Skip to main content

E2F-4 Antibody (E2F4/8984R) - Azide and BSA Free

Novus Biologicals, part of Bio-Techne | Catalog # NBP3-26928

Recombinant Monoclonal Antibody
Novus Biologicals, part of Bio-Techne

Key Product Details

Species Reactivity

Human

Applications

Immunohistochemistry-Paraffin

Label

Unconjugated

Antibody Source

Recombinant Monoclonal Rabbit IgG Kappa Clone # E2F4/8984R

Format

Azide and BSA Free

Concentration

1 mg/ml

Product Specifications

Immunogen

Recombinant fragment (around aa1-100) of human E2F-4 protein (exact sequence is proprietary)

Localization

Nucleus

Clonality

Monoclonal

Host

Rabbit

Isotype

IgG Kappa

Description

Antibody without azide - store at -20 to -80C. Non-hazardous. No MSDS required.

Scientific Data Images for E2F-4 Antibody (E2F4/8984R) - Azide and BSA Free

E2F-4 Antibody (E2F4/8984R)

Immunohistochemistry-Paraffin: E2F-4 Antibody (E2F4/8984R) - Azide and BSA Free [NBP3-26928] -

Formalin-fixed, paraffin-embedded human spleen stained with E2F-4 Antibody (E2F4/8984R) - Azide and BSA Free. HIER: Tris/EDTA, pH9.0, 45min. 2°C: HRP-polymer, 30min. DAB, 5min.
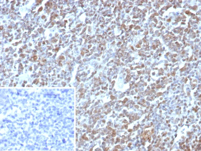
E2F-4 Antibody (E2F4/8984R)

Immunohistochemistry-Paraffin: E2F-4 Antibody (E2F4/8984R) - Azide and BSA Free [NBP3-26928] -

Formalin-fixed, paraffin-embedded human tonsil stained with E2F-4 Antibody (E2F4/8984R) - Azide and BSA Free. Inset: PBS instead of primary antibody; secondary only negative control.

Applications for E2F-4 Antibody (E2F4/8984R) - Azide and BSA Free

Application
Recommended Usage

Immunohistochemistry-Paraffin

1-2ug/ml for 30 minutes at RT
Application Notes
Immunohistochemistry-Paraffin 1-2ug/ml for 30 minutes at RT. Optimal dilution for a specific application should be determined.. Staining of formalin-fixed tissues requires heating tissue sections in 10mM Tris with 1mM EDTA, pH 9.0, for 45 min at 95C followed by cooling at RT for 20 minutes

Formulation, Preparation, and Storage

Purification

Protein A or G purified

Formulation

10mM PBS

Format

Azide and BSA Free

Preservative

No Preservative

Concentration

1 mg/ml

Shipping

The product is shipped with polar packs. Upon receipt, store it immediately at the temperature recommended below.

Stability & Storage

Store at -20 to -80C. Avoid freeze-thaw cycles.

Background: E2F-4

E2F4 is a member of the E2F family of transcription factors. It binds DNA at the E2 recognition site found in the promoter region of a number of genes involved in cell cycle regulation and DNA replication. E2F4 binds to pRb, p107, and p130. Via its interaction with p130, E2F4 plays an important role in maintaining G2 arrest during G2 phase checkpoint activation.

Long Name

E2F Transcription Factor 4

Alternate Names

E2F4

Gene Symbol

E2F4

Additional E2F-4 Products

Product Documents for E2F-4 Antibody (E2F4/8984R) - Azide and BSA Free

Certificate of Analysis

To download a Certificate of Analysis, please enter a lot number in the search box below.

Product Specific Notices for E2F-4 Antibody (E2F4/8984R) - Azide and BSA Free

This product is for research use only and is not approved for use in humans or in clinical diagnosis. Primary Antibodies are guaranteed for 1 year from date of receipt.

Loading...
Loading...
Loading...
Loading...