Skip to main content

EIF1A Antibody - BSA Free

Novus Biologicals, part of Bio-Techne | Catalog # NBP1-85808

Novus Biologicals, part of Bio-Techne
Catalog #
Availability
Size / Price
Qty
Loading...
NBP1-85808
NBP1-85808-25ul

Key Product Details

Species Reactivity

Human, Mouse, Rat

Applications

Immunohistochemistry, Immunohistochemistry-Paraffin, Western Blot

Label

Unconjugated

Antibody Source

Polyclonal Rabbit IgG

Format

BSA Free

Concentration

Concentrations vary lot to lot. See vial label for concentration. If unlisted please contact technical services.

Product Specifications

Immunogen

This antibody was developed against Recombinant Protein corresponding to amino acids: KRELVFKEDGQEYAQVIKMLGNGRLEALCFDGVKRLCHIRGKLRKKVWINTSDIILVGLRDYQDNKADVILKYNADEARSLKAYGELPEHAKINETDTFGPGDDDEIQ

Clonality

Polyclonal

Host

Rabbit

Isotype

IgG

Description

Novus Biologicals Rabbit EIF1A Antibody - BSA Free (NBP1-85808) is a polyclonal antibody validated for use in IHC and WB. All Novus Biologicals antibodies are covered by our 100% guarantee.

Scientific Data Images for EIF1A Antibody - BSA Free

Immunohistochemistry-Paraffin: EIF1A Antibody [NBP1-85808]

Immunohistochemistry-Paraffin: EIF1A Antibody [NBP1-85808]

Immunohistochemistry-Paraffin: EIF1A Antibody [NBP1-85808] - Staining of human skeletal muscle shows no positivity in myocytes as expected.
Immunohistochemistry-Paraffin: EIF1A Antibody [NBP1-85808]

Immunohistochemistry-Paraffin: EIF1A Antibody [NBP1-85808]

Immunohistochemistry-Paraffin: EIF1A Antibody [NBP1-85808] - Staining of human cerebral cortex shows moderate cytoplasmic positivity in neurons.
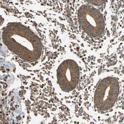
Immunohistochemistry-Paraffin: EIF1A Antibody [NBP1-85808]

Immunohistochemistry-Paraffin: EIF1A Antibody [NBP1-85808]

Immunohistochemistry-Paraffin: EIF1A Antibody [NBP1-85808] - Staining of human endometrium shows strong cytoplasmic positivity in glandular cells.

Applications for EIF1A Antibody - BSA Free

Application
Recommended Usage

Immunohistochemistry

1:500 - 1:1000

Immunohistochemistry-Paraffin

1:500 - 1:1000

Western Blot

0.04-0.4 ug/ml
Application Notes
For IHC-Paraffin, HIER pH 6 retrieval is recommended.

Formulation, Preparation, and Storage

Purification

Immunogen affinity purified

Formulation

PBS (pH 7.2) and 40% Glycerol

Format

BSA Free

Preservative

0.02% Sodium Azide

Concentration

Concentrations vary lot to lot. See vial label for concentration. If unlisted please contact technical services.

Shipping

The product is shipped with polar packs. Upon receipt, store it immediately at the temperature recommended below.

Stability & Storage

Store at 4C short term. Aliquot and store at -20C long term. Avoid freeze-thaw cycles.

Background: EIF1A

Alternate Names

eIF-1A, EIF1AP1, EIF4C, eIF-4C, eukaryotic translation initiation factor 1A, X chromosome, eukaryotic translation initiation factor 1A, X-chromosomal, eukaryotic translation initiation factor 1A, Y chromosome, eukaryotic translation initiation factor 1A, Y-chromosomal, Eukaryotic translation initiation factor 4C, FLJ45762, Putative eukaryotic translation initiation factor 1A

Gene Symbol

EIF1AX

Additional EIF1A Products

Product Documents for EIF1A Antibody - BSA Free

Certificate of Analysis

To download a Certificate of Analysis, please enter a lot number in the search box below.

Product Specific Notices for EIF1A Antibody - BSA Free

This product is for research use only and is not approved for use in humans or in clinical diagnosis. Primary Antibodies are guaranteed for 1 year from date of receipt.

Loading...
Loading...
Loading...
Loading...