Skip to main content

ELAVL4 Antibody - BSA Free

Novus Biologicals, part of Bio-Techne | Catalog # NBP3-35160

Novus Biologicals, part of Bio-Techne
Catalog #
Availability
Size / Price
Qty
Loading...
NBP3-35160-100ul
NBP3-35160-20ul

Key Product Details

Species Reactivity

Mouse, Rat

Applications

ELISA, Immunocytochemistry/ Immunofluorescence, Immunohistochemistry, Immunohistochemistry-Paraffin, Western Blot

Label

Unconjugated

Antibody Source

Polyclonal Rabbit IgG

Format

BSA Free

Concentration

Please see the vial label for concentration. If unlisted please contact technical services.

Product Specifications

Immunogen

A synthetic peptide corresponding to a sequence within amino acids 1-100 of human ELAVL4 (NP_068771.2).

Sequence:
MVMIISTMEPQVSNGPTSNTSNGPSSNNRNCPSPMQTGATTDDSKTNLIVNYLPQNMTQEEFRSLFGSIGEIESCKLVRDKITGQSLGYGFVNYIDPKDA

Clonality

Polyclonal

Host

Rabbit

Isotype

IgG

Theoretical MW

42 kDa.
Disclaimer note: The observed molecular weight of the protein may vary from the listed predicted molecular weight due to post translational modifications, post translation cleavages, relative charges, and other experimental factors.

Description

Novus Biologicals Rabbit ELAVL4 Antibody - BSA Free (NBP3-35160) is a polyclonal antibody validated for use in IHC, WB, ELISA and ICC/IF. All Novus Biologicals antibodies are covered by our 100% guarantee.

Scientific Data Images for ELAVL4 Antibody - BSA Free

ELAVL4 Antibody

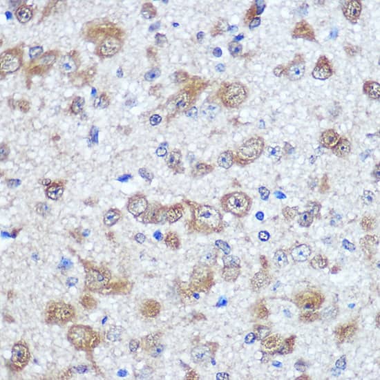
Immunohistochemistry: ELAVL4 Antibody [NBP3-35160] -

Immunohistochemistry: ELAVL4 Antibody [NBP3-35160] - Immunohistochemistry analysis of paraffin-embedded Rat brain using ELAVL4 Rabbit pAb at dilution of 1:100 (40x lens). Microwave antigen retrieval performed with 0.01M PBS Buffer (pH 7.2) prior to IHC staining.
ELAVL4 Antibody

Immunocytochemistry/ Immunofluorescence: ELAVL4 Antibody [NBP3-35160] -

Immunocytochemistry/ Immunofluorescence: ELAVL4 Antibody [NBP3-35160] - Immunofluorescence analysis of paraffin-embedded Rat brain using ELAVL4 Rabbit pAb at dilution of 1:100. Secondary antibody: Cy3-conjugated Goat anti-Rabbit IgG (H+L) at 1:500 dilution. Blue: DAPI for nuclear staining.
ELAVL4 Antibody

Western Blot: ELAVL4 Antibody [NBP3-35160] -

Western Blot: ELAVL4 Antibody [NBP3-35160] - Western blot analysis of various lysates using ELAVL4 Rabbit pAb at 1:1000 dilution.
Secondary antibody: HRP-conjugated Goat anti-Rabbit IgG (H+L) at 1:10000 dilution.
Lysates/proteins: 25ug per lane.
Blocking buffer: 3% nonfat dry milk in TBST.
Detection: ECL Basic Kit.
Exposure time: 90s.

Applications for ELAVL4 Antibody - BSA Free

Application
Recommended Usage

Immunocytochemistry/ Immunofluorescence

1:50 - 1:200

Immunohistochemistry-Paraffin

1:50 - 1:200

Western Blot

1:500 - 1:2000

Formulation, Preparation, and Storage

Purification

Affinity purified

Formulation

PBS (pH 7.3), 50% glycerol

Format

BSA Free

Preservative

0.09% Sodium Azide

Concentration

Please see the vial label for concentration. If unlisted please contact technical services.

Shipping

The product is shipped with polar packs. Upon receipt, store it immediately at the temperature recommended below.

Stability & Storage

Store at -20C. Avoid freeze-thaw cycles.

Background: ELAVL4

ELAVL4 may play a role in neuron-specific RNA processing. Protects CDKN1A mRNA from decay by binding to its 3'-UTR. Binds to AU-rich sequences (AREs) of target mRNAs, includingVEGF and FOS mRNA

Alternate Names

abnormal vision, Drosophila, homolog of, like-4, ELAV (embryonic lethal, abnormal vision, Drosophila)-like 4 (Hu antigen D), HuD, Paraneoplastic encephalomyelitis antigen HuD

Gene Symbol

ELAVL4

Additional ELAVL4 Products

Product Documents for ELAVL4 Antibody - BSA Free

Certificate of Analysis

To download a Certificate of Analysis, please enter a lot number in the search box below.

Product Specific Notices for ELAVL4 Antibody - BSA Free

This product is for research use only and is not approved for use in humans or in clinical diagnosis. Primary Antibodies are guaranteed for 1 year from date of receipt.

Loading...
Loading...
Loading...
Loading...