Skip to main content

EDF1 Antibody - BSA Free

Novus Biologicals, part of Bio-Techne | Catalog # NBP2-22327

Novus Biologicals, part of Bio-Techne

Key Product Details

Validated by

Biological Validation

Species Reactivity

Human

Applications

Immunohistochemistry, Immunohistochemistry-Paraffin, Western Blot, Immunoprecipitation

Label

Unconjugated

Antibody Source

Polyclonal Rabbit IgG

Format

BSA Free

Concentration

1.0 mg/ml

Product Specifications

Immunogen

The immunogen this antibody was made to, maps to a region between residue 98 to 148 of human Endothelial Differentiation-Related Factor 1 using the numbering given in entry NP_003783.1 (GeneID 8721).

Clonality

Polyclonal

Host

Rabbit

Isotype

IgG

Description

Novus Biologicals Rabbit EDF1 Antibody - BSA Free (NBP2-22327) is a polyclonal antibody validated for use in IHC, WB and IP. All Novus Biologicals antibodies are covered by our 100% guarantee.

Scientific Data Images for EDF1 Antibody - BSA Free

Western Blot: EDF1 Antibody [NBP2-22327]

Western Blot: EDF1 Antibody [NBP2-22327]

Western Blot: EDF1 Antibody [NBP2-22327] - Whole cell lysate (50 ug) from 293T, HeLa, and Jurkat cells. NBP2-22327 used for WB at 0.1 ug/ml. Detection: Chemiluminescence with an exposure time of 3 minutes.
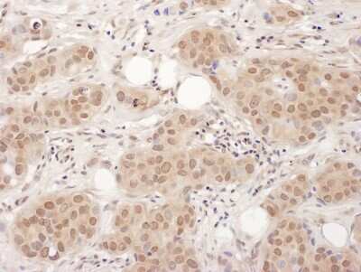
Immunohistochemistry: EDF1 Antibody [NBP2-22327]

Immunohistochemistry: EDF1 Antibody [NBP2-22327]

Immunohistochemistry: EDF1 Antibody [NBP2-22327] - Sample: FFPE section of human breast carcinoma. Antibody: Affinity purified rabbit anti- EDF-1 used at a dilution of 1:1,000 (1ug/ml). Detection: DAB. Counterstain: IHC Hematoxylin (blue).
Immunoprecipitation: EDF1 Antibody [NBP2-22327]

Immunoprecipitation: EDF1 Antibody [NBP2-22327]

Immunoprecipitation: EDF1 Antibody [NBP2-22327] - Whole cell lysate (1 mg for IP; 20% of IP loaded) from 293T cells. Antibodies: NBP2-22327 used for IP at 6 ug/mg lysate. EDF-1 was also immunoprecipitated by rabbit anti-EDF-1 antibody. For blotting immunoprecipitated EDF-1, NBP2-22327 was used at 1 ug/ml. Detection: Chemiluminescence with an exposure time of 3 seconds.

Applications for EDF1 Antibody - BSA Free

Application
Recommended Usage

Immunohistochemistry-Paraffin

1:500 - 1:2000

Immunoprecipitation

2 - 10 ug/mg

Western Blot

1:2000 - 1:10000
Application Notes
Epitope retrieval with citrate buffer pH6.0 is recommended for FFPE tissue sections.

Formulation, Preparation, and Storage

Purification

Immunogen affinity purified

Formulation

Tris-Citrate/Phosphate (pH 7.0 - 8.0)

Format

BSA Free

Preservative

0.09% Sodium Azide

Concentration

1.0 mg/ml

Shipping

The product is shipped with polar packs. Upon receipt, store it immediately at the temperature recommended below.

Stability & Storage

Store at 4C. Do not freeze.

Background: EDF1

EDF1 encodes a protein that may regulate endothelial cell differentiation. It has been postulated that the protein functions as a bridging molecule that interconnects regulatory proteins and the basal transcriptional machinery, thereby modulating the transcription of genes involved in endothelial differentiation. This protein has also been found to act as a transcriptional coactivator by interconnecting the general transcription factor TATA element-binding protein (TBP) and gene-specific activators. Two alternatively spliced transcripts which encode distinct proteins have been found for this gene.

Alternate Names

EDF-1Multiprotein-bridging factor 1, endothelial differentiation-related factor 1, MBF1, MGC9058, multiprotein bridging factor 1, multiprotein bridging factor-1

Gene Symbol

EDF1

Additional EDF1 Products

Product Documents for EDF1 Antibody - BSA Free

Certificate of Analysis

To download a Certificate of Analysis, please enter a lot number in the search box below.

Product Specific Notices for EDF1 Antibody - BSA Free

This product is for research use only and is not approved for use in humans or in clinical diagnosis. Primary Antibodies are guaranteed for 1 year from date of receipt.

Loading...
Loading...
Loading...
Loading...