraffin-embedded human breast carcinoma tissue using Elk-1 (Phospho-Ser389).

Applications for Elk-1 [p Ser389] Antibody - BSA Free

Application
Recommended Usage

Immunohistochemistry

1:50-1:100

Immunohistochemistry-Paraffin

1:10-1:500

Western Blot

1:500-1:1000

Formulation, Preparation, and Storage

Purification

Epitope affinity purified

Formulation

PBS (pH 7.4) (without Mg2+ and Ca2+), 150mM NaCl, 50% Glycerol

Format

BSA Free

Preservative

0.02% Sodium Azide

Concentration

1 mg/ml

Shipping

The product is shipped with polar packs. Upon receipt, store it immediately at the temperature recommended below.

Stability & Storage

Store at -20 °C.

Background: Elk-1

The transcription factor ELK1 is a family of member of ETS oncogene family and of the ternary complex factor (TCF) subfamily,which is located on chromosome Xp11.2 and stimulates transcription. binds to purine-rich DNA sequences. Proteins of the TCF subfamily form a ternary complex by binding to the the serum response factor and the serum reponse element in the promoter of the c-fos proto-oncogene. The protein encoded by this gene is a nuclear target for the ras-raf-MAPK signaling cascade. Elk1 is phosphorylated by MAP kinase pathways at a cluster of S/T motifs at its C terminus,It appears to be a direct target of activated MAP kinase. Biochemical studies indicate that Elk1 is a good substrate for MAP kinase, the kinetics of Elk1phosphorylation and activation correlate with MAP kinase activity, and interfering mutants of MAP kinase block Elk1 activation in vivo. More recent studies have shown that Elk1 is also a target of the Stress Activated Kinase SAPK/JNK. Phosphorylation of Elk1 has also been implicated in synaptic plasticity in the adult hippocampus.

Alternate Names

Elk1

Gene Symbol

ELK1

Additional Elk-1 Products

Product Documents for Elk-1 [p Ser389] Antibody - BSA Free

Certificate of Analysis

To download a Certificate of Analysis, please enter a lot number in the search box below.

Product Specific Notices for Elk-1 [p Ser389] Antibody - BSA Free

This product is for research use only and is not approved for use in humans or in clinical diagnosis. Primary Antibodies are guaranteed for 1 year from date of receipt.

Loading...
Loading...
Loading...
Loading...