Skip to main content

EFCAB4B Antibody - Azide and BSA Free

Novus Biologicals, part of Bio-Techne | Catalog # NBP2-92725

Novus Biologicals, part of Bio-Techne
Catalog #
Availability
Size / Price
Qty
Loading...
NBP2-92725-0.02ml
NBP2-92725-0.1ml

Key Product Details

Species Reactivity

Human, Mouse

Applications

Immunohistochemistry, Immunohistochemistry-Paraffin, Western Blot

Label

Unconjugated

Antibody Source

Polyclonal Rabbit IgG

Format

Azide and BSA Free

Concentration

Please see the vial label for concentration. If unlisted please contact technical services.

Product Specifications

Immunogen

Recombinant fusion protein containing a sequence corresponding to amino acids 1-200 of human CRACR2A (NP_001138430.1). MAAPDGRVVSRPQRLGQGSGQGPKGSGACLHPLDSLEQKETQEQTSGQLVMLRKAQEFFQTCDAEGKGFIARKDMQRLHKELPLSLEELEDVFDALDADGNGYLTPQEFTTGFSHFFFSQNNPSQEDAGEQVAQRHEEKVYLSRGDEDLGDMGEDEEAQFRMLMDRLGAQKVLEDESDVKQLWLQLKKEEPHLLSNFEDF

Clonality

Polyclonal

Host

Rabbit

Isotype

IgG

Description

Novus Biologicals Rabbit EFCAB4B Antibody - Azide and BSA Free (NBP2-92725) is a polyclonal antibody validated for use in IHC and WB. All Novus Biologicals antibodies are covered by our 100% guarantee.

Scientific Data Images for EFCAB4B Antibody - Azide and BSA Free

Western Blot: EFCAB4B AntibodyAzide and BSA Free [NBP2-92725]

Western Blot: EFCAB4B AntibodyAzide and BSA Free [NBP2-92725]

Western Blot: EFCAB4B Antibody [NBP2-92725] - Analysis of extracts of mouse liver, using EFCAB4B at 1:3000 dilution.Secondary antibody: HRP Goat Anti-Rabbit IgG (H+L) at 1:10000 dilution.Lysates/proteins: 25ug per lane.Blocking buffer: 3% nonfat dry milk in TBST.Detection: ECL Basic Kit .Exposure time: 90s.
Immunohistochemistry-Paraffin: EFCAB4B Antibody - Azide and BSA Free [NBP2-92725]

Immunohistochemistry-Paraffin: EFCAB4B Antibody - Azide and BSA Free [NBP2-92725]

Immunohistochemistry-Paraffin: EFCAB4B Antibody [NBP2-92725] - Paraffin-embedded mouse spleen using EFCAB4B .
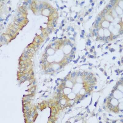
Immunohistochemistry-Paraffin: EFCAB4B Antibody - Azide and BSA Free [NBP2-92725]

Immunohistochemistry-Paraffin: EFCAB4B Antibody - Azide and BSA Free [NBP2-92725]

Immunohistochemistry-Paraffin: EFCAB4B Antibody [NBP2-92725] - Paraffin-embedded human appendix using EFCAB4B .

Applications for EFCAB4B Antibody - Azide and BSA Free

Application
Recommended Usage

Immunohistochemistry

1:50-1:200

Western Blot

1:500-1:2000

Formulation, Preparation, and Storage

Purification

Affinity purified

Formulation

PBS (pH 7.3), 50% glycerol

Format

Azide and BSA Free

Preservative

0.01% Thimerosal

Concentration

Please see the vial label for concentration. If unlisted please contact technical services.

Shipping

The product is shipped with polar packs. Upon receipt, store it immediately at the temperature recommended below.

Stability & Storage

Store at -20C. Avoid freeze-thaw cycles.

Background: EFCAB4B

Alternate Names

Calcium release-activated calcium channel regulator 2A, CRAC channel regulator 2A, CRACR2A, DKFZp686G13246, EF-hand calcium binding domain 4B, EF-hand calcium-binding domain-containing protein 4B, FLJ33046, FLJ33805, MGC4266

Gene Symbol

CRACR2A

Additional EFCAB4B Products

Product Documents for EFCAB4B Antibody - Azide and BSA Free

Certificate of Analysis

To download a Certificate of Analysis, please enter a lot number in the search box below.

Product Specific Notices for EFCAB4B Antibody - Azide and BSA Free

This product is for research use only and is not approved for use in humans or in clinical diagnosis. Primary Antibodies are guaranteed for 1 year from date of receipt.

Loading...
Loading...
Loading...
Loading...

⚠ WARNING: This product can expose you to chemicals including Methotrexate, which is known to the State of California to cause reproductive toxicity with developmental effects. For more information, go to www.P65Warnings.ca.gov