Skip to main content

ELA3A Antibody (CELA3A/12552) - Azide and BSA Free

Novus Biologicals, part of Bio-Techne | Catalog # NBP3-45066

Novus Biologicals, part of Bio-Techne
Catalog #
Availability
Size / Price
Qty
Loading...
NBP3-45066

Key Product Details

Species Reactivity

Human

Applications

Immunohistochemistry, Western Blot

Label

Unconjugated

Antibody Source

Monoclonal Mouse IgG1 kappa Clone # CELA3A/12552

Format

Azide and BSA Free

Concentration

1 mg/ml

Product Specifications

Immunogen

Recombinant fragment (around aa50-250) of human ELA3A protein (Uniprot: P09093). Exact sequence is proprietary.

Localization

Cytoplasm, Extracellular space

Clonality

Monoclonal

Host

Mouse

Isotype

IgG1 kappa

Theoretical MW

29 kDa.
Disclaimer note: The observed molecular weight of the protein may vary from the listed predicted molecular weight due to post translational modifications, post translation cleavages, relative charges, and other experimental factors.

Description

1.0 mg/ml of antibody purified from Bioreactor Concentrate by Protein A/G. Prepared in 10mM PBS WITHOUT BSA & azide. Also available at 200 ug/ml WITH BSA & azide (NBP3-44582).

Antibody with azide - store at 2 to 8C. Antibody without azide - store at -20 to -80C. Non-hazardous. No MSDS required.

Scientific Data Images for ELA3A Antibody (CELA3A/12552) - Azide and BSA Free

ELA3A Antibody (CELA3A/12552) - Azide and BSA Free

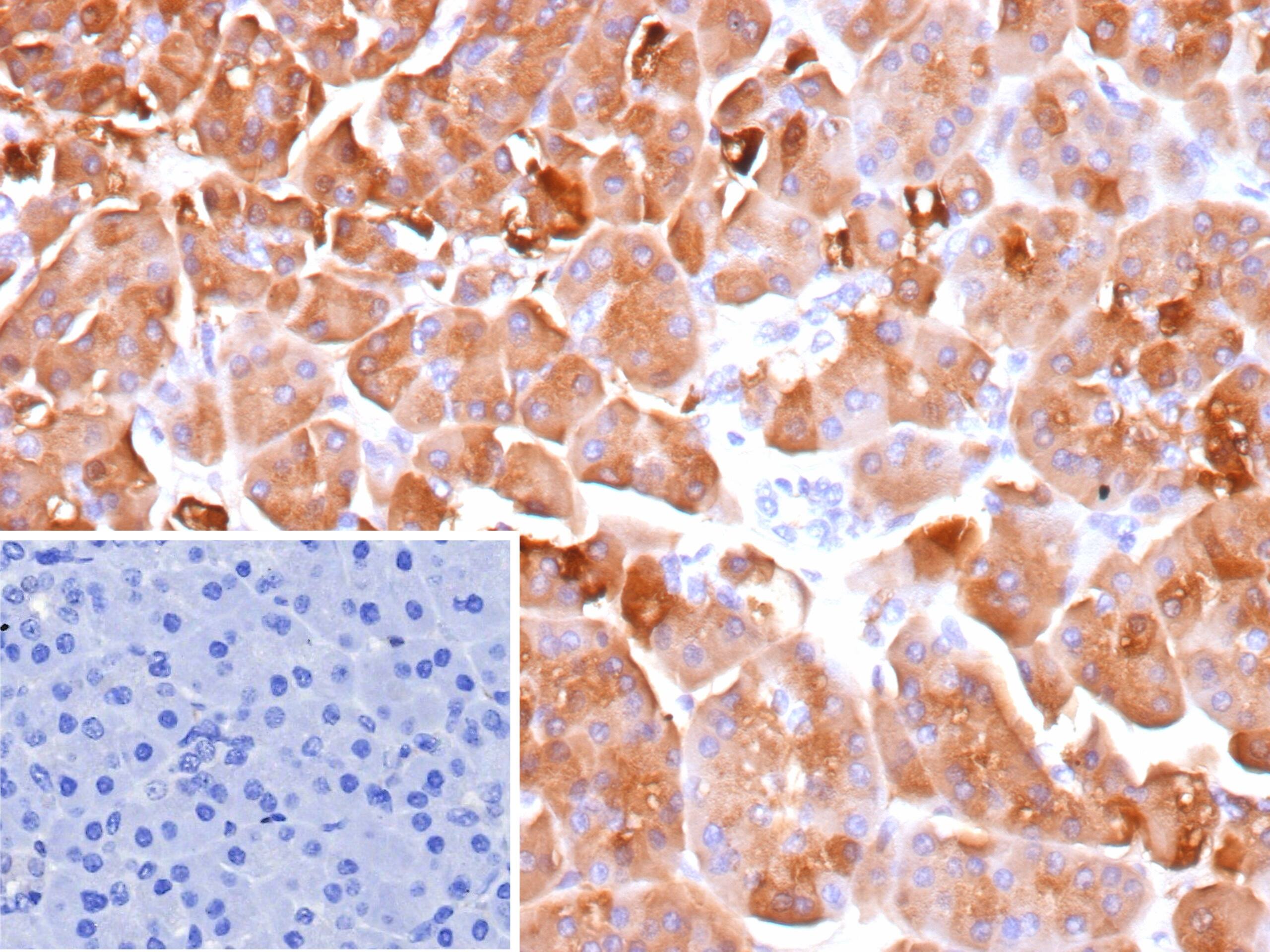
Immunohistochemistry-Paraffin: ELA3A Antibody (CELA3A/12552) - Azide and BSA Free [NBP3-45066] -

