eIF2A Antibody (3A7B11) - BSA Free
Novus Biologicals, part of Bio-Techne | Catalog # NBP2-26296
Forumulation
Catalog #
Key Product Details
Species Reactivity
Human
Applications
Flow Cytometry, Immunocytochemistry/ Immunofluorescence, Immunohistochemistry, Immunohistochemistry-Paraffin, Western Blot
Label
Unconjugated
Antibody Source
Monoclonal Mouse IgG1 Clone # 3A7B11
Format
BSA Free
Concentration
1.0 mg/ml
Product Specifications
Immunogen
Partial recombinant human EIF2A (between residues 350-585) expressed in E. coli [Uniprot Q9BY44]
Clonality
Monoclonal
Host
Mouse
Isotype
IgG1
Description
Novus Biologicals Mouse eIF2A Antibody (3A7B11) - BSA Free (NBP2-26296) is a monoclonal antibody validated for use in IHC, WB, Flow and ICC/IF. All Novus Biologicals antibodies are covered by our 100% guarantee.
Scientific Data Images for eIF2A Antibody (3A7B11) - BSA Free
Western Blot: eIF2A Antibody (3A7B11) [NBP2-26296]
Western Blot: eIF2A Antibody (3A7B11) [NBP2-26296] - Western blot analysis of HeLa (1), NIH3T3 (2), A431 (3), MCF-7 (4), Ntera2 (5), PC12 (6), HepG2 (7), and Cos7 (8) cell lysate using eIF2A antibody at a concentration of 2 ug/ml.Immunocytochemistry/ Immunofluorescence: eIF2A Antibody (3A7B11) [NBP2-26296]
Immunocytochemistry/Immunofluorescence: eIF2A Antibody (3A7B11) [NBP2-26296] - eIF2A antibody (1:50) was tested in HeLa cells with Dylight 488 (green). Nuclei and alpha-tubulin were counterstained with DAPI (blue) and Dylight 550 (red). Image objective 40x.Immunohistochemistry-Paraffin: eIF2A Antibody (3A7B11) [NBP2-26296]
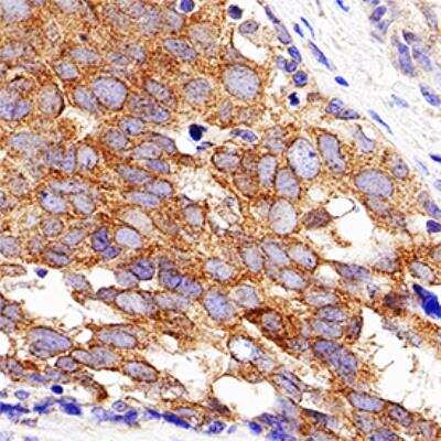
Immunohistochemistry-Paraffin: eIF2A Antibody (3A7B11) [NBP2-26296] - IHC analysis of formalin fixed paraffin-embedded (FFPE) human breast cancer using eIF2A (3A7B11) antibody at 1:200 on a Bond Rx autostainer (Leica Biosystems). The assay involved 20 minutes of heat induced antigen retrieval (HIER) using 10mM sodium citrate buffer (pH 6.0) and endogenous peroxidase quenching with peroxide block. The sections were incubated with primary antibody for 30 minutes and Bond Polymer Refine Detection (Leica Biosystems) with DAB was used for signal development followed by counterstaining with hematoxylin. Whole slide scanning and capturing of representative images was performed using Aperio AT2 (Leica Biosystems). Cytoplasmic and perinuclear staining was observed. Staining was performed by Histowiz.Applications for eIF2A Antibody (3A7B11) - BSA Free
Application
Recommended Usage
Flow Cytometry
1:200 - 1:400
Immunohistochemistry
1:50 - 1:200
Immunohistochemistry-Paraffin
1:200
Western Blot
1:500 - 1:2000
Formulation, Preparation, and Storage
Purification
Ammonium sulfate precipitation
Formulation
PBS, 0.5% proprietary protein stabilizer
Format
BSA Free
Preservative
0.05% Sodium Azide
Concentration
1.0 mg/ml
Shipping
The product is shipped with polar packs. Upon receipt, store it immediately at the temperature recommended below.
Stability & Storage
Store at 4C short term. Aliquot and store at -20C long term. Avoid freeze-thaw cycles.
Background: eIF2A
Alternate Names
EIF-2, EIF-2A, EIF2AEIF2, EIF-2alpha, eukaryotic translation initiation factor 2, subunit 1 alpha, 35kDa, subunit 1 (alpha, 35kD )
Entrez Gene IDs
83939 (Human)
Gene Symbol
EIF2A
UniProt
Additional eIF2A Products
Product Documents for eIF2A Antibody (3A7B11) - BSA Free
Product Specific Notices for eIF2A Antibody (3A7B11) - BSA Free
This product is for research use only and is not approved for use in humans or in clinical diagnosis. Primary Antibodies are guaranteed for 1 year from date of receipt.
Loading...
Loading...
Loading...
Loading...
Loading...