Skip to main content

EID2 Antibody - BSA Free

Novus Biologicals, part of Bio-Techne | Catalog # NBP1-94096

Novus Biologicals, part of Bio-Techne
Catalog #
Availability
Size / Price
Qty
Loading...
NBP1-94096
NBP1-94096-25ul

Key Product Details

Species Reactivity

Validated:

Human

Predicted:

Mouse (90%), Rat (90%). Backed by our 100% Guarantee.

Applications

Immunohistochemistry, Immunohistochemistry-Paraffin, Immunocytochemistry/ Immunofluorescence

Label

Unconjugated

Antibody Source

Polyclonal Rabbit IgG

Format

BSA Free

Concentration

Concentrations vary lot to lot. See vial label for concentration. If unlisted please contact technical services.

Product Specifications

Immunogen

This antibody was developed against Recombinant Protein corresponding to amino acids: AREAAFDAEYQRNPHRVDLDILTFTIALTASEVINPLIEELGCDKFINRE

Clonality

Polyclonal

Host

Rabbit

Isotype

IgG

Description

Novus Biologicals Rabbit EID2 Antibody - BSA Free (NBP1-94096) is a polyclonal antibody validated for use in IHC and ICC/IF. All Novus Biologicals antibodies are covered by our 100% guarantee.

Scientific Data Images for EID2 Antibody - BSA Free

Immunocytochemistry/ Immunofluorescence: EID2 Antibody [NBP1-94096]

Immunocytochemistry/ Immunofluorescence: EID2 Antibody [NBP1-94096]

Immunocytochemistry/Immunofluorescence: EID2 Antibody [NBP1-94096] - Staining of human cell line A-431 shows localization to nucleoplasm. Antibody staining is shown in green.
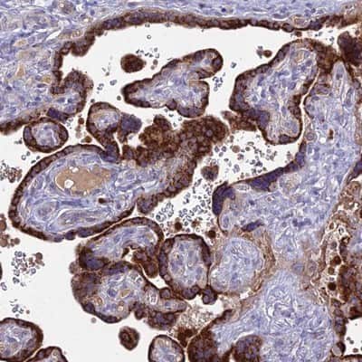
Immunohistochemistry-Paraffin: EID2 Antibody [NBP1-94096]

Immunohistochemistry-Paraffin: EID2 Antibody [NBP1-94096]

Immunohistochemistry-Paraffin: EID2 Antibody [NBP1-94096] - Staining of human placenta shows strong granular cytoplasmic positivity in trophoblastic cells.

Applications for EID2 Antibody - BSA Free

Application
Recommended Usage

Immunocytochemistry/ Immunofluorescence

0.25-2 ug/ml

Immunohistochemistry

1:50 - 1:200

Immunohistochemistry-Paraffin

1:50 - 1:200
Application Notes
For IHC-Paraffin, HIER pH 6 retrieval is recommended. Immunocytochemistry/Immunofluorescence Fixation Permeabilization: Use PFA/Triton X-100.

Formulation, Preparation, and Storage

Purification

Affinity purified

Formulation

PBS (pH 7.2) and 40% Glycerol

Format

BSA Free

Preservative

0.02% Sodium Azide

Concentration

Concentrations vary lot to lot. See vial label for concentration. If unlisted please contact technical services.

Shipping

The product is shipped with polar packs. Upon receipt, store it immediately at the temperature recommended below.

Stability & Storage

Store at 4C short term. Aliquot and store at -20C long term. Avoid freeze-thaw cycles.

Background: EID2

Alternate Names

CREBBP/EP300 inhibitor 2E1A like inhibitor of differentiation 2, CREBBP/EP300 inhibitory protein 2, CRI2EP300-interacting inhibitor of differentiation 2, EID-2EID-1-like inhibitor of differentiation 2, EP300 interacting inhibitor of differentiation 2, MGC20452

Gene Symbol

EID2

Additional EID2 Products

Product Documents for EID2 Antibody - BSA Free

Certificate of Analysis

To download a Certificate of Analysis, please enter a lot number in the search box below.

Product Specific Notices for EID2 Antibody - BSA Free

This product is for research use only and is not approved for use in humans or in clinical diagnosis. Primary Antibodies are guaranteed for 1 year from date of receipt.

Loading...
Loading...
Loading...
Loading...