Skip to main content

EIF4E2 Antibody (OTI1F11) - Azide and BSA Free

Novus Biologicals, part of Bio-Techne | Catalog # NBP2-71468

Novus Biologicals, part of Bio-Techne
Catalog #
Availability
Size / Price
Qty
Loading...
NBP2-71468

Key Product Details

Species Reactivity

Human, Mouse

Applications

Immunohistochemistry, Immunohistochemistry-Paraffin, Western Blot, Flow Cytometry, Immunocytochemistry/ Immunofluorescence, CyTOF-ready

Label

Unconjugated

Antibody Source

Monoclonal Mouse IgG1 Clone # OTI1F11

Format

Azide and BSA Free

Concentration

LYOPH mg/ml

Product Specifications

Immunogen

Full length human recombinant protein of human EIF4E2 (NP_004837) produced in HEK293T cell.

Reactivity Notes

Please note that this antibody is reactive to Mouse and derived from the same host, Mouse. Mouse-On-Mouse blocking reagent may be needed for IHC and ICC experiments to reduce high background signal. You can find these reagents under catalog numbers PK-2200-NB and MP-2400-NB. Please contact Technical Support if you have any questions.

Clonality

Monoclonal

Host

Mouse

Isotype

IgG1

Theoretical MW

28.2 kDa.
Disclaimer note: The observed molecular weight of the protein may vary from the listed predicted molecular weight due to post translational modifications, post translation cleavages, relative charges, and other experimental factors.

Description

Novus Biologicals Mouse EIF4E2 Antibody (OTI1F11) - Azide and BSA Free (NBP2-03611) is a monoclonal antibody validated for use in IHC, WB, Flow and ICC/IF. All Novus Biologicals antibodies are covered by our 100% guarantee.

Scientific Data Images for EIF4E2 Antibody (OTI1F11) - Azide and BSA Free

Immunocytochemistry/ Immunofluorescence: EIF4E2 Antibody (OTI1F11) - Azide and BSA Free [NBP2-71468]

Immunocytochemistry/ Immunofluorescence: EIF4E2 Antibody (OTI1F11) - Azide and BSA Free [NBP2-71468]

Immunocytochemistry/Immunofluorescence: EIF4E2 Antibody (OTI1F11) - Azide and BSA Free [NBP2-71468] - Staining of COS7 cells transiently transfected by pCMV6-ENTRY EIF4E2.
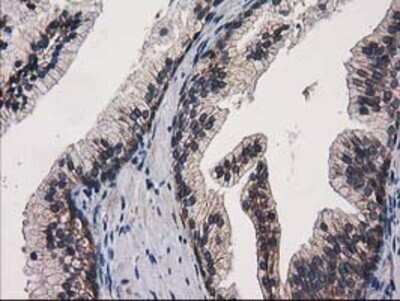
Immunohistochemistry: EIF4E2 Antibody (OTI1F11) - Azide and BSA Free [NBP2-71468]

Immunohistochemistry: EIF4E2 Antibody (OTI1F11) - Azide and BSA Free [NBP2-71468]

Immunohistochemistry: EIF4E2 Antibody (OTI1F11) - Azide and BSA Free [NBP2-71468] - Staining of paraffin-embedded Human thyroid tissue using anti-EIF4E2 mouse monoclonal antibody.
Flow Cytometry: EIF4E2 Antibody (OTI1F11) - Azide and BSA Free [NBP2-71468]

Flow Cytometry: EIF4E2 Antibody (OTI1F11) - Azide and BSA Free [NBP2-71468]

Flow Cytometry: EIF4E2 Antibody (OTI1F11) - Azide and BSA Free [NBP2-71468] - Analysis of Hela cells, using anti-EIF4E2 antibody, (Red), compared to a nonspecific negative control antibody (Blue).

Applications for EIF4E2 Antibody (OTI1F11) - Azide and BSA Free

Application
Recommended Usage

Flow Cytometry

1:100

Immunocytochemistry/ Immunofluorescence

1:100

Immunohistochemistry

1:150

Western Blot

1:1000-2000

Formulation, Preparation, and Storage

Purification

Immunogen affinity purified

Reconstitution

we recommend adding 100uL distilled water to a final antibody concentration of about 1 mg/mL. To use this carrier-free antibody for conjugation experiment, we strongly recommend performing another round of desalting process.

Formulation

Lyophilized from PBS (pH 7.3) with 8% Trehalose

Format

Azide and BSA Free

Preservative

No Preservative

Concentration

LYOPH mg/ml

Shipping

The product is shipped with polar packs. Upon receipt, store it immediately at the temperature recommended below.

Stability & Storage

Store at -20C. Avoid freeze-thaw cycles.

Background: EIF4E2

Recognizes and binds the 7-methylguanosine-containing mRNA cap during an early step in the initiation of protein synthesis and facilitates ribosome binding by inducing the unwinding of the mRNAs secondary structures

Alternate Names

4EHP, 4E-LP, eIF4E type 2, eIF-4E type 2, EIF4EL3, eIF4E-like cap-binding protein, eIF4E-like protein 4E-LP, eukaryotic translation initiation factor 4E family member 2, Eukaryotic translation initiation factor 4E homologous protein, eukaryotic translation initiation factor 4E member 2, eukaryotic translation initiation factor 4E type 2, Eukaryotic translation initiation factor 4E-like 34E-LP, IF4e, mRNA cap-binding protein 4EHP, mRNA cap-binding protein type 3

Gene Symbol

EIF4E2

Additional EIF4E2 Products

Product Documents for EIF4E2 Antibody (OTI1F11) - Azide and BSA Free

Certificate of Analysis

To download a Certificate of Analysis, please enter a lot number in the search box below.

Product Specific Notices for EIF4E2 Antibody (OTI1F11) - Azide and BSA Free

This product is for research use only and is not approved for use in humans or in clinical diagnosis. Primary Antibodies are guaranteed for 1 year from date of receipt.

Loading...
Loading...
Loading...
Loading...
Loading...
Loading...