Skip to main content

DUSP8 Antibody - BSA Free

Novus Biologicals, part of Bio-Techne | Catalog # NBP1-88385

Novus Biologicals, part of Bio-Techne
Catalog #
Availability
Size / Price
Qty
Loading...
NBP1-88385-25ul
NBP1-88385

Key Product Details

Species Reactivity

Human

Applications

Immunohistochemistry, Immunohistochemistry-Paraffin, Immunocytochemistry/ Immunofluorescence

Label

Unconjugated

Antibody Source

Polyclonal Rabbit IgG

Format

BSA Free

Concentration

Concentrations vary lot to lot. See vial label for concentration. If unlisted please contact technical services.

Product Specifications

Immunogen

This antibody was developed against Recombinant Protein corresponding to amino acids: SDDAYRFVKDRRPSISPNFNFLGQLLEYERSLKLLAALQGDPGTPSGTPEPPPSPAAGAPLPRLPPPTSESAATGNAAAR

Reactivity Notes

Immunogen displays the following percentage of sequence identity for non-tested species: Mouse (84%), Rat (84%)

Clonality

Polyclonal

Host

Rabbit

Isotype

IgG

Description

Novus Biologicals Rabbit DUSP8 Antibody - BSA Free (NBP1-88385) is a polyclonal antibody validated for use in IHC and ICC/IF. Anti-DUSP8 Antibody: Cited in 1 publication. All Novus Biologicals antibodies are covered by our 100% guarantee.

Scientific Data Images for DUSP8 Antibody - BSA Free

Immunocytochemistry/ Immunofluorescence: DUSP8 Antibody [NBP1-88385]

Immunocytochemistry/ Immunofluorescence: DUSP8 Antibody [NBP1-88385]

Immunocytochemistry/Immunofluorescence: DUSP8 Antibody [NBP1-88385] - Immunofluorescent staining of human cell line U-251 MG shows localization to cytosol.
DUSP8 Antibody - BSA Free Immunohistochemistry-Paraffin: DUSP8 Antibody - BSA Free [NBP1-88385]

Immunohistochemistry-Paraffin: DUSP8 Antibody - BSA Free [NBP1-88385]

Staining of human skeletal muscle shows moderate cytoplasmic positivity in myocytes.
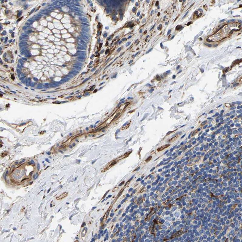
DUSP8 Antibody - BSA Free Immunohistochemistry-Paraffin: DUSP8 Antibody - BSA Free [NBP1-88385]

Immunohistochemistry-Paraffin: DUSP8 Antibody - BSA Free [NBP1-88385]

Staining of human colon shows strong cytoplasmic positivity in endothelial cells.

Applications for DUSP8 Antibody - BSA Free

Application
Recommended Usage

Immunocytochemistry/ Immunofluorescence

0.25-2 ug/ml

Immunohistochemistry

1:50 - 1:200

Immunohistochemistry-Paraffin

1:50 - 1:200
Application Notes
For IHC-Paraffin, HIER pH 6 retrieval is recommended. ICCIF Fixation Permeabilization: Use PFA/Triton X-100.

Formulation, Preparation, and Storage

Purification

Affinity purified

Formulation

PBS (pH 7.2) and 40% Glycerol

Format

BSA Free

Preservative

0.02% Sodium Azide

Concentration

Concentrations vary lot to lot. See vial label for concentration. If unlisted please contact technical services.

Shipping

The product is shipped with polar packs. Upon receipt, store it immediately at the temperature recommended below.

Stability & Storage

Store at 4C short term. Aliquot and store at -20C long term. Avoid freeze-thaw cycles.

Background: DUSP8

DUSP8 is a member of the dual specificity protein phosphatase subfamily. These phosphatases inactivate their target kinases by dephosphorylating both the phosphoserine/threonine and phosphotyrosine residues. They negatively regulate members of the mitogen-activated protein (MAP) kinase superfamily (MAPK/ERK, SAPK/JNK, p38), which is associated with cellular proliferation and differentiation. Different members of the family of dual specificity phosphatases show distinct substrate specificities for various MAP kinases, different tissue distribution and subcellular localization, and different modes of inducibility of their expression by extracellular stimuli. DUSP8 inactivates SAPK/JNK and p38, is expressed predominantly in the adult brain, heart, and skeletal muscle, is localized in the cytoplasm, and is induced by nerve growth factor and insulin. An intronless pseudogene for DUSP8 is present on chromosome 10q11.2.

Alternate Names

C11orf81, chromosome 11 open reading frame 81, dual specificity phosphatase 8, Dual specificity protein phosphatase hVH-5, EC 3.1.3.16, EC 3.1.3.48, FLJ42476, FLJ42958, HVH8, serine/threonine specific protein phosphatase, vaccinia virus homolog, VH5

Gene Symbol

DUSP8

Additional DUSP8 Products

Product Documents for DUSP8 Antibody - BSA Free

Certificate of Analysis

To download a Certificate of Analysis, please enter a lot number in the search box below.

Product Specific Notices for DUSP8 Antibody - BSA Free

This product is for research use only and is not approved for use in humans or in clinical diagnosis. Primary Antibodies are guaranteed for 1 year from date of receipt.

Loading...
Loading...
Loading...
Loading...