Skip to main content

EBI3 Antibody - BSA Free

Novus Biologicals, part of Bio-Techne | Catalog # NBP2-03944

Novus Biologicals, part of Bio-Techne

Key Product Details

Species Reactivity

Human, Mouse, Rat

Applications

Immunohistochemistry, Immunohistochemistry-Paraffin, Western Blot

Label

Unconjugated

Antibody Source

Polyclonal Rabbit IgG

Format

BSA Free

Concentration

0.5 mg/ml

Product Specifications

Immunogen

A portion of amino acids 180-228 of mouse EBI3 was used as the immunogen.

Clonality

Polyclonal

Host

Rabbit

Isotype

IgG

Description

Novus Biologicals Rabbit EBI3 Antibody - BSA Free (NBP2-03944) is a polyclonal antibody validated for use in IHC and WB. All Novus Biologicals antibodies are covered by our 100% guarantee.

Scientific Data Images for EBI3 Antibody - BSA Free

Western Blot: EBI3 AntibodyBSA Free [NBP2-03944]

Western Blot: EBI3 AntibodyBSA Free [NBP2-03944]

Western Blot: IL-27/IL-35 EBI3 Subunit Antibody [NBP2-03944] - Total protein from human HeLa, K562 and mouse Raw264.7 cells was separated on a 4-20% gel by SDS-PAGE, transferred to PVDF membrane and blocked in 5% non-fat milk in TBST. The membrane was probed with 2.0 ug/ml anti-EBI3 in 1% non-fat milk in TBST and detected with an anti-rabbit HRP secondary antibody using chemiluminescence.
Immunohistochemistry-Paraffin: EBI3 Antibody - BSA Free [NBP2-03944]

Immunohistochemistry-Paraffin: EBI3 Antibody - BSA Free [NBP2-03944]

Immunohistochemistry-Paraffin: IL-27/IL-35 EBI3 Subunit Antibody [NBP2-03944] - Mouse brain tissue stained with EBI3 antibody at 5 ug/ml.
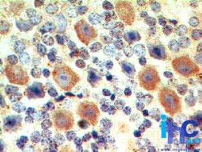
Immunohistochemistry-Paraffin: EBI3 Antibody - BSA Free [NBP2-03944]

Immunohistochemistry-Paraffin: EBI3 Antibody - BSA Free [NBP2-03944]

Immunohistochemistry-Paraffin: IL-27/IL-35 EBI3 Subunit Antibody [NBP2-03944] - Mouse brain tissue using an isotype control (top left) and (bottom left, right) at 5 ug/ml.

Applications for EBI3 Antibody - BSA Free

Application
Recommended Usage

Immunohistochemistry

1:10-1:500

Immunohistochemistry-Paraffin

5 ug/ml

Western Blot

0.5-2 ug/ml

Formulation, Preparation, and Storage

Purification

Immunogen affinity purified

Formulation

PBS

Format

BSA Free

Preservative

0.02% Sodium Azide

Concentration

0.5 mg/ml

Shipping

The product is shipped with polar packs. Upon receipt, store it immediately at the temperature recommended below.

Stability & Storage

Store at 4C short term. Aliquot and store at -20C long term. Avoid freeze-thaw cycles.

Background: EBI3

EBI3 (Epstein-Barr virus Induced-3) is a secreted glycoprotein of the hematopoietin receptor family. It plays a critical regulatory role in the induction of Th2-type immune responses and the development of Th2-mediated tissue inflammation in vivo, which may be mediated through the control of iNKT cell function. EBI3 dimerizes with p28 and p35 subunits of IL-12 to form new proteins IL-27 and IL-35, respectively (Honglian Tong et al, 2010). IL-27 is an early product of activated antigen presenting cell that is produced upon TLR ligation. It negatively regulates Th17 cell differentiation. EBI3 is widely expressed and its expression in dendritic cell is transcriptionally regulated by TLR signaling via MyD88 and NF-kappaB during innate immune responses preceding cytokine driven Th cell development. EBI3 signal inhibits delayed-type hypersensitivity responses by suppressing IL-17 production and inducing IL-10 hyperproduction. EBI3 may play a novel role in controlling tumor metastasis via lung CD8+ T cells, and its deficiency is associated with a diminished production of Th2 cytokines which are known to regulate allergic airway inflammation in asthma. Targeted deletion of EBI3 protects mice from lung metastasis (Kerstin A et al, 2008).

Long Name

Epstein-Barr virus induced gene 3

Alternate Names

EBI-3, IL-27 beta, IL-27B, IL-35 EBI3, IL35 EBI3

Gene Symbol

EBI3

Additional EBI3 Products

Product Documents for EBI3 Antibody - BSA Free

Certificate of Analysis

To download a Certificate of Analysis, please enter a lot number in the search box below.

Product Specific Notices for EBI3 Antibody - BSA Free

This product is for research use only and is not approved for use in humans or in clinical diagnosis. Primary Antibodies are guaranteed for 1 year from date of receipt.

Loading...
Loading...
Loading...
Loading...