Skip to main content

EGLN1/PHD2 Antibody - BSA Free

Novus Biologicals, part of Bio-Techne | Catalog # NB100-2219

Novus Biologicals, part of Bio-Techne

Key Product Details

Validated by

Knockout/Knockdown

Species Reactivity

Validated:

Human, Mouse, Rat

Cited:

Human, Mouse, Rat

Applications

Validated:

Knockout Validated, Immunohistochemistry, Immunohistochemistry-Paraffin, Western Blot, Immunocytochemistry/ Immunofluorescence, Simple Western, Immunoprecipitation, Knockdown Validated

Cited:

Knockout Validated, Immunohistochemistry-Paraffin, Western Blot, Simple Western, Immunoprecipitation, IF/IHC

Label

Unconjugated

Antibody Source

Polyclonal Rabbit IgG

Format

BSA Free

Concentration

1 mg/ml

Product Specifications

Immunogen

This EGLN1/PHD2 antibody was developed against a synthetic peptide made to an internal portion of mouse PHD2/HIF Prolyl Hydroxylase 2 (between residues 300-400).

Clonality

Polyclonal

Host

Rabbit

Isotype

IgG

Theoretical MW

43 kDa.
Disclaimer note: The observed molecular weight of the protein may vary from the listed predicted molecular weight due to post translational modifications, post translation cleavages, relative charges, and other experimental factors.

Description

Novus Biologicals Knockout (KO) Validated Rabbit EGLN1/PHD2 Antibody - BSA Free (NB100-2219) is a polyclonal antibody validated for use in IHC, WB, ICC/IF, Simple Western and IP. Anti-EGLN1/PHD2 Antibody: Cited in 46 publications. All Novus Biologicals antibodies are covered by our 100% guarantee.

Scientific Data Images for EGLN1/PHD2 Antibody - BSA Free

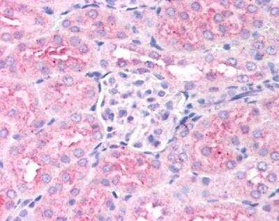
Immunohistochemistry: EGLN1/PHD2 Antibody - BSA Free [NB100-2219]

Immunohistochemistry: EGLN1/PHD2 Antibody - BSA Free [NB100-2219]

EGLN1-PHD2-Antibody-Immunohistochemistry-NB100-2219-img0015.jpg
Knockdown Validated: EGLN1/PHD2 Antibody - BSA Free [NB100-2219]

Western Blot: EGLN1/PHD2 Antibody - BSA Free [NB100-2219]

EGLN1-PHD2-Antibody-Knockdown-Validated-NB100-2219-img0016.jpg
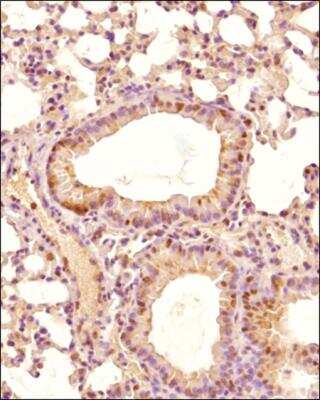
Immunohistochemistry-Paraffin: EGLN1/PHD2 Antibody - BSA Free [NB100-2219]

Immunohistochemistry-Paraffin: EGLN1/PHD2 Antibody - BSA Free [NB100-2219]

Immunohistochemistry-Paraffin: EGLN1/PHD2 Antibody [NB100-2219] - Analysis of an FFPE mouse lung section using 1:200 dilution of EGLN1/PHD2 antibody. The staining was developed using HRP conjugated anti-rabbit secondary antibody and DAB reagent. The antibody generated a specific staining in the cytoplasm and nuclei of alveolar as well as bronchiolar epithelial cells. Cytoplasmic staining was observed in almost all cells while the nuclear positivity was seen in a subset of cells only.

Applications for EGLN1/PHD2 Antibody - BSA Free

Application
Recommended Usage

Immunocytochemistry/ Immunofluorescence

1:50 - 1:500

Immunohistochemistry

2.5 - 5.0 ug/mL

Immunohistochemistry-Paraffin

2.5 - 5.0 ug/mL

Immunoprecipitation

1:10 - 1:500

Knockout Validated

reported in scientific literature (PMID 24695462)

Simple Western

1:200

Western Blot

2 ug/mL
Application Notes
In Western blot a band is seen ~43 kDa representing HIF Prolyl Hydroxylase 2. There is also a non-specific band of similar intensity at ~75 kDa.

Reviewed Applications

Read 3 reviews rated 4.7 using NB100-2219 in the following applications:

Formulation, Preparation, and Storage

Purification

Immunogen affinity purified

Formulation

PBS

Format

BSA Free

Preservative

0.02% Sodium Azide

Concentration

1 mg/ml

Shipping

The product is shipped with polar packs. Upon receipt, store it immediately at the temperature recommended below.