Formalin-fixed, paraffin-embedded human pancreas stained with ELA3A Antibody (CELA3A/12552) - Azide and BSA Free. Inset: PBS instead of primary antibody; secondary only negative control.
ELA3A Antibody (CELA3A/12552) - Azide and BSA Free

Western Blot: ELA3A Antibody (CELA3A/12552) - Azide and BSA Free [NBP3-45066] -

Western Blot Analysis of human pancreas lysate using ELA3A Antibody (CELA3A/12552) - Azide and BSA Free.

Applications for ELA3A Antibody (CELA3A/12552) - Azide and BSA Free

Application
Recommended Usage

Immunohistochemistry

: 1-2ug/ml

Western Blot

: 2-4ug/ml
Application Notes
Immunohistochemistry: 30 min at RT. Staining of formalin-fixed tissues requires heating tissue sections in 10mM Tris with 1mM EDTA, pH 9.0, for 45 min at 95C followed by cooling at RT for 20 minutes.

Formulation, Preparation, and Storage

Purification

Protein G purified

Formulation

10 mM PBS

Format

Azide and BSA Free

Preservative

No Preservative

Concentration

1 mg/ml

Shipping

The product is shipped with polar packs. Upon receipt, store it immediately at the temperature recommended below.

Stability & Storage

Store at -20 to -80C. Avoid freeze-thaw cycles.

Background: ELA3A

Elastases form a subfamily of serine proteases that hydrolyze many proteins in addition to elastin. Humans have six elastase genes which encode the structurally similar proteins elastase 1, 2, 2A, 2B, 3A, and 3B. Unlike other elastases, elastase 3A has little elastolytic activity. Like most of the human elastases, elastase 3A is secreted from the pancreas as a zymogen and, like other serine proteases such as trypsin, chymotrypsin and kallikrein, it has a digestive function in the intestine. Elastase 3A preferentially cleaves proteins after alanine residues. Elastase 3A may also function in the intestinal transport and metabolism of cholesterol. Both elastase 3A and elastase 3B have been referred to as protease E and as elastase 1.

Alternate Names

chymotrypsin-like elastase family member 3A, chymotrypsin-like elastase family, member 3A, EC 3.4.21, EC 3.4.21.70, ELA3A, ELA3elastase 1, elastase 3A, pancreatic, elastase 3A, pancreatic (protease E), Elastase IIIA, elastase-3A, Protease E

Gene Symbol

CELA3A

Additional ELA3A Products

Product Documents for ELA3A Antibody (CELA3A/12552) - Azide and BSA Free

Certificate of Analysis

To download a Certificate of Analysis, please enter a lot number in the search box below.

Product Specific Notices for ELA3A Antibody (CELA3A/12552) - Azide and BSA Free

This product is for research use only and is not approved for use in humans or in clinical diagnosis. Primary Antibodies are guaranteed for 1 year from date of receipt.

Loading...
Loading...
Loading...
Loading...