Skip to main content

eIF4B [p Ser406] Antibody (JE63-80)

Novus Biologicals, part of Bio-Techne | Catalog # NBP3-32763

Recombinant Monoclonal Antibody
Novus Biologicals, part of Bio-Techne
Catalog #
Availability
Size / Price
Qty
Loading...
NBP3-32763

Key Product Details

Species Reactivity

Human, Mouse, Rat

Applications

Flow Cytometry, Immunocytochemistry/ Immunofluorescence, Immunohistochemistry, Immunohistochemistry-Paraffin, Western Blot

Label

Unconjugated

Antibody Source

Recombinant Monoclonal Rabbit IgG Clone # JE63-80 expressed in HEK293

Concentration

1 mg/ml

Product Specifications

Immunogen

Synthetic peptide corresponding to residues surrounding Ser406 of human eIF4B protein. (Uniprot: P23588)

Modification

p Ser 406

Localization

cytosol, eukaryotic translation initiation factor 4F complex.

Clonality

Monoclonal

Host

Rabbit

Isotype

IgG

Theoretical MW

69 kDa.
Disclaimer note: The observed molecular weight of the protein may vary from the listed predicted molecular weight due to post translational modifications, post translation cleavages, relative charges, and other experimental factors.

Description

Novus Biologicals Rabbit eIF4B [p Ser406] Antibody (JE63-80) (NBP3-32763) is a recombinant monoclonal antibody validated for use in IHC, WB, Flow and ICC/IF. All Novus Biologicals antibodies are covered by our 100% guarantee.

Scientific Data Images for eIF4B [p Ser406] Antibody (JE63-80)

eIF4B [p Ser406] Antibody (JE63-80)

Western Blot: eIF4B [p Ser406] Antibody (JE63-80) [NBP3-32763]

Western Blot: eIF4B [p Ser406] Antibody (JE63-80) [NBP3-32763] - Western blot analysis of eIF4B on different lysates with Rabbit anti-eIF4B antibody (NBP3-32763) at 1/50,000 dilution.

Lane 1: 293T cell lysate
Lane 2: 293T treated with 100nM Calyculin A for 15 minutes cell lysate
Lane 3: HeLa cell lysate
Lane 4: HeLa treated with 100ng/mL Calyculin A for 30 minutes cell lysate
Lane 5: Jurkat cell lysate
Lane 6: Jurkat treated with 100nM Calyculin A for 30 minutes cell lysate
Lane 7: NIH/3T3 cell lysate
Lane 8: NIH/3T3 treated with 100nM Calyculin A for 30 minutes cell lysate
Lane 9: PC-12 cell lysate
Lane 10: PC-12 treated with 100nM Calyculin A for 30 minutes cell lysate

Lysates/proteins at 20 ug/Lane.

Predicted band size: 69 kDa
Observed band size: 80 kDa

Exposure time: 21 seconds; ECL;
4-20% SDS-PAGE gel.

Proteins were transferred to a PVDF membrane and blocked with 5% NFDM/TBST for 1 hour at room temperature. The primary antibody (NBP3-32763) at 1/50,000 dilution was used in 5% NFDM/TBST at 4C overnight. Goat Anti-Rabbit IgG - HRP Secondary Antibody at 1/50,000 dilution was used for 1 hour at room temperature.
eIF4B [p Ser406] Antibody (JE63-80)

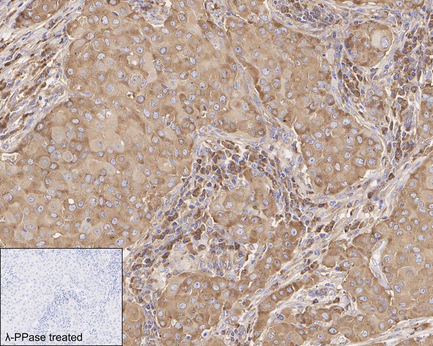
Immunohistochemistry: eIF4B [p Ser406] Antibody (JE63-80) [NBP3-32763]

Immunohistochemistry: eIF4B [p Ser406] Antibody (JE63-80) [NBP3-32763] - Immunohistochemical analysis of paraffin-embedded human breast cancer tissue with Rabbit anti-eIF4B antibody (NBP3-32763) at 1/1,000 dilution.

