Dystrophin Antibody - BSA Free
Novus Biologicals, part of Bio-Techne | Catalog # NBP1-89954
Key Product Details
Species Reactivity
Human
Applications
Immunohistochemistry, Immunohistochemistry-Paraffin
Label
Unconjugated
Antibody Source
Polyclonal Rabbit IgG
Format
BSA Free
Concentration
Concentrations vary lot to lot. See vial label for concentration. If unlisted please contact technical services.
Product Specifications
Immunogen
This antibody was developed against Recombinant Protein corresponding to amino acids: VVCQQSATQRLEHAFNIARYQLGIEKLLDPEDVDTTYPDKKSILMYITSLFQVLPQQVSIEAIQEVEMLPRPPKVTKEEHFQLHHQMHYSQQITVSLAQGYERTSSPKPRFKSYAYTQAAYVTTSDPTRSPFPSQHLEAPEDKSFGSS
Reactivity Notes
Immunogen displays the following percentage of sequence identity for non-tested species: Mouse (87%), Rat (89%)
Clonality
Polyclonal
Host
Rabbit
Isotype
IgG
Description
Novus Biologicals Rabbit Dystrophin Antibody - BSA Free (NBP1-89954) is a polyclonal antibody validated for use in IHC. All Novus Biologicals antibodies are covered by our 100% guarantee.
Scientific Data Images for Dystrophin Antibody - BSA Free
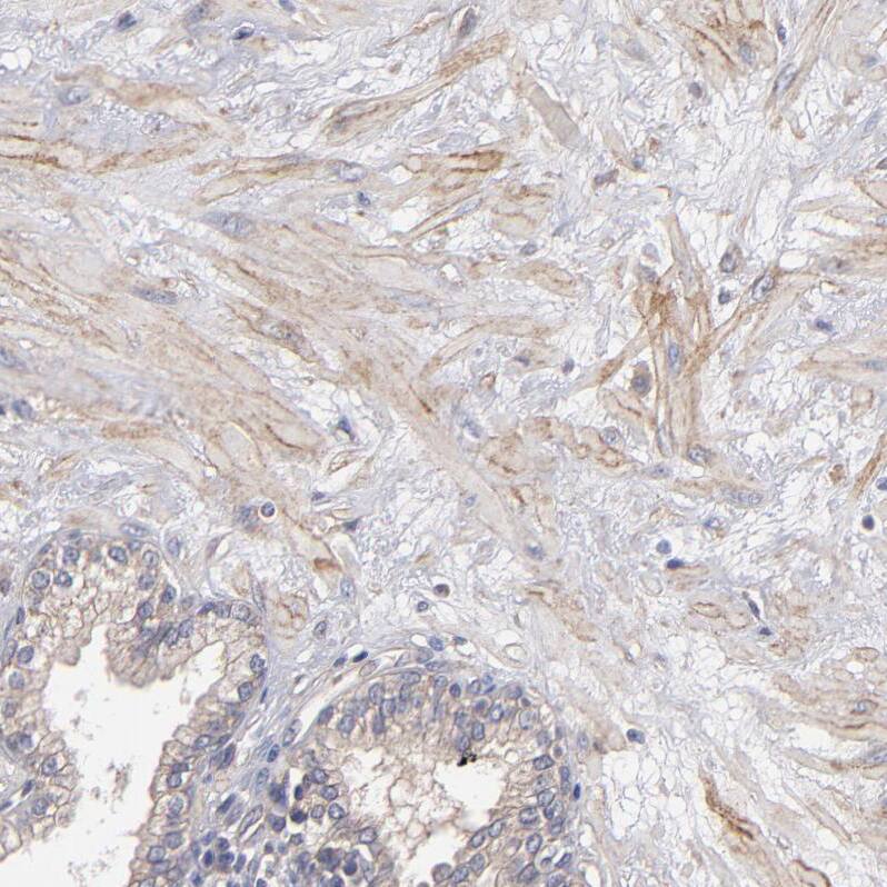
Immunohistochemistry-Paraffin: Dystrophin Antibody - BSA Free [NBP1-89954]
Staining of human heart muscle shows strong membranous positivity in cardiomyocytes.Immunohistochemistry-Paraffin: Dystrophin Antibody - BSA Free [NBP1-89954]
Staining of human prostate shows weak membranous positivity in smooth muscle cells.Immunohistochemistry-Paraffin: Dystrophin Antibody - BSA Free [NBP1-89954]
Staining of human skeletal muscle shows moderate membranous positivity in myocytes.Applications for Dystrophin Antibody - BSA Free
Application
Recommended Usage
Immunohistochemistry
1:50 - 1:200
Immunohistochemistry-Paraffin
1:50 - 1:200
Application Notes
For IHC-Paraffin, HIER pH 6 retrieval is recommended.
Formulation, Preparation, and Storage
Purification
Affinity purified
Formulation
PBS (pH 7.2) and 40% Glycerol
Format
BSA Free
Preservative
0.02% Sodium Azide
Concentration
Concentrations vary lot to lot. See vial label for concentration. If unlisted please contact technical services.
Shipping
The product is shipped with polar packs. Upon receipt, store it immediately at the temperature recommended below.
Stability & Storage
Store at 4C short term. Aliquot and store at -20C long term. Avoid freeze-thaw cycles.
Background: Dystrophin
Alternate Names
BMDDXS272, CMD3B, DXS142, DXS164, DXS164, DXS206, DXS230, DXS239, DXS268, DXS269, DXS270, DXS272, DXS206, DXS230, DXS239, DXS268, DXS269, DXS270, dystrophin, dystrophin (muscular dystrophy, Duchenne and Becker types), includes DXS142
Gene Symbol
DMD
Additional Dystrophin Products
Product Documents for Dystrophin Antibody - BSA Free
Product Specific Notices for Dystrophin Antibody - BSA Free
This product is for research use only and is not approved for use in humans or in clinical diagnosis. Primary Antibodies are guaranteed for 1 year from date of receipt.
Loading...
Loading...
Loading...
Loading...