Stability & Storage

Store at 4C. Do not freeze.

Background: EGLN1/PHD2

PHD2 (Prolyl Hydroxylase Domain-containing protein 2) belongs to the Prolyl-4-hydroxylase domain (PHD) family of proteins and is encoded by the Egl-9 Family Hypoxia Inducible Factor 1 (EGLN1) gene (1). Human EGLN1/PHD2 is a ubiquitously expressed enzyme that is 426 amino acids (aa) long with a theoretical molecular weight of ~46 kDa. Structurally PHD2 contains a nuclear export signal (NES, aa 6-20), an N-terminal MYND zinc finger domain (aa 21-58), and a C-terminal catalytic domain (aa 291-392) (2, 3). Functionally, PHD2 serves as an oxygen sensor and is responsible for post-translational modification of Hypoxia-inducible factor alpha (HIF-1alpha), a component of a transcriptional complex involved in oxygen homeostasis (1-3). During normoxia, PHD2 is responsible for oxygen-dependent hydroxylation of HIF-1alpha proline residue 402, 564, or both (3). The hydroxylation event promotes the binding of von Hippel-Lindau protein (VHL) and targets HIF1-alpha for ubiquitination and degradation (4, 5).

EGLN1/PHD2 has been implicated in several critical processes including erythropoiesis, angiogenesis, and metabolism as well as various pathologies such as cancer (2, 5, 6). Studies in mice have found that somatic deletion of PHD2 resulted in higher vascular endothelial growth factor A (VEGF-A) levels, increased blood vessel formation, and more erythropoietin (EPO), leading to severe polycythemia or erythrocytosis (high red blood cell (RBC) volume) (6). Another study revealed that specific point mutations in EGLN1/PHD2 led to elevated EPO and RBC mass associated with hemorrhages and strokes (6). Accordingly, given the known role of PHD2 in inhibition of EPO production, PHD2 inhibitors are being studied as a potential therapeutic for anemia (6). Additionally, dysregulation in EGLN1, and specifically the PHD2-VHL-HIF-1alpha pathway, has been associated with the development of pheochromocytomas (PCC) and sympathetic paragangliomas (PGL), which are rare neuroendocrine tumors (2). Besides pathological features, EGLN1/PHD2 may also be important for high altitude adaptation as two coding sequence variants in PHD2 are prevalent in the Tibetan population but is very rare in people at lower altitudes (2).

Alternate names for EGLN1/PHD2 include HIF Prolyl Hydroxylase 2, PH2, Prolyl hydroxylase domain containing protein 2, HIF2PH2, HIF-Prolyl hydroxylase 2, egl nine homolog 1, and C1orf12.

References

1. Amorim-Pires, D., Peixoto, J., & Lima, J. (2016). Hypoxia Pathway Mutations in Pheochromocytomas and Paragangliomas. Cytogenetic and genome research. https://doi.org/10.1159/000457479

2. Gardie, B., Percy, M. J., Hoogewijs, D., Chowdhury, R., Bento, C., Arsenault, P. R., Richard, S., Almeida, H., Ewing, J., Lambert, F., McMullin, M. F., Schofield, C. J., & Lee, F. S. (2014). The role of PHD2 mutations in the pathogenesis of erythrocytosis. Hypoxia (Auckland, N.Z.). https://doi.org/10.2147/HP.S54455

3. Minervini, G., Quaglia, F., & Tosatto, S. C. (2015). Insights into the proline hydroxylase (PHD) family, molecular evolution and its impact on human health. Biochimie. https://doi.org/10.1016/j.biochi.2015.07.009

4. Semenza G. L. (2007). Hypoxia-inducible factor 1 (HIF-1) pathway. Science's STKE : signal transduction knowledge environment. https://doi.org/10.1126/stke.4072007cm8

5. Chan, D. A., & Giaccia, A. J. (2010). PHD2 in tumour angiogenesis. British journal of cancer. https://doi.org/10.1038/sj.bjc.6605682

6. Meneses, A. M., & Wielockx, B. (2016). PHD2: from hypoxia regulation to disease progression. Hypoxia (Auckland, N.Z.). https://doi.org/10.2147/HP.S53576

Long Name

Egl Nine Homolog 1/Prolyl Hydroxylase Domain-containing Protein 2

Alternate Names

C1orf12, HIFPH2, HPH2, PHD2, SM20, ZMYND6

Gene Symbol

EGLN1

Additional EGLN1/PHD2 Products

Product Documents for EGLN1/PHD2 Antibody - BSA Free

Certificate of Analysis

To download a Certificate of Analysis, please enter a lot number in the search box below.

Product Specific Notices for EGLN1/PHD2 Antibody - BSA Free

This product is for research use only and is not approved for use in humans or in clinical diagnosis. Primary Antibodies are guaranteed for 1 year from date of receipt.

Loading...
Loading...
Loading...
Loading...
Loading...