Skip to main content

eIF4EBP2 Antibody - BSA Free

Novus Biologicals, part of Bio-Techne | Catalog # NBP3-48262

Novus Biologicals, part of Bio-Techne
Catalog #
Availability
Size / Price
Qty
Loading...
NBP3-48262

Key Product Details

Species Reactivity

Human, Mouse

Applications

Immunohistochemistry, Western Blot, ELISA

Label

Unconjugated

Antibody Source

Polyclonal Rabbit IgG

Format

BSA Free

Concentration

Please see the vial label for concentration. If unlisted please contact technical services.

Product Specifications

Immunogen

eukaryotic translation initiation factor 4E binding protein 2. (Uniprot# Q13542)

Clonality

Polyclonal

Host

Rabbit

Isotype

IgG

Theoretical MW

20 kDa.
Disclaimer note: The observed molecular weight of the protein may vary from the listed predicted molecular weight due to post translational modifications, post translation cleavages, relative charges, and other experimental factors.

Description

Novus Biologicals Rabbit eIF4EBP2 Antibody - BSA Free (NBP3-48262) is a polyclonal antibody validated for use in IHC, WB and ELISA. All Novus Biologicals antibodies are covered by our 100% guarantee.

Scientific Data Images for eIF4EBP2 Antibody - BSA Free

eIF4EBP2 Antibody - BSA Free

Western Blot: eIF4EBP2 Antibody - BSA Free [NBP3-48262] -

Western Blot: eIF4EBP2 Antibody - BSA Free [NBP3-48262] - Mouse testis tissue were subjected to SDS PAGE followed by western blot with (eIF4EBP2 Antibody) at dilution of 1:300
eIF4EBP2 Antibody - BSA Free

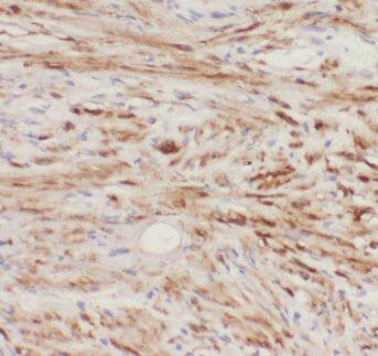
Immunohistochemistry: eIF4EBP2 Antibody - BSA Free [NBP3-48262] -

Immunohistochemistry: eIF4EBP2 Antibody - BSA Free [NBP3-48262] - Immunohistochemistry of paraffin-embedded human prostate cancer using (eIF4EBP2 antibody) at dilution of 1:100

Applications for eIF4EBP2 Antibody - BSA Free

Application
Recommended Usage

Immunohistochemistry

1:20-1:200

Western Blot

1:500-1:2000

Formulation, Preparation, and Storage

Purification

Immunogen affinity purified

Formulation

PBS, 50% Glycerol, pH (7.3)

Format

BSA Free

Preservative

0.02% Sodium Azide

Concentration

Please see the vial label for concentration. If unlisted please contact technical services.

Shipping

The product is shipped with polar packs. Upon receipt, store it immediately at the temperature recommended below.

Stability & Storage

Store at -20C. Avoid freeze-thaw cycles.

Background: eIF4EBP2

EIF4EBP2 regulates eIF4E activity by preventing its assembly into the EIF4F complex. It mediates the regulation of protein translation by hormones, growth factors and other stimuli that signal through the MAP kinase pathway. Nonphosphorylated EIF4EBP2 interacts with EIF4E.

Alternate Names

4EBP2, 4E-BP2, eIF4E-binding protein 2, eukaryotic translation initiation factor 4E binding protein 2, eukaryotic translation initiation factor 4E-binding protein 2, PHASII, phosphorylated, heat and acid stable regulated by insulin protein II

Gene Symbol

EIF4EBP2

Additional eIF4EBP2 Products

Product Documents for eIF4EBP2 Antibody - BSA Free

Certificate of Analysis

To download a Certificate of Analysis, please enter a lot number in the search box below.

Product Specific Notices for eIF4EBP2 Antibody - BSA Free

This product is for research use only and is not approved for use in humans or in clinical diagnosis. Primary Antibodies are guaranteed for 1 year from date of receipt.

Loading...
Loading...
Loading...
Loading...