DYRK4 Antibody - BSA Free
Novus Biologicals, part of Bio-Techne | Catalog # NBP1-89511
Key Product Details
Validated by
Independent Antibodies
Species Reactivity
Validated:
Human
Predicted:
Mouse (91%). Backed by our 100% Guarantee.
Applications
Immunohistochemistry, Immunohistochemistry-Paraffin, Western Blot, Immunocytochemistry/ Immunofluorescence
Label
Unconjugated
Antibody Source
Polyclonal Rabbit IgG
Format
BSA Free
Concentration
Concentrations vary lot to lot. See vial label for concentration. If unlisted please contact technical services.
Product Specifications
Immunogen
This antibody was developed against Recombinant Protein corresponding to amino acids: AELYTGYPLFPGENEVEQLACIMEVLGLPPAGFIQTASRRQTFFDSKGFPKNITNNRGKKRYPDSKDLTMVLKTYDTSFLDFLRRCLVWEP
Reactivity Notes
Immunogen displays the following percentage of sequence identity for non-tested species: Rat (88%)
Clonality
Polyclonal
Host
Rabbit
Isotype
IgG
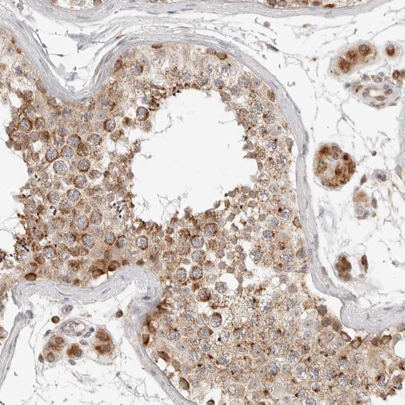
Scientific Data Images for DYRK4 Antibody - BSA Free
Immunocytochemistry/ Immunofluorescence: DYRK4 Antibody [NBP1-89511]
Immunocytochemistry/Immunofluorescence: DYRK4 Antibody [NBP1-89511] - Immunofluorescent staining of human cell line U-251 MG shows localization to vesicles.Immunohistochemistry-Paraffin: DYRK4 Antibody - BSA Free [NBP1-89511]
Staining of human testis shows strong cytoplasmic positivity in cells in seminiferous ducts.Applications for DYRK4 Antibody - BSA Free
Application
Recommended Usage
Immunocytochemistry/ Immunofluorescence
0.25-2 ug/ml
Immunohistochemistry
1:50 - 1:200
Immunohistochemistry-Paraffin
1:50 - 1:200
Western Blot
0.04-0.4 ug/ml
Application Notes
For IHC-Paraffin, HIER pH 6 retrieval is recommended. Immunocytochemistry/Immunofluorescence Fixation Permeabilization: Use PFA/Triton X-100.
Formulation, Preparation, and Storage
Purification
Affinity purified
Formulation
PBS (pH 7.2) and 40% Glycerol
Format
BSA Free
Preservative
0.02% Sodium Azide
Concentration
Concentrations vary lot to lot. See vial label for concentration. If unlisted please contact technical services.
Shipping
The product is shipped with polar packs. Upon receipt, store it immediately at the temperature recommended below.
Stability & Storage
Store at 4C short term. Aliquot and store at -20C long term. Avoid freeze-thaw cycles.
Background: DYRK4
Alternate Names
dual specificity tyrosine-phosphorylation-regulated kinase 4, dual-specificity tyrosine-(Y)-phosphorylation regulated kinase 4, EC 2.7.12, EC 2.7.12.1
Gene Symbol
DYRK4
Additional DYRK4 Products
Product Documents for DYRK4 Antibody - BSA Free
Product Specific Notices for DYRK4 Antibody - BSA Free
This product is for research use only and is not approved for use in humans or in clinical diagnosis. Primary Antibodies are guaranteed for 1 year from date of receipt.
Loading...
Loading...
Loading...
Loading...