Skip to main content

eIF2 alpha/EIF2S1 Antibody (OTI3H4)

Novus Biologicals, part of Bio-Techne | Catalog # NBP2-02669

Novus Biologicals, part of Bio-Techne
Catalog #
Availability
Size / Price
Qty
Loading...
NBP2-02669

Key Product Details

Species Reactivity

Human, Mouse, Rat, Canine, Monkey, Primate

Applications

Immunohistochemistry, Immunohistochemistry-Paraffin, Western Blot, Flow Cytometry, Immunocytochemistry/ Immunofluorescence

Label

Unconjugated

Antibody Source

Monoclonal Mouse IgG1 Clone # OTI3H4

Concentration

0.69 mg/ml

Product Specifications

Immunogen

Full length human recombinant protein of human EIF2S1 (NP_004085) produced in HEK293T cell.

Reactivity Notes

Please note that this antibody is reactive to Mouse and derived from the same host, Mouse. Mouse-On-Mouse blocking reagent may be needed for IHC and ICC experiments to reduce high background signal. You can find these reagents under catalog numbers PK-2200-NB and MP-2400-NB. Please contact Technical Support if you have any questions.

Clonality

Monoclonal

Host

Mouse

Isotype

IgG1

Theoretical MW

35.9 kDa.
Disclaimer note: The observed molecular weight of the protein may vary from the listed predicted molecular weight due to post translational modifications, post translation cleavages, relative charges, and other experimental factors.

Description

Novus Biologicals Mouse eIF2 alpha/EIF2S1 Antibody (OTI3H4) (NBP2-02669) is a monoclonal antibody validated for use in IHC, WB, Flow and ICC/IF. All Novus Biologicals antibodies are covered by our 100% guarantee.

Scientific Data Images for eIF2 alpha/EIF2S1 Antibody (OTI3H4)

Western Blot: EIF2S1 Antibody (3H4) [NBP2-02669] Analysis of extracts (35ug) from 9 different cell lines by using anti-eIF2A monoclonal antibody.
Immunocytochemistry/ Immunofluorescence: eIF2 alpha/EIF2S1 Antibody (OTI3H4) [NBP2-02669]

Immunocytochemistry/ Immunofluorescence: eIF2 alpha/EIF2S1 Antibody (OTI3H4) [NBP2-02669]

Immunocytochemistry/Immunofluorescence: EIF2S1 Antibody (3H4) [NBP2-02669] - Staining of COS7 cells transiently transfected by pCMV6-ENTRY eIF2A.
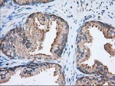
Immunohistochemistry-Paraffin: eIF2 alpha/EIF2S1 Antibody (OTI3H4) [NBP2-02669]

Immunohistochemistry-Paraffin: eIF2 alpha/EIF2S1 Antibody (OTI3H4) [NBP2-02669]

Immunohistochemistry-Paraffin: EIF2S1 Antibody (3H4) [NBP2-02669] - Staining of paraffin-embedded Human prostate tissue using anti-eIF2A mouse monoclonal antibody.

Applications for eIF2 alpha/EIF2S1 Antibody (OTI3H4)

Application
Recommended Usage

Flow Cytometry

1:100

Immunocytochemistry/ Immunofluorescence

1:100

Immunohistochemistry

1:50

Immunohistochemistry-Paraffin

1:50

Western Blot

1:1000-2000

Formulation, Preparation, and Storage

Purification

Immunogen affinity purified

Formulation

PBS (pH 7.3), 1.0% BSA and 50% Glycerol

Preservative

0.02% Sodium Azide

Concentration

0.69 mg/ml

Shipping

The product is shipped with polar packs. Upon receipt, store it immediately at the temperature recommended below.

Stability & Storage

Store at -20C. Avoid freeze-thaw cycles.

Background: eIF2 alpha

EIF2S1, also known as eIF2a, is the alpha subunit of the translation initiation factor eIF2 complex which catalyzes the first regulated step of protein synthesis initiation, promoting the binding of the initiator tRNA to 40S ribosomal subunits. The phosphorylation state of eIF2S1 controls the rate of tRNA translation. When eIF2a is not phosphorylated, translation occurs at a normal rate. However, upon phosphorylation by one of several kinases, eIF2S1 is stabilized, thus preventing the GDP/GTP exchange reaction and slowing translation. Recombinant human EIF2S1 protein, fused to His-tag at N-terminus, was expressed in E.coli and purified by using conventional chromatography techniques.

Long Name

Eukaryotic Translation Initiation Factor 2 Alpha

Alternate Names

EIF2S1

Entrez Gene IDs

1965 (Human)

Gene Symbol

EIF2S1

Additional eIF2 alpha Products

Product Documents for eIF2 alpha/EIF2S1 Antibody (OTI3H4)

Certificate of Analysis

To download a Certificate of Analysis, please enter a lot number in the search box below.

Product Specific Notices for eIF2 alpha/EIF2S1 Antibody (OTI3H4)

This product is for research use only and is not approved for use in humans or in clinical diagnosis. Primary Antibodies are guaranteed for 1 year from date of receipt.

Loading...
Loading...
Loading...
Loading...
Loading...