Skip to main content

EEF2K Antibody - BSA Free

Novus Biologicals, part of Bio-Techne | Catalog # NB100-87019

Novus Biologicals, part of Bio-Techne

Key Product Details

Species Reactivity

Validated:

Human, Mouse

Predicted:

Rat (100%). Backed by our 100% Guarantee.

Applications

Immunohistochemistry, Immunohistochemistry-Paraffin, Western Blot, Immunoprecipitation (Negative)

Label

Unconjugated

Antibody Source

Polyclonal Rabbit IgG

Format

BSA Free

Concentration

1.0 mg/ml

Product Specifications

Immunogen

The immunogen recognized by this antibody maps to a region between residue 675 and 725 of human calcium/calmodulin-dependent eukaryotic elongation factor-2 kinase (EEF2K ) using the numbering given in entry NP_037434.1 (GeneID 29904).

Clonality

Polyclonal

Host

Rabbit

Isotype

IgG

Description

Novus Biologicals Rabbit EEF2K Antibody - BSA Free (NB100-87019) is a polyclonal antibody validated for use in IHC and WB. All Novus Biologicals antibodies are covered by our 100% guarantee.

Scientific Data Images for EEF2K Antibody - BSA Free

Western Blot: EEF2K Antibody [NB100-87019]

Western Blot: EEF2K Antibody [NB100-87019]

Western Blot: EEF2K Antibody [NB100-87019] - Whole cell lysate (5, 15 and 50 mcg for WB; 1 mg for IP, 20% of IP loaded) from HeLa cells. NB100-87019 used for WB at 0.4 mcg/ml (A) and 1 mcg/ml (B) and used for IP at 3 mcg/mg lysate. eEF2 Kinase was successfully immunoprecipitated by NB100-87018, which recognizes an upstream epitope.
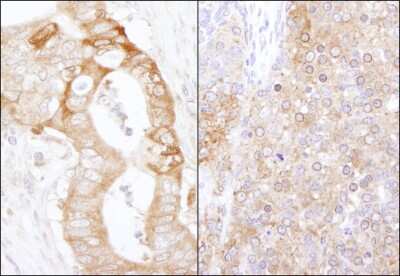
Immunohistochemistry-Paraffin: EEF2K Antibody [NB100-87019]

Immunohistochemistry-Paraffin: EEF2K Antibody [NB100-87019]

Immunohistochemistry-Paraffin: EEF2K Antibody [NB100-87019] - Section of human stomach carcinoma (left) and mouse teratoma (right). Antibody: Affinity purified rabbit anti-eEF2 Kinase used at a dilution of 1:1,000 (1ug/ml). Detection: DAB

Applications for EEF2K Antibody - BSA Free

Application
Recommended Usage

Immunohistochemistry

1:500-1:2000

Immunohistochemistry-Paraffin

1:500 - 1:2000

Western Blot

1:2000-1:10000
Application Notes
Epitope retrieval with citrate buffer pH 6.0 is recommended for FFPE tissue sections. Immunoprecipitation Not recommended.

Formulation, Preparation, and Storage

Purification

Immunogen affinity purified

Formulation

Tris-Citrate/Phosphate (pH 7.0 - 8.0)

Format

BSA Free

Preservative

0.09% Sodium Azide

Concentration

1.0 mg/ml

Shipping

The product is shipped with polar packs. Upon receipt, store it immediately at the temperature recommended below.

Stability & Storage

Store at 4C. Do not freeze.

Background: EEF2K

This gene encodes a highly conserved protein kinase in the calmodulin-mediated signaling pathway that links activation of cell surface receptors to cell division. This kinase is involved in the regulation of protein synthesis. It phosphorylates eukaryotic elongation factor 2 (EEF2) and thus inhibits the EEF2 function. The activity of this kinase is increased in many cancers and may be a valid target for anti-cancer treatment. [provided by RefSeq]

Alternate Names

Calcium/calmodulin-dependent eukaryotic elongation factor 2 kinase, calcium/calmodulin-dependent eukaryotic elongation factor-2 kinase, EC 2.7.11, EC 2.7.11.20, eEF-2 kinase, eEF-2Kcalmodulin-dependent protein kinase III, elongation factor-2 kinase, eukaroytic elongation factor 2 kinase, eukaryotic elongation factor 2 kinase, eukaryotic elongation factor-2 kinase, HSU93850, MGC45041

Entrez Gene IDs

29904 (Human)

Gene Symbol

EEF2K

Additional EEF2K Products

Product Documents for EEF2K Antibody - BSA Free

Certificate of Analysis

To download a Certificate of Analysis, please enter a lot number in the search box below.

Product Specific Notices for EEF2K Antibody - BSA Free

This product is for research use only and is not approved for use in humans or in clinical diagnosis. Primary Antibodies are guaranteed for 1 year from date of receipt.

Loading...
Loading...
Loading...
Loading...