Skip to main content

eIF4B Antibody (1F5) - BSA Free

Novus Biologicals, part of Bio-Techne | Catalog # NBP2-37488

Novus Biologicals, part of Bio-Techne
Catalog #
Availability
Size / Price
Qty
Loading...
NBP2-37488-0.025ml
NBP2-37488

Key Product Details

Species Reactivity

Human, Mouse

Applications

Immunohistochemistry, Immunohistochemistry-Paraffin, Western Blot, ELISA, Flow Cytometry, Immunocytochemistry/ Immunofluorescence, CyTOF-ready

Label

Unconjugated

Antibody Source

Monoclonal Mouse IgG2B Clone # 1F5

Format

BSA Free

Concentration

1 mg/ml

Product Specifications

Immunogen

Purified recombinant fragment of human EIF4B expressed in E. Coli.

Reactivity Notes

Please note that this antibody is reactive to Mouse and derived from the same host, Mouse. Additional Mouse on Mouse blocking steps may be required for IHC and ICC experiments. Please contact Technical Support for more information.

Clonality

Monoclonal

Host

Mouse

Isotype

IgG2B

Theoretical MW

80 kDa.
Disclaimer note: The observed molecular weight of the protein may vary from the listed predicted molecular weight due to post translational modifications, post translation cleavages, relative charges, and other experimental factors.

Description

Novus Biologicals Mouse eIF4B Antibody (1F5) - BSA Free (NBP2-37488) is a monoclonal antibody validated for use in IHC, WB, ELISA, Flow and ICC/IF. All Novus Biologicals antibodies are covered by our 100% guarantee.

Scientific Data Images for eIF4B Antibody (1F5) - BSA Free

Western Blot: eIF4B Antibody (1F5)BSA Free [NBP2-37488]

Western Blot: eIF4B Antibody (1F5)BSA Free [NBP2-37488]

Western Blot: eIF4B Antibody (1F5) [NBP2-37488] - Western blot analysis using EIF4B mouse mAb against A549 (1), A431 (2), HepG2 (3), HEK293 (4), HeLa (5), Jurkat (6), K562 (7), NIH3T3 (8), and MCF-7 (9) cell lysate.
Immunocytochemistry/ Immunofluorescence: eIF4B Antibody (1F5) - BSA Free [NBP2-37488]

Immunocytochemistry/ Immunofluorescence: eIF4B Antibody (1F5) - BSA Free [NBP2-37488]

Immunocytochemistry/Immunofluorescence: eIF4B Antibody (1F5) [NBP2-37488] - Immunofluorescence analysis of NIH3T3 cells using EIF4B mouse mAb (green). Blue: DRAQ5 fluorescent DNA dye. Red: Actin filaments have been labeled with Alexa Fluor-555 phalloidin.
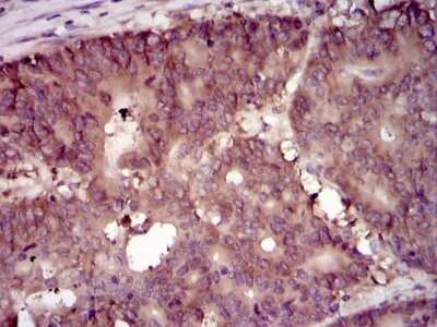
Immunohistochemistry: eIF4B Antibody (1F5) - BSA Free [NBP2-37488]

Immunohistochemistry: eIF4B Antibody (1F5) - BSA Free [NBP2-37488]

Immunohistochemistry: eIF4B Antibody (1F5) [NBP2-37488] - Immunohistochemical analysis of paraffin-embedded colon cancer tissues using EIF4B mouse mAb with DAB staining.

Applications for eIF4B Antibody (1F5) - BSA Free

Application
Recommended Usage

ELISA

1:10000

Flow Cytometry

1:200 - 1:400

Immunocytochemistry/ Immunofluorescence

1:200 - 1:1000

Immunohistochemistry

1:200 - 1:1000

Immunohistochemistry-Paraffin

1:200 - 1:1000

Western Blot

1:500 - 1:2000
Application Notes
This antibody is Cytof ready.

Formulation, Preparation, and Storage

Purification

Protein G purified

Formulation

PBS

Format

BSA Free

Preservative

0.05% Sodium Azide

Concentration

1 mg/ml

Shipping

The product is shipped with polar packs. Upon receipt, store it immediately at the temperature recommended below.

Stability & Storage

Store at 4C short term. Aliquot and store at -20C long term. Avoid freeze-thaw cycles.

Background: eIF4B

Eukaryotic initiation factor 4B (eIF4B) is a factor required for the binding of mRNA to ribosomes for the initiation of translation. eIF4B has been demonstrated to modulate the helicase activity of eIF4A, a component of the eIF4F complex

Long Name

Eukaryotic Translation Initiation Factor 4B

Alternate Names

Eif4a2

Gene Symbol

EIF4B

Additional eIF4B Products

Product Documents for eIF4B Antibody (1F5) - BSA Free

Certificate of Analysis

To download a Certificate of Analysis, please enter a lot number in the search box below.

Product Specific Notices for eIF4B Antibody (1F5) - BSA Free

This product is for research use only and is not approved for use in humans or in clinical diagnosis. Primary Antibodies are guaranteed for 1 year from date of receipt.

Loading...
Loading...
Loading...
Loading...
Loading...