eIF4G1 [p Ser1231] Antibody - BSA Free
Novus Biologicals, part of Bio-Techne | Catalog # NBP1-04965
Key Product Details
Validated by
Biological Validation
Species Reactivity
Validated:
Human
Cited:
Human
Applications
Validated:
Immunohistochemistry, Immunohistochemistry-Paraffin, Western Blot
Cited:
Western Blot
Label
Unconjugated
Antibody Source
Polyclonal Rabbit IgG
Format
BSA Free
Concentration
1.0 mg/ml
Product Specifications
Immunogen
The antiserum was produced against synthesized phosphopeptide derived from human eIF4G1 [p Ser1231] around the phosphorylation site of serine 1231 (P-V-Sp-P-L).
Modification
p Ser1231
Specificity
Detects endogenous levels of eIF4G1 only when phosphorylated at serine 1231.
Clonality
Polyclonal
Host
Rabbit
Isotype
IgG
Theoretical MW
220 kDa.
Disclaimer note: The observed molecular weight of the protein may vary from the listed predicted molecular weight due to post translational modifications, post translation cleavages, relative charges, and other experimental factors.
Disclaimer note: The observed molecular weight of the protein may vary from the listed predicted molecular weight due to post translational modifications, post translation cleavages, relative charges, and other experimental factors.
Scientific Data Images for eIF4G1 [p Ser1231] Antibody - BSA Free
Western Blot: eIF4G1 [p Ser1231] Antibody [NBP1-04965]
Western Blot: eIF4G1 [p Ser1231] Antibody [NBP1-04965] - Kinetics of eIF4G1 (s1232) phosphorylation in response to PKC/Ras/Erk activation by Sapintoxin D. Photo courtesy of a product review by the Gromeier Lab at Duke University.Immunohistochemistry-Paraffin: eIF4G1 [p Ser1231] Antibody [NBP1-04965] -
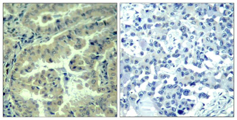
Immunohistochemistry-Paraffin: eIF4G1 [p Ser1231] Antibody [NBP1-04965] - Immunohistochemical analysis of paraffin-embedded human lung carcinoma tissue using NBP1-04965 incubated with blocking peptide(right).Applications for eIF4G1 [p Ser1231] Antibody - BSA Free
Application
Recommended Usage
Immunohistochemistry
1:50-1:100
Immunohistochemistry-Paraffin
1:50-1:100
Western Blot
1:500-1:1000
Reviewed Applications
Read 1 review rated 5 using NBP1-04965 in the following applications:
Formulation, Preparation, and Storage
Purification
Immunogen affinity purified
Formulation
PBS (without Mg2+ and Ca2+), pH 7.4, 150 mM NaCl, 50% glycerol
Format
BSA Free
Preservative
0.02% Sodium Azide
Concentration
1.0 mg/ml
Shipping
The product is shipped with polar packs. Upon receipt, store it immediately at the temperature recommended below.
Stability & Storage
Store at 4C short term. Aliquot and store at -20C long term. Avoid freeze-thaw cycles.
Background: eIF4G1
Long Name
Eukaryotic Translation Initiation Factor 4 gamma 1
Alternate Names
DKFZp686A1451, EIF4F, eIF-4G 1, eIF-4G1, EIF4-gamma, eIF-4-gamma 1, EIF4GI, EIF4Gp220, eucaryotic translation initiation factor 4G, eukaryotic translation initiation factor 4 gamma 1, eukaryotic translation initiation factor 4 gamma, 1, P220
Entrez Gene IDs
1981 (Human)
Gene Symbol
EIF4G1
UniProt
Additional eIF4G1 Products
Product Documents for eIF4G1 [p Ser1231] Antibody - BSA Free
Product Specific Notices for eIF4G1 [p Ser1231] Antibody - BSA Free
This product is for research use only and is not approved for use in humans or in clinical diagnosis. Primary Antibodies are guaranteed for 1 year from date of receipt.
Loading...
Loading...
Loading...
Loading...