Skip to main content

dUTPase Antibody - Azide and BSA Free

Novus Biologicals, part of Bio-Techne | Catalog # NBP2-92887

Novus Biologicals, part of Bio-Techne
Catalog #
Availability
Size / Price
Qty
Loading...
NBP2-92887-0.02ml
NBP2-92887-0.1ml

Key Product Details

Species Reactivity

Human, Mouse, Rat

Applications

Immunocytochemistry/ Immunofluorescence, Immunohistochemistry, Immunohistochemistry-Paraffin, Western Blot

Label

Unconjugated

Antibody Source

Polyclonal Rabbit IgG

Format

Azide and BSA Free

Concentration

Please see the vial label for concentration. If unlisted please contact technical services.

Product Specifications

Immunogen

Recombinant fusion protein containing a sequence corresponding to amino acids 89-252 of human DUT (NP_001020419.1). PAPGPETPAISPSKRARPAEVGGMQLRFARLSEHATAPTRGSARAAGYDLYSAYDYTIPPMEKAVVKTDIQIALPSGCYGRVAPRSGLAAKHFIDVGAGVIDEDYRGNVGVVLFNFGKEKFEVKKGDRIAQLICERIFYPEIEEVQALDDTERGSGGFGSTGKN

Clonality

Polyclonal

Host

Rabbit

Isotype

IgG

Description

Novus Biologicals Rabbit dUTPase Antibody - Azide and BSA Free (NBP2-92887) is a polyclonal antibody validated for use in IHC, WB and ICC/IF. All Novus Biologicals antibodies are covered by our 100% guarantee.

Scientific Data Images for dUTPase Antibody - Azide and BSA Free

Western Blot: dUTPase AntibodyAzide and BSA Free [NBP2-92887]

Western Blot: dUTPase AntibodyAzide and BSA Free [NBP2-92887]

Western Blot: dUTPase Antibody [NBP2-92887] - Analysis of extracts of various cell lines, using dUTPase at 1:1000 dilution.Secondary antibody: HRP Goat Anti-Rabbit IgG (H+L) at 1:10000 dilution.Lysates/proteins: 25ug per lane.Blocking buffer: 3% nonfat dry milk in TBST.Detection: ECL Basic Kit .Exposure time: 3s.
Immunocytochemistry/ Immunofluorescence: dUTPase Antibody - Azide and BSA Free [NBP2-92887]

Immunocytochemistry/ Immunofluorescence: dUTPase Antibody - Azide and BSA Free [NBP2-92887]

Immunocytochemistry/Immunofluorescence: dUTPase Antibody [NBP2-92887] - Analysis of U-2 OS cells using dUTPase . Blue: DAPI for nuclear staining.
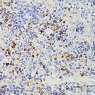
Immunohistochemistry-Paraffin: dUTPase Antibody - Azide and BSA Free [NBP2-92887]

Immunohistochemistry-Paraffin: dUTPase Antibody - Azide and BSA Free [NBP2-92887]

Immunohistochemistry-Paraffin: dUTPase Antibody [NBP2-92887] - Paraffin-embedded rat spleen using dUTPase .

Applications for dUTPase Antibody - Azide and BSA Free

Application
Recommended Usage

Immunocytochemistry/ Immunofluorescence

1:100-1:200

Immunohistochemistry

1:50-1:200

Western Blot

1:500-1:1000

Formulation, Preparation, and Storage

Purification

Affinity purified

Formulation

PBS (pH 7.3), 50% glycerol

Format

Azide and BSA Free

Preservative

0.01% Thimerosal

Concentration

Please see the vial label for concentration. If unlisted please contact technical services.

Shipping

The product is shipped with polar packs. Upon receipt, store it immediately at the temperature recommended below.

Stability & Storage

Store at -20C. Avoid freeze-thaw cycles.

Background: dUTPase

dUTPase encodes an essential enzyme of nucleotide metabolism. The encoded protein forms a ubiquitous, homotetrameric enzyme that hydrolyzes dUTP to dUMP and pyrophosphate. This reaction serves two cellular purposes: providing a precursor (dUMP) for the synthesis of thymine nucleotides needed for DNA replication, and limiting intracellular pools of dUTP. Elevated levels of dUTP lead to increased incorporation of uracil into DNA, which induces extensive excision repair mediated by uracil glycosylase. This repair process, resulting in the removal and reincorporation of dUTP, is self-defeating and leads to DNA fragmentation and cell death. Alternative splicing of this gene leads to different isoforms that localize to either the mitochondrion or nucleus. A related pseudogene is located on chromosome 19.

Alternate Names

deoxyuridine triphosphatase, dUTP pyrophosphatasedUTP nucleotidohydrolase, dUTPasedeoxyuridine 5'-triphosphate nucleotidohydrolase, mitochondrial, EC 3.6.1.23, FLJ20622

Gene Symbol

DUT

Additional dUTPase Products

Product Documents for dUTPase Antibody - Azide and BSA Free

Certificate of Analysis

To download a Certificate of Analysis, please enter a lot number in the search box below.

Product Specific Notices for dUTPase Antibody - Azide and BSA Free

This product is for research use only and is not approved for use in humans or in clinical diagnosis. Primary Antibodies are guaranteed for 1 year from date of receipt.

Loading...
Loading...
Loading...
Loading...

⚠ WARNING: This product can expose you to chemicals including Methotrexate, which is known to the State of California to cause reproductive toxicity with developmental effects. For more information, go to www.P65Warnings.ca.gov