Skip to main content

EEA1 Antibody (6D4.1D4) - BSA Free

Novus Biologicals, part of Bio-Techne | Catalog # NBP2-36568

Novus Biologicals, part of Bio-Techne
Catalog #
Availability
Size / Price
Qty
Loading...
NBP2-36568
NBP2-36568SS
Conjugate
Catalog #

Key Product Details

Species Reactivity

Validated:

Human, Mouse

Cited:

Human, Virus

Predicted:

Bat (93%), Porcine (95%), Primate (99%), Rat (95%). Backed by our 100% Guarantee.

Applications

Validated:

Immunohistochemistry, Immunohistochemistry-Paraffin, Western Blot, Flow (Intracellular), Immunocytochemistry/ Immunofluorescence

Cited:

Immunocytochemistry/ Immunofluorescence

Label

Unconjugated

Antibody Source

Monoclonal Mouse IgG1 kappa Clone # 6D4.1D4

Format

BSA Free

Concentration

1.0 mg/ml

Product Specifications

Immunogen

Partial recombinant human EEA1 protein (between amino acids 50-300). [UniProt Q15075]

Localization

Cytoplasm. Early endosome membrane.

Marker

Early Endosome Marker

Clonality

Monoclonal

Host

Mouse

Isotype

IgG1 kappa

Scientific Data Images for EEA1 Antibody (6D4.1D4) - BSA Free

Western Blot: EEA1 Antibody (6D4.1D4)BSA Free [NBP2-36568]

Western Blot: EEA1 Antibody (6D4.1D4)BSA Free [NBP2-36568]

Western Blot: EEA1 Antibody (6D4.1D4) [NBP2-36568] - Analysis of partial recombinant human EEA1 protein (14kDa) with EEA1 antibody clone 6D4.1D4 at 0.5 ug mL.
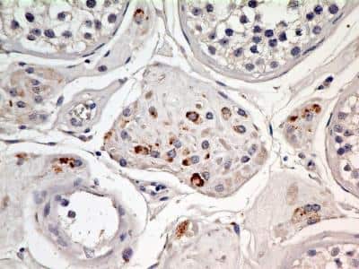
Immunohistochemistry-Paraffin: EEA1 Antibody (6D4.1D4) - BSA Free [NBP2-36568]

Immunohistochemistry-Paraffin: EEA1 Antibody (6D4.1D4) - BSA Free [NBP2-36568]

Immunohistochemistry-Paraffin: EEA1 Antibody (6D4.1D4) [NBP2-36568] - Analysis of FFPE tissue section of human testes using mouse monoclonal EEA1 antibody (clone 6D4.1D4) at 10 ug/ml concentration. The interstitial cells depicted a punctate to granular cytoplasmic staining pattern for EEA1 protein.
Flow (Intracellular): EEA1 Antibody (6D4.1D4) - BSA Free [NBP2-36568]

Flow (Intracellular): EEA1 Antibody (6D4.1D4) - BSA Free [NBP2-36568]

Flow (Intracellular): EEA1 Antibody (6D4.1D4) [NBP2-36568] - Intracellular staining of human EEA1 in Flow cytometry using 2.5 ug of antibody per 1 million cells. Isotype control was mouse IgG1.

Applications for EEA1 Antibody (6D4.1D4) - BSA Free

Application
Recommended Usage

Flow (Intracellular)

2.5 ug/million cells

Immunocytochemistry/ Immunofluorescence

reported in scientific literature (PMID 33212210)

Immunohistochemistry

5-10 ug/ml

Immunohistochemistry-Paraffin

5-10 ug/ml

Formulation, Preparation, and Storage

Purification

Protein G purified

Formulation

PBS

Format

BSA Free

Preservative

0.02% Sodium Azide

Concentration

1.0 mg/ml

Shipping

The product is shipped with polar packs. Upon receipt, store it immediately at the temperature recommended below.

Stability & Storage

Store at 4C short term. Aliquot and store at -20C long term. Avoid freeze-thaw cycles.

Background: EEA1

Early endosomal antigen 1 (EEA1) is a 162 kDa membrane bound protein component specific to the early endosome and is essential for fusion between early endocytic vesicles. Early endosomes are cytoplasmic compartments which fuse with endocytic vesicles for redistribution of extracellular compounds to alternate destinations. Zinc finger like domains, reminiscent of those found in nucleic acid binding proteins, are located in the amino and carboxyl terminal domains of EEA1. The carboxyl terminal zinc finger like domain is conserved in several other non nuclear proteins, some of which are also involved in intracellular protein trafficking. In addition, this domain is an authentic zinc binding domain and is critical to the intracellular localization of EEA1. Membrane association of EEA1 has been shown dependent on phosphatidyl 3 kinase activity, inhibitors of which cause EEA1 to dissociate from early endosomes.

Long Name

Early Endosome Antigen 1

Alternate Names

MST105, MSTP105, ZFYVE2

Entrez Gene IDs

8411 (Human); 216238 (Mouse)

Gene Symbol

EEA1

UniProt

Additional EEA1 Products

Product Documents for EEA1 Antibody (6D4.1D4) - BSA Free

Certificate of Analysis

To download a Certificate of Analysis, please enter a lot number in the search box below.

Product Specific Notices for EEA1 Antibody (6D4.1D4) - BSA Free

This product is for research use only and is not approved for use in humans or in clinical diagnosis. Primary Antibodies are guaranteed for 1 year from date of receipt.

Loading...
Loading...
Loading...
Loading...
Loading...