Skip to main content

EEF1A2 Antibody - BSA Free

Novus Biologicals, part of Bio-Techne | Catalog # NBP2-97554

Novus Biologicals, part of Bio-Techne

Key Product Details

Species Reactivity

Human

Applications

Immunocytochemistry/ Immunofluorescence, Immunohistochemistry-Paraffin, Immunoprecipitation, Western Blot

Label

Unconjugated

Antibody Source

Polyclonal Rabbit IgG

Format

BSA Free

Concentration

Please see the vial label for concentration. If unlisted please contact technical services.

Product Specifications

Immunogen

Produced in rabbits immunized with E. coli-derived Human EEF1A2 fragment.

Clonality

Polyclonal

Host

Rabbit

Isotype

IgG

Description

This antibody can be stored at 2C to 8C for one month without detectable loss of activity. Antibody products are stable for twelve months from date of receipt when stored at -20C to -80C. Avoid repeated freeze-thaw cycles.

Scientific Data Images for EEF1A2 Antibody - BSA Free

Western Blot: EEF1A2 Antibody [NBP2-97554]

Western Blot: EEF1A2 Antibody [NBP2-97554]

Western Blot: EEF1A2 Antibody [NBP2-97554] - Anti-EEF1A2 rabbit polyclonal antibody at 1:500 dilution. Lane A: HepG2 Whole Cell Lysate Lane B: MCF7 Whole Cell Lysate Lane C: U-251 MG Whole Cell Lysate Lane D: Jurkat Whole Cell Lysate Lysates/proteins at 30 ug per lane. Secondary Goat Anti-Rabbit IgG (H+L)/HRP at 1/10000 dilution. Developed using the ECL technique. Performed under reducing conditions. Predicted band size: 50 kDa. Observed band size: 50 kDa
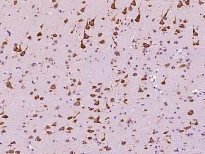
Immunohistochemistry-Paraffin: EEF1A2 Antibody [NBP2-97554]

Immunohistochemistry-Paraffin: EEF1A2 Antibody [NBP2-97554]

Immunohistochemistry-Paraffin: EEF1A2 Antibody [NBP2-97554] - Immunochemical staining of human EEF1A2 in human brain with rabbit polyclonal antibody at 1:200 dilution, formalin-fixed paraffin embedded sections.
Immunoprecipitation: EEF1A2 Antibody [NBP2-97554]

Immunoprecipitation: EEF1A2 Antibody [NBP2-97554]

Immunoprecipitation: EEF1A2 Antibody [NBP2-97554] - EEF1A2 was immunoprecipitated using: Lane A: 0.5 mg U-251MG Whole Cell Lysate 4 ul anti-EEF1A2 rabbit polyclonal antibody and 60 ug of Immunomagnetic beads Protein A/G. Primary antibody: Anti-EEF1A2 rabbit polyclonal antibody, at 1:100 dilution. Secondary antibody: Clean-Blot IP Detection Reagent (HRP) at 1:1000dilution. Developed using the ECL technique. Performed under reducing conditions. Predicted band size: 50 kDa. Observed band size: 50 kDa

Applications for EEF1A2 Antibody - BSA Free

Application
Recommended Usage

Immunocytochemistry/ Immunofluorescence

1:100-1:500

Immunohistochemistry-Paraffin

1:100-1:400

Immunoprecipitation

1-5uL/mg of lysate

Western Blot

1:500-1:2000

Formulation, Preparation, and Storage

Purification

Antigen and protein A Affinity-purified

Formulation

PBS

Format

BSA Free

Preservative

0.03% Proclin 300

Concentration

Please see the vial label for concentration. If unlisted please contact technical services.

Shipping

The product is shipped with polar packs. Upon receipt, store it immediately at the temperature recommended below.

Stability & Storage

Store at 4C short term. Aliquot and store at -20C long term. Avoid freeze-thaw cycles.

Background: EEF1A2

EEF1A2 encodes an isoform of the alpha subunit of the elongation factor-1 complex, which is responsible for the enzymatic delivery of aminoacyl tRNAs to the ribosome. This isoform (alpha 2) is expressed in brain, heart and skeletal muscle, and the other isoform (alpha 1) is expressed in brain, placenta, lung, liver, kidney, and pancreas. This gene may be critical in the development of ovarian cancer. Alternatively spliced transcript variants encoding different isoforms have been found for this gene. [provided by RefSeq]

Alternate Names

eEF1A-2, EEF1ALFLJ41696, EF1A, EF-1-alpha-2, elongation factor 1-alpha 2, elongation factor-1 alpha, Eukaryotic elongation factor 1 A-2, eukaryotic translation elongation factor 1 alpha 2, HS1, statin, statin S1, statin-like, statin-S1, STN, STNL

Gene Symbol

EEF1A2

Additional EEF1A2 Products

Product Documents for EEF1A2 Antibody - BSA Free

Certificate of Analysis

To download a Certificate of Analysis, please enter a lot number in the search box below.

Product Specific Notices for EEF1A2 Antibody - BSA Free

This product is for research use only and is not approved for use in humans or in clinical diagnosis. Primary Antibodies are guaranteed for 1 year from date of receipt.

Loading...
Loading...
Loading...
Loading...