Skip to main content

EIF3C Antibody - BSA Free

Novus Biologicals, part of Bio-Techne | Catalog # NBP3-38365

Novus Biologicals, part of Bio-Techne
Catalog #
Availability
Size / Price
Qty
Loading...
NBP3-38365-100ul
NBP3-38365-20ul

Key Product Details

Species Reactivity

Human, Mouse, Rat

Applications

ELISA, Immunocytochemistry/ Immunofluorescence, Immunohistochemistry, Immunohistochemistry-Paraffin, Western Blot

Label

Unconjugated

Antibody Source

Polyclonal Rabbit IgG

Format

BSA Free

Concentration

Please see the vial label for concentration. If unlisted please contact technical services.

Product Specifications

Immunogen

Recombinant fusion protein containing a sequence corresponding to amino acids 694-913 of human EIF3C (NP_003743.1).

Sequence:
EIPYMAAHESDARRRMISKQFHHQLRVGERQPLLGPPESMREHVVAASKAMKMGDWKTCHSFIINEKMNGKVWDLFPEADKVRTMLVRKIQEESLRTYLFTYSSVYDSISMETLSDMFELDLPTVHSIISKMIINEELMASLDQPTQTVVMHRTEPTAQQNLALQLAEKLGSLVENNERVFDHKQGTYGGYFRDQKDGYRKNEGYMRRGGYRQQQSQTAY

Clonality

Polyclonal

Host

Rabbit

Isotype

IgG

Theoretical MW

106 kDa.
Disclaimer note: The observed molecular weight of the protein may vary from the listed predicted molecular weight due to post translational modifications, post translation cleavages, relative charges, and other experimental factors.

Description

Novus Biologicals Rabbit EIF3C Antibody - BSA Free (NBP3-38365) is a polyclonal antibody validated for use in IHC, WB, ELISA and ICC/IF. All Novus Biologicals antibodies are covered by our 100% guarantee.

Scientific Data Images for EIF3C Antibody - BSA Free

EIF3C Antibody

Immunohistochemistry: EIF3C Antibody [NBP3-38365] -

Immunohistochemistry: EIF3C Antibody [NBP3-38365] - Immunohistochemistry analysis of paraffin-embedded Mouse intestine using EIF3C Rabbit pAb at dilution of 1:100 (40x lens). Microwave antigen retrieval performed with 0.01M PBS Buffer (pH 7.2) prior to IHC staining.
EIF3C Antibody

Immunocytochemistry/ Immunofluorescence: EIF3C Antibody [NBP3-38365] -

Immunocytochemistry/ Immunofluorescence: EIF3C Antibody [NBP3-38365] - Immunofluorescence analysis of U2OS cells using EIF3C Rabbit pAb. Secondary antibody: Cy3-conjugated Goat anti-Rabbit IgG (H+L) at 1:500 dilution. Blue: DAPI for nuclear staining.
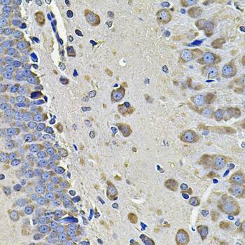
EIF3C Antibody

Immunohistochemistry: EIF3C Antibody [NBP3-38365] -

Immunohistochemistry: EIF3C Antibody [NBP3-38365] - Immunohistochemistry analysis of paraffin-embedded Mouse brain using EIF3C Rabbit pAb at dilution of 1:100 (40x lens). Microwave antigen retrieval performed with 0.01M PBS Buffer (pH 7.2) prior to IHC staining.

Applications for EIF3C Antibody - BSA Free

Application
Recommended Usage

Immunocytochemistry/ Immunofluorescence

1:50 - 1:100

Immunohistochemistry-Paraffin

1:50 - 1:200

Western Blot

1:500 - 1:2000

Formulation, Preparation, and Storage

Purification

Affinity purified

Formulation

PBS (pH 7.3), 50% glycerol

Format

BSA Free

Preservative

0.02% Sodium Azide

Concentration

Please see the vial label for concentration. If unlisted please contact technical services.

Shipping

The product is shipped with polar packs. Upon receipt, store it immediately at the temperature recommended below.

Stability & Storage

Store at -20C. Avoid freeze-thaw cycles.

Background: EIF3C

eIF3 is the largest of the mammalian translation initiation factors, and consists of at least twelve subunits ranging in mass from 35 to 170 kDa. eIF3 binds to the 40 S ribosome in an early step of translation initiation and promotes the binding of methionyl-tRNAi and mRNA.

Alternate Names

cell migration-inducing protein 17, eIF3 p110, eIF3c, EIF3CL, eIF3-p110, EIF3S8FLJ55450, Eukaryotic translation initiation factor 3 subunit 8, eukaryotic translation initiation factor 3 subunit C, eukaryotic translation initiation factor 3, subunit 8 (110kD), eukaryotic translation initiation factor 3, subunit 8, 110kDa, eukaryotic translation initiation factor 3, subunit C, FLJ53378, FLJ54400, FLJ54404, FLJ55750, FLJ78287, MGC189737, MGC189744

Gene Symbol

EIF3C

Additional EIF3C Products

Product Documents for EIF3C Antibody - BSA Free

Certificate of Analysis

To download a Certificate of Analysis, please enter a lot number in the search box below.

Product Specific Notices for EIF3C Antibody - BSA Free

This product is for research use only and is not approved for use in humans or in clinical diagnosis. Primary Antibodies are guaranteed for 1 year from date of receipt.

Loading...
Loading...
Loading...
Loading...