Skip to main content

Dystroglycan Antibody - BSA Free

Novus Biologicals, part of Bio-Techne | Catalog # NBP2-14868

Novus Biologicals, part of Bio-Techne
Catalog #
Availability
Size / Price
Qty
Loading...
NBP2-14868

Key Product Details

Species Reactivity

Validated:

Human, Mouse, Rat, Equine

Cited:

Human

Predicted:

Bovine (93%), Canine (92%), Feline (94%), Rabbit (93%), Rhesus Macaque (97%). Backed by our 100% Guarantee.

Applications

Validated:

Immunohistochemistry, Immunohistochemistry-Paraffin, Western Blot, Immunocytochemistry/ Immunofluorescence

Cited:

IF/IHC

Label

Unconjugated

Antibody Source

Polyclonal Rabbit IgG

Format

BSA Free

Concentration

Concentrations vary lot to lot. See vial label for concentration. If unlisted please contact technical services.

Product Specifications

Immunogen

Recombinant protein encompassing a sequence within the center region of human Dystroglycan. The exact sequence is proprietary.

Clonality

Polyclonal

Host

Rabbit

Isotype

IgG

Theoretical MW

97 kDa.
Disclaimer note: The observed molecular weight of the protein may vary from the listed predicted molecular weight due to post translational modifications, post translation cleavages, relative charges, and other experimental factors.

Description

Novus Biologicals Rabbit Dystroglycan Antibody - BSA Free (NBP2-14868) is a polyclonal antibody validated for use in IHC, WB and ICC/IF. Anti-Dystroglycan Antibody: Cited in 2 publications. All Novus Biologicals antibodies are covered by our 100% guarantee.

Scientific Data Images for Dystroglycan Antibody - BSA Free

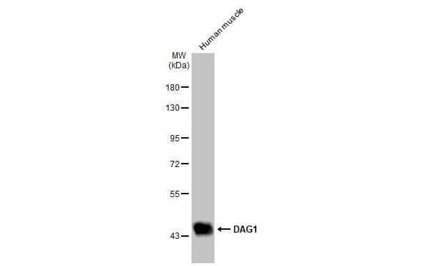
Western Blot: Dystroglycan Antibody [NBP2-14868]

Western Blot: Dystroglycan Antibody [NBP2-14868]

Western Blot: Dystroglycan Antibody [NBP2-14868] - U87-MG whole cell extracts and membrane extracts (30 ug) were separated by 7.5% SDS-PAGE, and the membrane was blotted with DAG1 antibody diluted at 1:500.
Western Blot: Dystroglycan Antibody [NBP2-14868]

Western Blot: Dystroglycan Antibody [NBP2-14868]

Western Blot: Dystroglycan Antibody [NBP2-14868] - 293T whole cell and membrane extracts (30 ug) were separated by 7.5% SDS-PAGE, and the membrane was blotted with Dystroglycan Antibody diluted at 1:500. The HRP-conjugated anti-rabbit IgG antibody (NBP2-19301) was used to detect the primary antibody
Western Blot: Dystroglycan Antibody [NBP2-14868]

Western Blot: Dystroglycan Antibody [NBP2-14868]

Western Blot: Dystroglycan Antibody [NBP2-14868] - MCF-7 whole cell and membrane extracts (30 ug) were separated by 7.5% SDS-PAGE, and the membrane was blotted with Dystroglycan Antibody diluted at 1:500. The HRP-conjugated anti-rabbit IgG antibody (NBP2-19301) was used to detect the primary antibody.

Applications for Dystroglycan Antibody - BSA Free

Application
Recommended Usage

Immunocytochemistry/ Immunofluorescence

1:100-1:1000

Immunohistochemistry

1:100-1:1000

Immunohistochemistry-Paraffin

1:100-1:1000

Western Blot

1:500-1:3000

Formulation, Preparation, and Storage

Purification

Antigen Affinity-purified

Formulation

PBS, 20% Glycerol

Format

BSA Free

Preservative

0.025% Proclin 300

Concentration

Concentrations vary lot to lot. See vial label for concentration. If unlisted please contact technical services.

Shipping

The product is shipped with polar packs. Upon receipt, store it immediately at the temperature recommended below.

Stability & Storage

Aliquot and store at -20C or -80C. Avoid freeze-thaw cycles.

Background: Dystroglycan

Dystroglycan is a laminin binding component of the dystrophin-glycoprotein complex which provides a linkage between the subsarcolemmal cytoskeleton and the extracellular matrix. Dystroglycan 1 is a candidate gene for the site of the mutation in autosomal recessive muscular dystrophies. The dramatic reduction of dystroglycan 1 in Duchenne muscular dystrophy leads to a loss of linkage between the sarcolemma and extracellular matrix, rendering muscle fibers more susceptible to necrosis. Dystroglycan also functions as dual receptor for agrin and laminin-2 in the Schwann cell membrane. The muscle and nonmuscle isoforms of dystroglycan differ by carbohydrate moieties but not protein sequence. [provided by RefSeq]

Long Name

Dystrophin-associated Glycoprotein 1

Alternate Names

AGRNR, Dag-1, DAG1

Gene Symbol

DAG1

UniProt

Additional Dystroglycan Products

Product Documents for Dystroglycan Antibody - BSA Free

Certificate of Analysis

To download a Certificate of Analysis, please enter a lot number in the search box below.

Product Specific Notices for Dystroglycan Antibody - BSA Free

This product is for research use only and is not approved for use in humans or in clinical diagnosis. Primary Antibodies are guaranteed for 1 year from date of receipt.

Loading...
Loading...
Loading...
Loading...

⚠ WARNING: This product can expose you to chemicals including mercury, which is known to the State of California to cause reproductive toxicity with developmental effects.  For more information go to www.P65Warnings.ca.gov.