Skip to main content

eIF4ENIF1 Antibody

Novus Biologicals, part of Bio-Techne | Catalog # NB100-1368

Novus Biologicals, part of Bio-Techne
Catalog #
Availability
Size / Price
Qty
Loading...
NB100-1368

Key Product Details

Species Reactivity

Validated:

Human

Predicted:

Bovine (100%), Canine (100%), Mouse (100%), Porcine (100%), Rat (100%). Backed by our 100% Guarantee.

Applications

Immunohistochemistry, Immunohistochemistry-Paraffin, Western Blot, Peptide ELISA

Label

Unconjugated

Antibody Source

Polyclonal Goat IgG

Concentration

0.5 mg/ml

Product Specifications

Immunogen

Peptide with sequence C-AKVISVDELEYRQ corresponding to C-Terminus according to NP_062817.2, NP_001157974.1.

Localization

Cytoplasmic

Specificity

This antibody is expected to recognise isoform 1 (NP_062817.2) and isoform b (NP_001157974.1). Reported variants represent identical protein (NP_062817.2; NP_001157973.1).

Clonality

Polyclonal

Host

Goat

Isotype

IgG

Description

Novus Biologicals Goat eIF4ENIF1 Antibody (NB100-1368) is a polyclonal antibody validated for use in IHC, WB and ELISA. Anti-eIF4ENIF1 Antibody: Cited in 1 publication. All Novus Biologicals antibodies are covered by our 100% guarantee.

Scientific Data Images for eIF4ENIF1 Antibody

Western Blot: eIF4ENIF1 Antibody [NB100-1368]

Western Blot: eIF4ENIF1 Antibody [NB100-1368]

Western Blot: eIF4ENIF1 Antibody [NB100-1368] - Analysis of eIF4ENIF1 (0.25ug/ml) of 293 lysate (RIPA buffer, 35ug total protein per lane). Primary incubated for 1 hour. Detected by western blot using chemiluminescence.
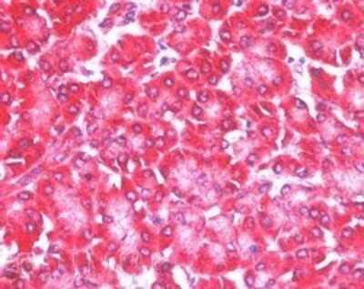
Immunohistochemistry: eIF4ENIF1 Antibody [NB100-1368]

Immunohistochemistry: eIF4ENIF1 Antibody [NB100-1368]

Immunohistochemistry: eIF4ENIF1 Antibody [NB100-1368] - IHC analysis of eIF4ENIF1 in paraffin embedded Human Pancreas using this antibody at 5ug/ml. Steamed antigen retrieval with citrate buffer pH 6, AP-staining.

Applications for eIF4ENIF1 Antibody

Application
Recommended Usage

Immunohistochemistry

5 - 10 ug/ml

Immunohistochemistry-Paraffin

5 - 10 ug/ml

Peptide ELISA

Detection limit 1:32000

Western Blot

0.25 - 0.5 ug/ml
Application Notes
WB: Approx. 140-150 kDa band observed in 293 lysates (predicted MW of approx. 108 kDa band according to NP_062817.1) and is in agreement with scientific literature (Dostie et al). IHC-P: Human pancreas shows strong staining of cytoplasm in acinar cells-.

Formulation, Preparation, and Storage

Purification

Immunogen affinity purified

Formulation

Tris saline (20 mM Tris pH 7.3, 150 mM NaCl), 0.5% BSA

Preservative

0.02% Sodium Azide

Concentration

0.5 mg/ml

Shipping

The product is shipped with polar packs. Upon receipt, store it immediately at the temperature recommended below.

Stability & Storage

Store at -20C. Avoid freeze-thaw cycles.

Background: eIF4ENIF1

The protein encoded by this gene is a nucleocytoplasmic shuttle protein for the translation initiation factor eIF4E. This shuttle protein interacts with the importin alpha-beta complex to mediate nuclear import of eIF4E. It is predominantly cytoplasmic;its own nuclear import is regulated by a nuclear localization signal and nuclear export signals.

Alternate Names

4E-TFLJ26551,2610509L04Rik, Clast4, eIF4E-transporter, eukaryotic translation initiation factor 4E nuclear import factor 1eIF4E transporter, eukaryotic translation initiation factor 4E transporter, FLJ21601

Entrez Gene IDs

56478 (Human); 74203 (Mouse)

Gene Symbol

EIF4ENIF1

Additional eIF4ENIF1 Products

Product Documents for eIF4ENIF1 Antibody

Certificate of Analysis

To download a Certificate of Analysis, please enter a lot number in the search box below.

Product Specific Notices for eIF4ENIF1 Antibody

This product is for research use only and is not approved for use in humans or in clinical diagnosis. Primary Antibodies are guaranteed for 1 year from date of receipt.

Loading...
Loading...
Loading...
Loading...