The section was pre-treated using heat mediated antigen retrieval with Tris-EDTA buffer (pH 9.0) for 20 minutes. The tissues were blocked in 1% BSA for 20 minutes at room temperature, washed with ddH2O and PBS, and then probed with the primary antibody (NBP3-32763) at 1/1,000 dilution for 1 hour at room temperature. The detection was performed using an HRP conjugated compact polymer system. DAB was used as the chromogen. Tissues were counterstained with hematoxylin and mounted with DPX.
eIF4B [p Ser406] Antibody (JE63-80)

Immunocytochemistry/ Immunofluorescence: eIF4B [p Ser406] Antibody (JE63-80) [NBP3-32763]

Immunocytochemistry/ Immunofluorescence: eIF4B [p Ser406] Antibody (JE63-80) [NBP3-32763] - Immunocytochemistry analysis of Jurkat cells treated with or without lambdapp labeling eIF4B with Rabbit anti-eIF4B antibody (NBP3-32763) at 1/20,000 dilution.

Cells were fixed in 4% paraformaldehyde for 20 minutes at room temperature, permeabilized with 0.1% Triton X-100 in PBS for 5 minutes at room temperature, then blocked with 1% BSA in 10% negative goat serum for 1 hour at room temperature. Cells were then incubated with Rabbit anti-eIF4B antibody (NBP3-32763) at 1/20,000 dilution in 1% BSA in PBST overnight at 4 ℃. Goat Anti-Rabbit IgG H&L (iFluor™ 488) was used as the secondary antibody at 1/1,000 dilution. PBS instead of the primary antibody was used as the secondary antibody only control. Nuclear DNA was labelled in blue with DAPI.

Beta tubulin (red) was stained at 1/100 dilution overnight at +4℃. Goat Anti-Mouse IgG H&L (iFluor™ 594) was used as the secondary antibody at 1/1,000 dilution.

Applications for eIF4B [p Ser406] Antibody (JE63-80)

Application
Recommended Usage

Flow Cytometry

1:5000

Immunocytochemistry/ Immunofluorescence

1:5000-1:20000

Immunohistochemistry-Paraffin

1:1000

Western Blot

1:50000

Formulation, Preparation, and Storage

Purification

Protein A purified

Formulation

1*TBS (pH7.4), 0.05% BSA and 40% Glycerol

Preservative

0.05% Sodium Azide

Concentration

1 mg/ml

Shipping

The product is shipped with polar packs. Upon receipt, store it immediately at the temperature recommended below.

Stability & Storage

Store at 4C short term. Aliquot and store at -20C long term. Avoid freeze-thaw cycles.

Background: eIF4B

Eukaryotic initiation factor 4B (eIF4B) is a factor required for the binding of mRNA to ribosomes for the initiation of translation. eIF4B has been demonstrated to modulate the helicase activity of eIF4A, a component of the eIF4F complex

Long Name

Eukaryotic Translation Initiation Factor 4B

Alternate Names

Eif4a2

Gene Symbol

EIF4B

Additional eIF4B Products

Product Documents for eIF4B [p Ser406] Antibody (JE63-80)

Certificate of Analysis

To download a Certificate of Analysis, please enter a lot number in the search box below.

Product Specific Notices for eIF4B [p Ser406] Antibody (JE63-80)

This product is for research use only and is not approved for use in humans or in clinical diagnosis. Primary Antibodies are guaranteed for 1 year from date of receipt.

Loading...
Loading...
Loading...
Loading...
Loading...