EIF3F Antibody - BSA Free
Novus Biologicals, part of Bio-Techne | Catalog # NBP2-97760
Conjugate
Catalog #
Key Product Details
Species Reactivity
Human
Applications
Immunocytochemistry/ Immunofluorescence, Immunohistochemistry, Immunohistochemistry-Paraffin, Immunoprecipitation, Western Blot
Label
Unconjugated
Antibody Source
Polyclonal Rabbit IgG
Format
BSA Free
Concentration
Please see the vial label for concentration. If unlisted please contact technical services.
Product Specifications
Immunogen
Produced in rabbits immunized with E. coli-derived Human EIF3F fragment.
Clonality
Polyclonal
Host
Rabbit
Isotype
IgG
Description
This antibody can be stored at 2C to 8C for one month without detectable loss of activity. Antibody products are stable for twelve months from date of receipt when stored at -20C to -80C. Avoid repeated freeze-thaw cycles.
Scientific Data Images for EIF3F Antibody - BSA Free
Western Blot: EIF3F Antibody [NBP2-97760]
Western Blot: EIF3F Antibody [NBP2-97760] - Anti-EIF3F rabbit polyclonal antibody at 1:500 dilution. Lane A: HeLa Whole Cell Lysate Lane B: NIH3T3 Whole Cell Lysate Lane C: Jurkat Whole Cell Lysate Lane D: COLO205 Whole Cell Lysate Lysates/proteins at 30 ug per lane. Secondary Goat Anti-Rabbit IgG (H+L)/HRP at 1/10000 dilution. Developed using the ECL technique. Performed under reducing conditions. Predicted band size: 38 kDa. Observed band size: 45 kDaImmunohistochemistry-Paraffin: EIF3F Antibody [NBP2-97760]
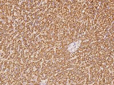
Immunohistochemistry-Paraffin: EIF3F Antibody [NBP2-97760] - Immunochemical staining of human EIF3F in human liver with rabbit polyclonal antibody at 1:100 dilution, formalin-fixed paraffin embedded sections.Immunohistochemistry-Paraffin: EIF3F Antibody [NBP2-97760]
Immunohistochemistry-Paraffin: EIF3F Antibody [NBP2-97760] - Immunochemical staining of human EIF3F in human kidney with rabbit polyclonal antibody at 1:100 dilution, formalin-fixed paraffin embedded sections.Applications for EIF3F Antibody - BSA Free
Application
Recommended Usage
Immunocytochemistry/ Immunofluorescence
1:100-1:500
Immunohistochemistry
1:50-1:200
Immunohistochemistry-Paraffin
1:50-1:200
Immunoprecipitation
1-5uL/mg of lysate
Western Blot
1:500-1:2000
Formulation, Preparation, and Storage
Purification
Antigen and protein A Affinity-purified
Formulation
PBS
Format
BSA Free
Preservative
0.03% Proclin 300
Concentration
Please see the vial label for concentration. If unlisted please contact technical services.
Shipping
The product is shipped with polar packs. Upon receipt, store it immediately at the temperature recommended below.
Stability & Storage
Store at 4C short term. Aliquot and store at -20C long term. Avoid freeze-thaw cycles.
Background: EIF3F
Alternate Names
eIF3 p47, eIF-3-epsilon, eIF3-epsilon, eIF3f, eIF3-p47, EIF3S5eukaryotic translation initiation factor 3 subunit F, Eukaryotic translation initiation factor 3 subunit 5, eukaryotic translation initiation factor 3, subunit 5 (epsilon, 47kD), eukaryotic translation initiation factor 3, subunit 5 epsilon, 47kDa, eukaryotic translation initiation factor 3, subunit F
Gene Symbol
EIF3F
Additional EIF3F Products
Product Specific Notices for EIF3F Antibody - BSA Free
This product is for research use only and is not approved for use in humans or in clinical diagnosis. Primary Antibodies are guaranteed for 1 year from date of receipt.
Loading...
Loading...
Loading...
Loading...