Skip to main content

eIF5A Antibody

Novus Biologicals, part of Bio-Techne | Catalog # NBP1-51982

Novus Biologicals, part of Bio-Techne
Catalog #
Availability
Size / Price
Qty
Loading...
NBP1-51982

Key Product Details

Species Reactivity

Human

Applications

Immunohistochemistry, Immunohistochemistry-Paraffin, Western Blot, Peptide ELISA

Label

Unconjugated

Antibody Source

Polyclonal Goat IgG

Concentration

0.5 mg/ml

Product Specifications

Immunogen

Peptide with sequence C-RPPHRASFLKRLESK corresponding to internal region (near N-Terminus) according to NP_001137232.1.

Epitope

C-RPPHRASFLKRLESK

Specificity

Reported variants NP_001137233.1, NP_001961.1 and NP_001137234.1 represent identical protein:

Clonality

Polyclonal

Host

Goat

Isotype

IgG

Description

Novus Biologicals Goat eIF5A Antibody (NBP1-51982) is a polyclonal antibody validated for use in IHC, WB and ELISA. Anti-eIF5A Antibody: Cited in 2 publications. All Novus Biologicals antibodies are covered by our 100% guarantee.

Scientific Data Images for eIF5A Antibody

Western Blot: eIF5A Antibody [NBP1-51982]

Western Blot: eIF5A Antibody [NBP1-51982]

Western Blot: eIF5A Antibody [NBP1-51982] - Analysis of eIF5A in MOLT4 lysate (35 ug protein in RIPA buffer) using NBP1-51982 at 0.1 ug/mL. Primary incubation was 1 hour. Detected by chemiluminescence. Approx. 20 kDa band observed in MOLT4 lysates (calculated MW of 20.2 kDa band according to NP_001137232.1).
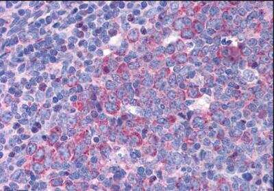
Immunohistochemistry-Paraffin: eIF5A Antibody [NBP1-51982]

Immunohistochemistry-Paraffin: eIF5A Antibody [NBP1-51982]

Immunohistochemistry-Paraffin: eIF5A Antibody [NBP1-51982] - Staining of paraffin embedded Human Spleen. Antibody at 3.75 ug/mL. Steamed antigen retrieval with citrate buffer pH 6, AP-staining.
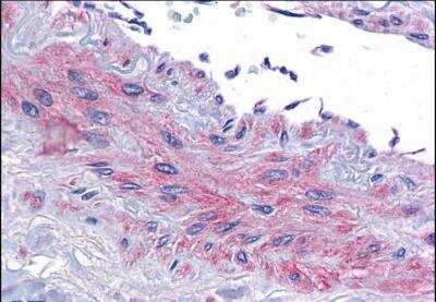
Immunohistochemistry-Paraffin: eIF5A Antibody [NBP1-51982]

Immunohistochemistry-Paraffin: eIF5A Antibody [NBP1-51982]

Immunohistochemistry-Paraffin: eIF5A Antibody [NBP1-51982] - Staining of paraffin embedded Human Vessel. Antibody at 3.75 ug/mL. Steamed antigen retrieval with citrate buffer pH 6, AP-staining.

Applications for eIF5A Antibody

Application
Recommended Usage

Immunohistochemistry

3.75 ug/mL

Immunohistochemistry-Paraffin

3.75 ug/mL

Peptide ELISA

Detection limit 1:128000

Western Blot

1 - 3 ug/mL

Formulation, Preparation, and Storage

Purification

Immunogen affinity purified

Formulation

Tris saline (20 mM Tris pH 7.3, 150 mM NaCl), 0.5% BSA

Preservative

0.02% Sodium Azide

Concentration

0.5 mg/ml

Shipping

The product is shipped with polar packs. Upon receipt, store it immediately at the temperature recommended below.

Stability & Storage

Store at -20C. Avoid freeze-thaw cycles.

Background: eIF5A

EIF5A, previously known as EIF4D and IF-M2Ba, is a highly conserved 17-kDa protein that was originally characterized as a translation initiation factor, promoting the formation of the first peptide bond in mRNA translation in vitro. This is best positioned as a factor that controls the balance between cellular proliferation and death, depending upon the nature of cellular stress. Moreover, mutational analysis using human EIF5A to complement an EIF5A null strain of S. cerevisiae supports a role for EIF5A in protein synthesis. The activity of EIF5A is modulated by the covalent addition of the spermidine derivative hypusine to lysine residue 50.

Long Name

Eukaryotic Translation Initiation Factor 5A

Alternate Names

eIF4D, Rev-binding Factor

Entrez Gene IDs

1984 (Human)

Gene Symbol

EIF5A

Additional eIF5A Products

Product Documents for eIF5A Antibody

Certificate of Analysis

To download a Certificate of Analysis, please enter a lot number in the search box below.

Product Specific Notices for eIF5A Antibody

This product is for research use only and is not approved for use in humans or in clinical diagnosis. Primary Antibodies are guaranteed for 1 year from date of receipt.

Loading...
Loading...
Loading...
Loading...