Skip to main content

eEF1A1 Antibody - Azide and BSA Free

Novus Biologicals, part of Bio-Techne | Catalog # NBP2-92880

Novus Biologicals, part of Bio-Techne
Catalog #
Availability
Size / Price
Qty
Loading...
NBP2-92880-0.1ml

Key Product Details

Species Reactivity

Human, Mouse, Rat

Applications

Immunocytochemistry/ Immunofluorescence, Immunohistochemistry, Immunohistochemistry-Paraffin, Western Blot

Label

Unconjugated

Antibody Source

Polyclonal Rabbit IgG

Format

Azide and BSA Free

Concentration

Please see the vial label for concentration. If unlisted please contact technical services.

Product Specifications

Immunogen

A synthetic peptide corresponding to a sequence within amino acids 301-400 of human eEF1A1 (NP_001393.1). EALPGDNVGFNVKNVSVKDVRRGNVAGDSKNDPPMEAAGFTAQVIILNHPGQISAGYAPVLDCHTAHIACKFAELKEKIDRRSGKKLEDGPKFLKSGDAA

Clonality

Polyclonal

Host

Rabbit

Isotype

IgG

Description

Novus Biologicals Rabbit eEF1A1 Antibody - Azide and BSA Free (NBP2-92880) is a polyclonal antibody validated for use in IHC, WB and ICC/IF. All Novus Biologicals antibodies are covered by our 100% guarantee.

Scientific Data Images for eEF1A1 Antibody - Azide and BSA Free

Western Blot: eEF1A1 AntibodyAzide and BSA Free [NBP2-92880]

Western Blot: eEF1A1 AntibodyAzide and BSA Free [NBP2-92880]

Western Blot: eEF1A1 Antibody [NBP2-92880] - Western blot analysis of extracts of various cell lines, using eEF1A1 antibody (NBP2-92880) at 1:1000 dilution. Secondary antibody: HRP Goat Anti-Rabbit IgG (H+L) at 1:10000 dilution. Lysates/proteins: 25ug per lane. Blocking buffer: 3% nonfat dry milk in TBST. Detection: ECL Basic Kit. Exposure time: 3s.
Western Blot: eEF1A1 AntibodyAzide and BSA Free [NBP2-92880]

Western Blot: eEF1A1 AntibodyAzide and BSA Free [NBP2-92880]

Western Blot: eEF1A1 Antibody [NBP2-92880] - Western blot analysis of extracts of various cell lines, using eEF1A1 antibody (NBP2-92880) at 1:1000 dilution. Secondary antibody: HRP Goat Anti-Rabbit IgG (H+L) at 1:10000 dilution. Lysates/proteins: 25ug per lane. Blocking buffer: 3% nonfat dry milk in TBST. Detection: ECL Basic Kit. Exposure time: 10s.
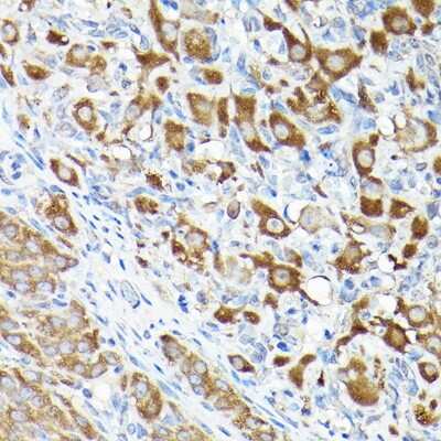
Immunohistochemistry-Paraffin: eEF1A1 Antibody - Azide and BSA Free [NBP2-92880]

Immunohistochemistry-Paraffin: eEF1A1 Antibody - Azide and BSA Free [NBP2-92880]

Immunohistochemistry-Paraffin: eEF1A1 Antibody [NBP2-92880] - Immunohistochemistry of paraffin-embedded rat ovary using eEF1A1 Rabbit pAb (NBP2-92880) at dilution of 1:100 (40x lens). Perform high pressure antigen retrieval with 10 mM citrate buffer pH 6.0 before commencing with IHC staining protocol.

Applications for eEF1A1 Antibody - Azide and BSA Free

Application
Recommended Usage

Immunocytochemistry/ Immunofluorescence

1:50-1:200

Immunohistochemistry

1:50-1:200

Western Blot

1:500 - 1:1000

Formulation, Preparation, and Storage

Purification

Affinity purified

Formulation

PBS (pH 7.3), 50% glycerol

Format

Azide and BSA Free

Preservative

0.01% Thimerosal

Concentration

Please see the vial label for concentration. If unlisted please contact technical services.

Shipping

The product is shipped with polar packs. Upon receipt, store it immediately at the temperature recommended below.

Stability & Storage

Store at -20C. Avoid freeze-thaw cycles.

Background: eEF1A1

The eEF1A1 gene encodes an isoform of the alpha subunit of the elongation factor-1 complex, which is responsible for theenzymatic delivery of aminoacyl tRNAs to the ribosome. This isoform (alpha 1) is expressed in brain, placenta, lung,liver, kidney, and pancre

Alternate Names

CCS3, CCS-3, cervical cancer suppressor 3, CTCL tumor antigen, EE1A1, EEF-1, EEF1A, eEF1A-1, EF1AHNGC:16303, EF1a-like protein, EF-1-alpha-1, EF-Tu, elongation factor 1 alpha subunit, elongation factor 1-alpha 1, Elongation factor Tu, Eukaryotic elongation factor 1 A-1, eukaryotic translation elongation factor 1 alpha 1, eukaryotic translation elongation factor 1 alpha 1-like 14, FLJ25721, glucocorticoid receptor AF-1 specific elongation factor, GRAF-1EF, LENG7, leukocyte receptor cluster (LRC) member 7, Leukocyte receptor cluster member 7, MGC102687, MGC131894, MGC16224, prostate tumor-inducing protein 1, PTI1, translation elongation factor 1 alpha 1-like 14

Gene Symbol

EEF1A1

Additional eEF1A1 Products

Product Documents for eEF1A1 Antibody - Azide and BSA Free

Certificate of Analysis

To download a Certificate of Analysis, please enter a lot number in the search box below.

Product Specific Notices for eEF1A1 Antibody - Azide and BSA Free

This product is for research use only and is not approved for use in humans or in clinical diagnosis. Primary Antibodies are guaranteed for 1 year from date of receipt.

Loading...
Loading...
Loading...
Loading...

⚠ WARNING: This product can expose you to chemicals including Methotrexate, which is known to the State of California to cause reproductive toxicity with developmental effects. For more information, go to www.P65Warnings.ca.gov