Skip to main content

ELF2 Antibody - BSA Free

Novus Biologicals, part of Bio-Techne | Catalog # NBP2-49646

Novus Biologicals, part of Bio-Techne
Catalog #
Availability
Size / Price
Qty
Loading...
NBP2-49646
NBP2-49646-25ul

Key Product Details

Validated by

Independent Antibodies

Species Reactivity

Validated:

Human

Predicted:

Mouse (91%), Rat (95%). Backed by our 100% Guarantee.

Applications

Immunocytochemistry/ Immunofluorescence, Immunohistochemistry, Immunohistochemistry-Paraffin, Western Blot

Label

Unconjugated

Antibody Source

Polyclonal Rabbit IgG

Format

BSA Free

Concentration

Concentrations vary lot to lot. See vial label for concentration. If unlisted please contact technical services.

Product Specifications

Immunogen

This antibody was developed against a recombinant protein corresponding to amino acids: TQQASGQTPPRVISAVIKGPEVKSEAVAKKQEHDVKTLQLVEEKPADGNKTVTHVVVVSAPSAIALPVTMKTEGLVTCEK

Clonality

Polyclonal

Host

Rabbit

Isotype

IgG

Description

Novus Biologicals Rabbit ELF2 Antibody - BSA Free (NBP2-49646) is a polyclonal antibody validated for use in IHC, WB and ICC/IF. All Novus Biologicals antibodies are covered by our 100% guarantee.

Scientific Data Images for ELF2 Antibody - BSA Free

Western Blot: ELF2 Antibody [NBP2-49646]

Western Blot: ELF2 Antibody [NBP2-49646]

Western Blot: ELF2 Antibody [NBP2-49646] - Lane 1: Marker [kDa] 250, 130, 95, 72, 55, 36, 28, 17, 10
Lane 2: Human cell line RT-4
Lane 3: Human cell line U-251 MG
Immunocytochemistry/ Immunofluorescence: ELF2 Antibody [NBP2-49646]

Immunocytochemistry/ Immunofluorescence: ELF2 Antibody [NBP2-49646]

Immunocytochemistry/Immunofluorescence: ELF2 Antibody [NBP2-49646] - Staining of human cell line RT4 shows localization to nucleoplasm.
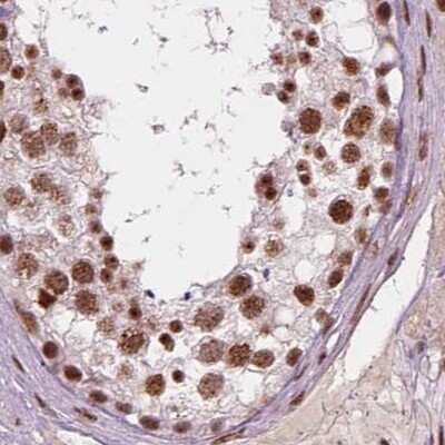
Immunohistochemistry-Paraffin: ELF2 Antibody [NBP2-49646]

Immunohistochemistry-Paraffin: ELF2 Antibody [NBP2-49646]

Immunohistochemistry-Paraffin: ELF2 Antibody [NBP2-49646] - Staining of human testis.

Applications for ELF2 Antibody - BSA Free

Application
Recommended Usage

Immunocytochemistry/ Immunofluorescence

0.25-2 ug/ml

Immunohistochemistry

1:200 - 1:500

Immunohistochemistry-Paraffin

1:200 - 1:500

Western Blot

0.04-0.4 ug/ml
Application Notes
For IHC-Paraffin, HIER pH 6 retrieval is recommended. Immunocytochemistry/Immunofluorescence Fixation Permeabilization: Use PFA/Triton X-100.

Formulation, Preparation, and Storage

Purification

Immunogen affinity purified

Formulation

PBS (pH 7.2) and 40% Glycerol

Format

BSA Free

Preservative

0.02% Sodium Azide

Concentration

Concentrations vary lot to lot. See vial label for concentration. If unlisted please contact technical services.

Shipping

The product is shipped with polar packs. Upon receipt, store it immediately at the temperature recommended below.

Stability & Storage

Store at 4C short term. Aliquot and store at -20C long term. Avoid freeze-thaw cycles.

Background: ELF2

soform 1 transcriptionally activates the LYN and BLK promoters and acts synergistically with RUNX1 to transactivate the BLK promoter .Isoform 2 may function in repression of RUNX1-mediated transactivation

Alternate Names

b, E74-like factor 2, E74-like factor 2 (ets domain transcription factor), ets family transcription factor ELF2C, ETS-related transcription factor Elf-2, NERF-1a, NERF-1B, NERF-2, NERFEU32, New ETS-related factor

Gene Symbol

ELF2

Additional ELF2 Products

Product Documents for ELF2 Antibody - BSA Free

Certificate of Analysis

To download a Certificate of Analysis, please enter a lot number in the search box below.

Product Specific Notices for ELF2 Antibody - BSA Free

This product is for research use only and is not approved for use in humans or in clinical diagnosis. Primary Antibodies are guaranteed for 1 year from date of receipt.

Loading...
Loading...
Loading...
Loading...