Skip to main content

EEF1D Antibody (6D9) - BSA Free

Novus Biologicals, part of Bio-Techne | Catalog # NBP3-42962

Novus Biologicals, part of Bio-Techne
Catalog #
Availability
Size / Price
Qty
Loading...
NBP3-42962

Key Product Details

Species Reactivity

Human, Mouse

Applications

Immunohistochemistry, Western Blot, ELISA, Immunocytochemistry/ Immunofluorescence

Label

Unconjugated

Antibody Source

Monoclonal Mouse IgG1 Clone # 6D9

Format

BSA Free

Concentration

Please see the vial label for concentration. If unlisted please contact technical services.

Product Specifications

Immunogen

eukaryotic translation elongation factor 1 delta(guanine nucleotide exchange protein) - (Uniprot# P29692)

Clonality

Monoclonal

Host

Mouse

Isotype

IgG1

Theoretical MW

40 kDa.
Disclaimer note: The observed molecular weight of the protein may vary from the listed predicted molecular weight due to post translational modifications, post translation cleavages, relative charges, and other experimental factors.

Description

Novus Biologicals Mouse EEF1D Antibody (6D9) - BSA Free (NBP3-42962) is a monoclonal antibody validated for use in IHC, WB, ELISA and ICC/IF. All Novus Biologicals antibodies are covered by our 100% guarantee.

Scientific Data Images for EEF1D Antibody (6D9) - BSA Free

EEF1D Antibody (6D9)

Western Blot: EEF1D Antibody (6D9) [NBP3-42962] -

Western Blot: EEF1D Antibody (6D9) [NBP3-42962] - Jurkat cells were subjected to SDS PAGE followed by western blot with (EEF1D Antibody) at dilution of 1:1000
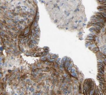
EEF1D Antibody (6D9)

Immunohistochemistry: EEF1D Antibody (6D9) [NBP3-42962] -

Immunohistochemistry: EEF1D Antibody (6D9) [NBP3-42962] - Immunohistochemistry of paraffin-embedded human pancreas cancer tissue slide using (EEF1D Antibody) at dilution of 1:200

Applications for EEF1D Antibody (6D9) - BSA Free

Application
Recommended Usage

Immunocytochemistry/ Immunofluorescence

1:10 - 1:100

Immunohistochemistry

1:50 - 1:500

Western Blot

1:500 - 1:2000

Formulation, Preparation, and Storage

Purification

Protein A or G purified

Formulation

PBS (pH 7.3), 50% glycerol

Format

BSA Free

Preservative

0.02% Sodium Azide

Concentration

Please see the vial label for concentration. If unlisted please contact technical services.

Shipping

The product is shipped with polar packs. Upon receipt, store it immediately at the temperature recommended below.

Stability & Storage

Store at -20C. Avoid freeze-thaw cycles.

Background: EEF1D

EEF1D encodes a subunit of the elongation factor-1 complex, which is responsible for the enzymatic delivery of aminoacyl tRNAs to the ribosome. This subunit functions as guanine nucleotide exchange factor. It is reported that this subunit interacts with HIV-1 Tat, and thus it represses the translation of host-cell, but not HIV-1, mRNAs. Several alternatively spliced transcript variants encoding multiple isoforms have been found for this gene. [provided by RefSeq]

Alternate Names

Antigen NY-CO-4, EF-1D, EF-1-delta, EF1DFP1047, elongation factor 1-delta, eukaryotic translation elongation factor 1 delta (guanine nucleotide exchangeprotein), FLJ20897, guanine nucleotide exchange protein

Gene Symbol

EEF1D

Additional EEF1D Products

Product Documents for EEF1D Antibody (6D9) - BSA Free

Certificate of Analysis

To download a Certificate of Analysis, please enter a lot number in the search box below.

Product Specific Notices for EEF1D Antibody (6D9) - BSA Free

This product is for research use only and is not approved for use in humans or in clinical diagnosis. Primary Antibodies are guaranteed for 1 year from date of receipt.

Loading...
Loading...
Loading...
Loading...