Skip to main content

EEF1A2 Antibody - BSA Free

Novus Biologicals, part of Bio-Techne | Catalog # NBP3-38412

Novus Biologicals, part of Bio-Techne
Catalog #
Availability
Size / Price
Qty
Loading...
NBP3-38412-20ul
NBP3-38412-100ul

Key Product Details

Species Reactivity

Human, Mouse, Rat

Applications

ELISA, Immunocytochemistry/ Immunofluorescence, Immunohistochemistry, Immunohistochemistry-Paraffin, Western Blot

Label

Unconjugated

Antibody Source

Polyclonal Rabbit IgG

Format

BSA Free

Concentration

Please see the vial label for concentration. If unlisted please contact technical services.

Product Specifications

Immunogen

Recombinant fusion protein containing a sequence corresponding to amino acids 184-463 of human EEF1A2 (NP_001949.1).

Sequence:
NPATVPFVPISGWHGDNMLEPSPNMPWFKGWKVERKEGNASGVSLLEALDTILPPTRPTDKPLRLPLQDVYKIGGIGTVPVGRVETGILRPGMVVTFAPVNITTEVKSVEMHHEALSEALPGDNVGFNVKNVSVKDIRRGNVCGDSKSDPPQEAAQFTSQVIILNHPGQISAGYSPVIDCHTAHIACKFAELKEKIDRRSGKKLEDNPKSLKSGDAAIVEMVPGKPMCVESFSQYPPLGRFAVRDMRQTVAVGVIKNVEKKSGGAGKVTKSAQKAQKAGK

Clonality

Polyclonal

Host

Rabbit

Isotype

IgG

Theoretical MW

50 kDa.
Disclaimer note: The observed molecular weight of the protein may vary from the listed predicted molecular weight due to post translational modifications, post translation cleavages, relative charges, and other experimental factors.

Description

Novus Biologicals Rabbit EEF1A2 Antibody - BSA Free (NBP3-38412) is a polyclonal antibody validated for use in IHC, WB, ELISA and ICC/IF. All Novus Biologicals antibodies are covered by our 100% guarantee.

Scientific Data Images for EEF1A2 Antibody - BSA Free

EEF1A2 Antibody

Western Blot: EEF1A2 Antibody [NBP3-38412] -

Western Blot: EEF1A2 Antibody [NBP3-38412] - Western blot analysis of various lysates using EEF1A2 Rabbit pAb at 1:600 dilution.
Secondary antibody: HRP-conjugated Goat anti-Rabbit IgG (H+L) at 1:10000 dilution.
Lysates / proteins: 25 ug per lane.
Blocking buffer: 3 % nonfat dry milk in TBST.
Detection: ECL Basic Kit.
Exposure time: 20s.
EEF1A2 Antibody

Immunohistochemistry: EEF1A2 Antibody [NBP3-38412] -

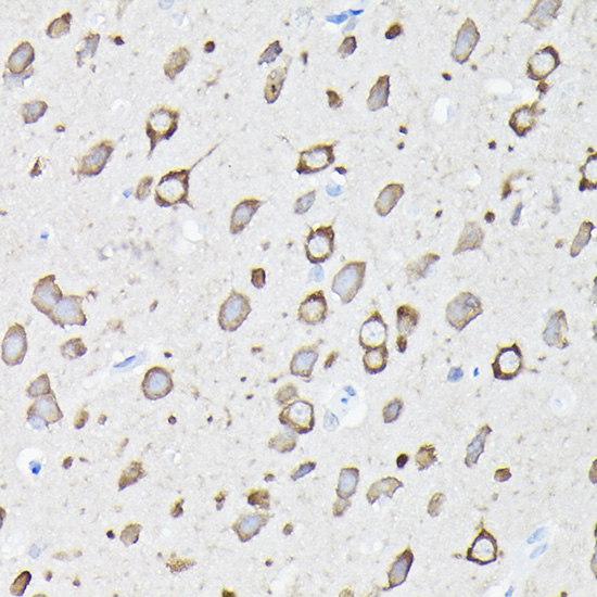
Immunohistochemistry: EEF1A2 Antibody [NBP3-38412] - Immunohistochemistry analysis of paraffin-embedded Mouse brain tissue using EEF1A2 Rabbit pAb at a dilution of 1:100 (40x lens). High pressure antigen retrieval was performed with 0.01 M citrate buffer (pH 6.0) prior to IHC staining.
EEF1A2 Antibody

Immunohistochemistry: EEF1A2 Antibody [NBP3-38412] -

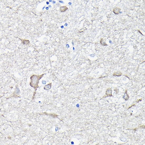
Immunohistochemistry: EEF1A2 Antibody [NBP3-38412] - Immunohistochemistry analysis of paraffin-embedded Rat brain tissue using EEF1A2 Rabbit pAb at a dilution of 1:100 (40x lens). High pressure antigen retrieval was performed with 0.01 M citrate buffer (pH 6.0) prior to IHC staining.

Applications for EEF1A2 Antibody - BSA Free

Application
Recommended Usage

Immunocytochemistry/ Immunofluorescence

1:50 - 1:200

Immunohistochemistry-Paraffin

1:50 - 1:200

Western Blot

1:500 - 1:2000

Formulation, Preparation, and Storage

Purification

Affinity purified

Formulation

PBS (pH 7.3), 50% glycerol

Format

BSA Free

Preservative

0.02% Sodium Azide

Concentration

Please see the vial label for concentration. If unlisted please contact technical services.

Shipping

The product is shipped with polar packs. Upon receipt, store it immediately at the temperature recommended below.

Stability & Storage

Store at -20C. Avoid freeze-thaw cycles.

Background: EEF1A2

EEF1A2 encodes an isoform of the alpha subunit of the elongation factor-1 complex, which is responsible for the enzymatic delivery of aminoacyl tRNAs to the ribosome. This isoform (alpha 2) is expressed in brain, heart and skeletal muscle, and the other isoform (alpha 1) is expressed in brain, placenta, lung, liver, kidney, and pancreas. This gene may be critical in the development of ovarian cancer. Alternatively spliced transcript variants encoding different isoforms have been found for this gene. [provided by RefSeq]

Alternate Names

eEF1A-2, EEF1ALFLJ41696, EF1A, EF-1-alpha-2, elongation factor 1-alpha 2, elongation factor-1 alpha, Eukaryotic elongation factor 1 A-2, eukaryotic translation elongation factor 1 alpha 2, HS1, statin, statin S1, statin-like, statin-S1, STN, STNL

Gene Symbol

EEF1A2

Additional EEF1A2 Products

Product Documents for EEF1A2 Antibody - BSA Free

Certificate of Analysis

To download a Certificate of Analysis, please enter a lot number in the search box below.

Product Specific Notices for EEF1A2 Antibody - BSA Free

This product is for research use only and is not approved for use in humans or in clinical diagnosis. Primary Antibodies are guaranteed for 1 year from date of receipt.

Loading...
Loading...
Loading...
Loading...